Undergoing the extraction of third molars, commonly known as wisdom teeth, is a rite of passage for many young adults. Whether you are preparing for the procedure or are currently in the recovery phase, you likely have questions about what to expect regarding your surgical sites. One of the most common concerns patients have is about the healing process of the gums after the procedure, specifically regarding why and how their wisdom teeth stitched areas are managed. Understanding the role of sutures, how to care for them, and when they typically dissolve can significantly ease your anxiety and ensure a smoother recovery journey.
Why Are Wisdom Teeth Stitched After Extraction?

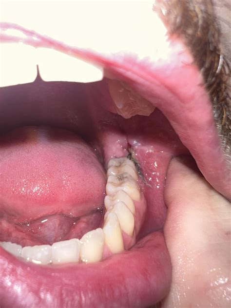
Not every wisdom tooth extraction requires stitches, but for many, it is a standard part of the surgical protocol. The primary reason a surgeon leaves the wisdom teeth stitched is to promote faster healing and protect the underlying bone. Sutures serve several critical functions in the post-operative period:
- Tissue Repositioning: Sutures help pull the edges of the gum tissue back together, allowing them to heal in their original position, which significantly reduces the size of the wound opening.
- Hemostasis (Bleeding Control): By securing the tissue over the extraction site, stitches help stabilize the blood clot. A stable blood clot is essential for preventing complications like dry socket.
- Protection: Stitches act as a physical barrier, preventing food particles and debris from getting lodged deep inside the extraction socket, which can cause infection.
Types of Sutures Used in Oral Surgery
Understanding the material used to keep your wisdom teeth stitched is helpful because it dictates how you should manage them during recovery. Dentists and oral surgeons typically choose between two main categories of sutures:
| Suture Type | Description | Removal Required |
|---|---|---|
| Absorbable (Resorbable) | Made from materials that the body breaks down over time. | No |
| Non-Absorbable | Made from nylon, silk, or polypropylene; these must be removed manually. | Yes |
Most oral surgeons prefer absorbable sutures for wisdom tooth extractions because they eliminate the need for a follow-up appointment just for suture removal. However, if your surgeon used non-absorbable stitches, they will typically schedule a follow-up visit about 7 to 10 days post-operation to take them out.
⚠️ Note: Even if your sutures are labeled as "absorbable," they may not disappear immediately. It is perfectly normal for them to remain for several days or even up to two weeks as the tissue heals.
Caring for Your Stitched Extraction Sites
How you treat the area where your wisdom teeth stitched sites are located directly impacts your recovery speed. Proper care minimizes discomfort and reduces the risk of infection. Follow these guidelines during the first few days of healing:
- Avoid Disturbance: Resist the urge to touch the stitches with your tongue or fingers. Even if they feel irritating or ticklish, moving them can cause premature dissolution or cause the wound to reopen.
- Gentle Rinsing: Do not rinse your mouth vigorously for the first 24 hours. After that, you can begin gentle salt water rinses to keep the area clean, but avoid harsh spitting motions.
- Dietary Adjustments: Stick to soft foods. Avoid crunchy, spicy, or hot foods that could irritate the surgical site or get stuck in the sutures.
- Hygiene: Continue brushing your teeth, but be extremely careful around the extraction site. Use a soft-bristled toothbrush and avoid the surgical area entirely for the first few days until instructed otherwise.
💡 Note: If you feel a suture dangling or notice one has become loose, do not pull on it. It will likely fall out on its own. Contact your oral surgeon only if a loose suture is causing significant pain or bleeding.
Recognizing Potential Complications
While having wisdom teeth stitched is a routine procedure, it is important to monitor the sites for signs of complications. Healing is generally predictable, but infections can occur if the area is not cared for properly.
Contact your dental professional immediately if you experience:
- Excessive or Prolonged Bleeding: While minor oozing is normal, bright red blood that does not stop with pressure is a concern.
- Increased Pain: Pain should gradually decrease over time. If your pain suddenly intensifies after a few days, it may indicate a dry socket or infection.
- Fever or Swelling: A fever or swelling that increases after the third day can be a sign of infection.
- Persistent Foul Taste or Odor: This often indicates trapped food debris or an infection in the socket.
Managing Discomfort During Healing
It is normal to feel some tension or tightness around the wisdom teeth stitched areas. This is simply the sensation of the tissue healing. To manage this discomfort, prioritize rest and stick to the medication regimen prescribed by your surgeon. Using an ice pack on the outside of your face for the first 24 to 48 hours can also help reduce inflammation, which in turn reduces the pulling sensation on your stitches.
As the days pass, the stitches will slowly begin to break down (if they are absorbable). You might notice small pieces of suture material in your mouth; this is a sign that the healing is progressing as expected and the tissue beneath is closing up.
📌 Note: Always prioritize hydration and nutrition. Your body requires extra energy and fluid to repair tissue effectively, which will help the stitched areas heal faster.
The journey through wisdom tooth extraction, from the initial procedure to the final healing of the gums, is a temporary phase that leads to long-term oral health benefits. While seeing your wisdom teeth stitched might look intimidating initially, these small threads are essential tools that facilitate a quicker and more comfortable recovery. By following your surgeon’s post-operative instructions, maintaining gentle hygiene, and monitoring the sites for any unusual changes, you can ensure that the stitches perform their job effectively. Soon, the area will be fully healed, and you will be able to return to your normal eating habits and oral care routine without a second thought. Should you have any lingering concerns or if the healing process seems atypical, never hesitate to reach out to your dental professional for reassurance and guidance.
Related Terms:
- wisdom teeth stitches recovery time
- wisdom teeth stitches dissolve
- when do wisdom stitches dissolve
- wisdom teeth stitches dissolve time
- wisdom teeth removal without stitches
- dissolvable stitches for wisdom teeth