What is Dental Plaque? | Smile Stories
Cleve

What is Dental Plaque? | Smile Stories

1920 × 1080 px April 16, 2025 Ashley Cleve

When you run your tongue across your teeth, do you ever feel a fuzzy, sticky sensation? That film is the most common dental concern known to humanity. Understanding what is plaque on teeth is the first step toward maintaining a healthy, radiant smile and preventing long-term oral health complications. While it might seem like a minor annoyance, plaque is a complex ecosystem of bacteria that, if left unaddressed, can lead to serious issues like cavities, gingivitis, and eventual tooth loss.

The Science Behind Plaque

Close up of healthy teeth

At its core, plaque is a sticky, colorless biofilm composed primarily of bacteria, saliva, and food particles. It begins forming on your teeth just a few hours after you finish brushing. When you consume foods—especially those high in sugars and simple carbohydrates—the bacteria within the plaque feed on these remnants. As they metabolize these sugars, they produce acidic byproducts that directly attack your tooth enamel.

The process of plaque formation is continuous. Because it is nearly invisible to the naked eye, many people are unaware of its presence until it has already begun to harden. If plaque is not removed consistently through daily oral hygiene, it can harden into tartar (or calculus), which is far more difficult to remove and requires professional dental intervention.

Common Symptoms and Indicators

Recognizing the signs of plaque buildup is essential for timely intervention. Because plaque is often clear or pale yellow, you might not see it, but you will likely notice other indicators:

  • Fuzzy texture: That “fuzzy” feeling on your teeth is a primary indicator of bacterial film.
  • Bad breath: Halitosis, or chronic bad breath, is often caused by the waste products of the bacteria living in plaque.
  • Sensitive gums: If your gums bleed when you brush or floss, it is often a sign of irritation caused by plaque accumulation near the gum line.
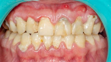
  • Visible yellowing: As plaque thickens or turns into tartar, it becomes more visible as a yellowish crust near the base of the teeth.

Comparison of Plaque vs. Tartar

Many individuals use these terms interchangeably, but they represent different stages of oral health degradation. Understanding the difference is vital for your dental routine.

Feature Plaque Tartar
Nature Soft, sticky biofilm Hard, mineralized deposit
Color Colorless or pale yellow Yellow or brown
Removal Easily removed via brushing/flossing Requires professional cleaning
Formation Time Hours after eating Days after plaque hardens

💡 Note: Once plaque hardens into tartar, you cannot remove it at home with a regular toothbrush or floss. Only a dental professional using ultrasonic tools or manual scalers can safely remove it without damaging your enamel.

Effective Prevention Strategies

Preventing the accumulation of plaque is far more effective than trying to manage the damage it causes. A consistent routine is the gold standard for dental health:

  • Brushing Technique: Brush twice a day for two minutes, ensuring you reach the gum line where plaque loves to hide.
  • Flossing Daily: A toothbrush cannot reach the narrow spaces between teeth. Flossing removes the bacteria trapped in these tight areas.
  • Limit Sugary Foods: The bacteria in plaque thrive on sugar. Reducing your intake of sodas, candies, and processed snacks limits the fuel available for bacteria.
  • Use Fluoride Toothpaste: Fluoride helps remineralize enamel, making it more resistant to the acidic attacks generated by plaque.
  • Regular Dental Checkups: Visit your dentist at least every six months for a professional cleaning to remove any buildup that you might have missed.

The Impact of Plaque on Long-Term Health

Neglecting to understand what is plaque on teeth can lead to a cascade of health issues. When plaque stays on the teeth, the acids produced by the bacteria erode the tooth enamel, resulting in cavities (caries). When the gums become inflamed due to bacterial presence, it leads to gingivitis, characterized by redness and bleeding.

If left untreated, gingivitis can progress to periodontitis, a severe form of gum disease. At this stage, the pockets between your teeth and gums become infected, the immune system fights back, and the bone and tissues holding your teeth in place begin to break down. Furthermore, emerging research continues to suggest links between chronic gum inflammation and systemic health issues, including heart disease and diabetes, highlighting that oral health is truly an integral part of overall physical well-being.

💡 Note: If you notice sudden, severe gum pain or swelling, do not wait for your scheduled checkup. Contact your dental provider immediately, as these can be signs of a localized infection or abscess.

Final Thoughts

Maintaining a healthy smile is a daily commitment that relies on understanding the nature of the bacteria in your mouth. By consistently removing plaque through diligent brushing and flossing, you create an environment where your teeth and gums can thrive. Remember that while your home routine is the foundation of oral health, professional guidance and cleaning remain essential for detecting issues before they become permanent. By prioritizing your oral hygiene today, you are making a long-term investment in your health, confidence, and comfort for years to come.

Related Terms:

  • excessive plaque buildup on teeth
  • what is dental plaque
  • visible plaque on teeth
  • plaque meaning in teeth
  • plaque buildup on teeth
  • why plaque forms on teeth

More Images