What Is Nutcracker Syndrome

What Is Nutcracker Syndrome

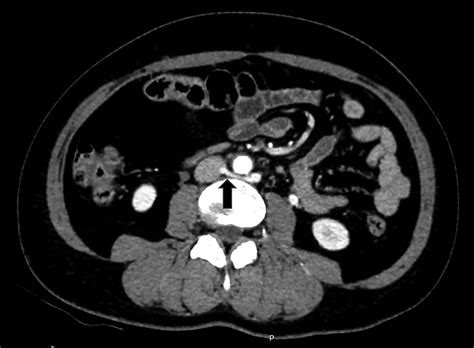
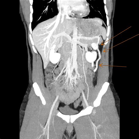
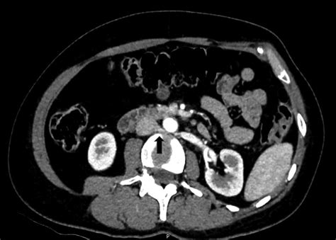
Understanding vascular anomalies can be complex, and one condition that often goes misdiagnosed due to its vague and varied symptoms is Nutcracker Syndrome. If you have been searching for answers regarding persistent pelvic pain, flank discomfort, or hematuria, you might be asking yourself, "What is Nutcracker Syndrome?" At its core, this is a rare venous compression disorder that occurs when the left renal vein is squeezed between two major arteries: the abdominal aorta and the superior mesenteric artery. This compression creates a "nutcracker" effect, impeding the normal flow of blood from the left kidney back toward the heart, leading to a variety of debilitating symptoms.

The Anatomy Behind the Syndrome

To grasp the mechanical nature of this condition, it is helpful to visualize the anatomy of the abdomen. The left renal vein travels horizontally across the abdomen to deliver blood from the left kidney into the inferior vena cava. In patients with Nutcracker Syndrome, the angle at which the superior mesenteric artery branches off the aorta is unusually narrow. This anatomical narrowing acts like a clamp, compressing the renal vein.

When the vein is compressed, the blood cannot flow freely. This results in high venous pressure, which can cause the vein to become dilated or distended. Furthermore, this back pressure often leads to the development of varicocele (enlarged veins in the scrotum) in men or pelvic congestion syndrome in women. Because this involves structural anatomy, it is a mechanical issue rather than a lifestyle-related disease, which is why it often requires specialized vascular consultation for proper management.

Common Symptoms and Clinical Presentation

The symptoms of Nutcracker Syndrome can be highly variable, often mimicking other urological or gynecological conditions. Because the pressure affects the renal vein and the surrounding pelvic circulation, patients may experience symptoms that seem disconnected at first glance. Common clinical signs include:

  • Hematuria: Blood in the urine, which can be macroscopic (visible) or microscopic.
  • Flank Pain: Persistent pain in the left side of the abdomen or lower back.
  • Pelvic Pain: A dull, aching pain in the pelvic region, often worsened by prolonged standing.
  • Varicocele: In males, the formation of enlarged veins in the scrotum due to blood reflux.
  • Dysmenorrhea: Severe menstrual pain in females, often exacerbated by pelvic venous congestion.
  • Fatigue: Chronic tiredness, sometimes associated with the overall physiological stress of the condition.

⚠️ Note: Because these symptoms overlap with kidney stones, endometriosis, or urinary tract infections, it is vital to consult with a vascular specialist if initial tests for those conditions come back negative.

Diagnostic Procedures

Diagnosing this condition requires advanced imaging techniques to visualize the vascular anatomy and confirm the compression. Doctors typically use a combination of non-invasive and invasive tests to determine the severity of the obstruction.

Diagnostic Test Purpose
Doppler Ultrasound Evaluates blood flow velocity and identifies narrowing of the renal vein.
CT Angiography (CTA) Provides 3D images to measure the precise angle of the artery and the vein diameter.
Magnetic Resonance Venography (MRV) Offers detailed views of the veins without the need for ionizing radiation.
Selective Renal Venography The gold standard; involves measuring the pressure gradient between the renal vein and the inferior vena cava.

Treatment Options

The approach to treatment depends largely on the severity of the symptoms and the patient’s age. For mild cases, particularly in children and young adults, doctors may recommend a "watch and wait" approach, as the condition sometimes resolves as the body develops or gains weight. However, when symptoms are severe, interventions may be necessary.

Conservative Management

If symptoms are manageable, doctors may suggest lifestyle changes such as weight gain (to increase the fat pad between the arteries and reduce the compression angle) and the use of compression garments to manage pelvic congestion.

Surgical and Endovascular Interventions

For patients experiencing significant pain or dangerous levels of hematuria, surgical intervention is required. Options include:

  • Stenting: A minimally invasive procedure where a stent is placed inside the compressed renal vein to hold it open and restore proper blood flow.
  • Renal Vein Transposition: A surgical procedure where the renal vein is detached and reattached to the vena cava at a higher point, bypassing the compression.
  • Gonadal Vein Embolization: Frequently used to treat the associated pelvic congestion or varicocele by blocking off the refluxing veins.

Living with the Condition

Managing the daily impact of this syndrome involves a multi-disciplinary team. Patients often find relief by working with vascular surgeons, urologists, and sometimes pain management specialists. While the diagnosis can feel overwhelming, understanding the mechanical cause is the first step toward finding a solution. Many patients report significant improvements in quality of life once the venous pressure is relieved, allowing them to return to normal activities without chronic pain.

Maintaining a balanced diet and tracking symptoms in a log can also provide your medical team with valuable data. By documenting when the pain is most intense—such as after long periods of standing or physical exertion—you help your doctor determine the best timing and type of intervention if surgery becomes the necessary path forward.

In summary, Nutcracker Syndrome is a structural vascular issue characterized by the compression of the left renal vein, leading to a cluster of urological and pelvic symptoms. While the condition can be elusive and difficult to diagnose, modern imaging techniques like CT angiography and selective venography have made it much easier for medical professionals to pinpoint the problem. Whether through conservative observation or surgical intervention, relief is possible for those suffering from the effects of this compression. Seeking early evaluation from a vascular specialist is the most effective way to navigate the diagnostic process and determine the right course of action for your specific health needs.

Related Terms:

  • how to diagnose nutcracker syndrome
  • nutcracker syndrome name origin
  • treatment for nutcracker syndrome
  • nutcracker syndrome prognosis
  • symptoms of nutcracker syndrome
  • nutcracker syndrome right kidney