What Is Frenum

What Is Frenum

When you stand in front of a mirror and pull back your upper lip, you might notice a small, thin band of tissue connecting your lip to your gums. Many people go through their entire lives without giving this structure a second thought, but others may find it causes discomfort or developmental issues. Understanding what is frenum is the first step in recognizing whether this common anatomical feature requires professional dental attention or if it is simply a normal variation in your mouth's structure.

Defining the Frenum

In anatomical terms, a frenum (or frenulum) is a small fold of tissue that supports or restricts the motion of a part of the body. In the oral cavity, these tissues act as anchors, helping to stabilize the lips, tongue, and cheeks. While the term is often used generally, there are specific locations within the mouth where these folds occur, each serving a unique purpose in maintaining oral health and function.

Most individuals have multiple frenula in their mouths, but they typically only notice them when they become tight, short, or incorrectly positioned. When these tissues interfere with normal functions like speaking, eating, or oral hygiene, they are often referred to as a "frenum pull" or "tethered oral tissue."

The Different Types of Oral Frenula

To fully grasp what is frenum, you must understand that not all of these tissues are located in the same place. The mouth contains several distinct types, and each can affect your oral health differently depending on its tension and attachment point.

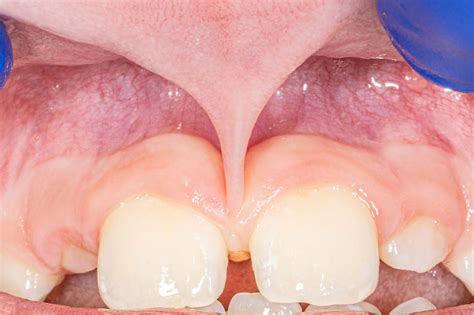
  • Labial Frenum: This is the most commonly discussed type. It connects the inner side of the upper (or lower) lip to the gum tissue just above the two front teeth.
  • Lingual Frenum: This is the tissue located under the tongue. It connects the underside of the tongue to the floor of the mouth. A restrictive lingual frenum is often associated with being "tongue-tied."
  • Buccal Frenum: These are located near the premolars and molars, connecting the cheeks to the gums. While less commonly discussed, they can occasionally pull on the gums, leading to recession.
Frenum Type Primary Location Potential Impact
Labial Upper/Lower Lip Diastema (gap between teeth) or gum recession
Lingual Under Tongue Difficulty with speech or breastfeeding
Buccal Cheeks/Gums Minor gum recession in localized areas

Why Do Frenum Issues Occur?

A “frenum attachment” is considered problematic when it is too short or too thick, preventing the associated body part from moving freely. This condition is often congenital, meaning it is present from birth. In infants, a tight lingual frenum can make it difficult for the child to latch properly during breastfeeding, leading to feeding difficulties for both the infant and the mother.

For children and adults, a tight labial frenum might cause the two front teeth to remain separated by a gap, known as a diastema. While this is often viewed as a cosmetic concern, in more severe cases, the tension can pull the gums away from the teeth, leading to sensitive roots or increased susceptibility to periodontal issues over time.

When to Seek Professional Guidance

Not every frenum needs to be addressed. In fact, most people have a standard frenum that does not cause any functional problems. You should only consider treatment if the tissue causes persistent issues with:

  • Speech clarity: Difficulty enunciating certain sounds, particularly with a tongue-tie.
  • Dental alignment: Persistent gaps between front teeth that do not close naturally.
  • Gum health: Visible pulling of the gums when the lip is moved, which can cause discomfort or tissue recession.
  • Daily function: Physical pain or restriction when moving the tongue or lips during chewing or speaking.

⚠️ Note: Always consult with a pediatric dentist, orthodontist, or periodontist to determine if a frenum is actually the cause of a specific dental issue, as many gaps in teeth or speech delays have other root causes.

The Process of Frenectomy

If a dentist determines that a frenum is causing a functional problem, they may recommend a procedure called a frenectomy. This is a relatively simple surgical intervention designed to remove or loosen the restrictive tissue.

  1. Assessment: A thorough physical exam to evaluate the mobility of the lip or tongue.
  2. Anesthesia: Local anesthesia is applied to ensure the area is numb during the procedure.
  3. Release: Using a scalpel or a dental laser, the dentist gently severs the tight tissue to allow for better range of motion.
  4. Recovery: The site usually heals quickly, with patients often reporting minimal discomfort that subsides within a few days.

ℹ️ Note: Laser frenectomies have become increasingly popular because they minimize bleeding and often require fewer stitches, leading to faster recovery times compared to traditional scalpel methods.

Managing Oral Health with Your Frenum

Regardless of whether your frenum is tight or perfectly normal, maintaining good oral hygiene is essential. If you have a prominent frenum, be sure to brush gently in that area. Sometimes, the tissue can make it difficult for toothbrush bristles to reach the gum line effectively, potentially leading to plaque buildup. Using a soft-bristled brush and focusing on thorough, gentle circular motions can prevent inflammation around the base of the frenum.

For those who have undergone a frenectomy, follow-up care is just as important. Your dentist may provide specific stretching exercises—particularly for infants or young children—to ensure that the tissue does not reattach during the healing process. These exercises are usually simple and non-invasive but are crucial for ensuring the success of the procedure.

By understanding what is frenum and how it functions within your mouth, you can make informed decisions about your oral health. Whether you are curious about a gap in your teeth or concerned about a child’s speech development, identifying the role of the frenum allows you to have more productive conversations with your dental care provider. Remember that these tissues are a natural part of human anatomy, and professional intervention is only necessary when they stand in the way of your comfort or long-term dental health. Keeping a watchful eye on any changes in your mouth and seeking advice early can ensure that any potential issues are addressed before they become significant problems.

Related Terms:

  • what is frenum pull
  • what is frenulum
  • frena vs frenum
  • types of frenums
  • what is a frenum dental
  • frenum vs frenulum