What Is A Sarcoma

What Is A Sarcoma

Receiving a medical diagnosis that includes the word "sarcoma" can be an overwhelming and confusing experience. Understanding exactly what is a sarcoma is the first step toward navigating the complexities of this group of rare cancers. Unlike more common cancers that originate in epithelial tissues—such as those found in the breast, lung, or colon—sarcomas develop in the connective tissues of the body. These tissues act as the structural framework that supports, connects, or separates different types of tissues and organs. Because connective tissues are found virtually everywhere in the body, sarcomas can arise in a wide variety of locations, making them diverse in their presentation and treatment requirements.

Defining Sarcoma and Its Origins

Illustration representing connective tissue

To truly grasp what is a sarcoma, one must look at the biological architecture of the human body. Sarcomas are malignant tumors that form in “soft” tissues or bone. Soft tissues include muscles, fat, blood vessels, nerves, tendons, and the linings of joints. Because these tissues provide structure and mobility, a tumor in these areas can often grow significantly before it is even detected, as it may push aside healthy tissue rather than immediately obstructing a vital organ.

There are two primary categories of sarcoma:

  • Soft Tissue Sarcomas: These develop in the tissues that support and surround body structures. They are more common than bone sarcomas and can occur in muscles, fat, blood vessels, or deep skin tissues.
  • Bone Sarcomas (Osteosarcomas): These originate specifically within the bone tissue. While they are distinct from bone metastases (cancers that have spread to the bone from other organs), they are considered primary bone cancers.

Common Symptoms and Warning Signs

One of the primary challenges in diagnosing a sarcoma is that early-stage symptoms are often non-specific. Many patients first notice a lump that may or may not be painful. Because these lumps are often mistaken for benign cysts or sports injuries, they can go undiagnosed for months. It is important to pay attention to persistent symptoms that do not resolve over time.

Key warning signs to discuss with a healthcare professional include:

  • A painless or painful lump that is growing in size under the skin.
  • Persistent bone pain that may worsen at night or during physical activity.
  • Limited range of motion in a limb or joint.
  • Unexplained swelling or a feeling of "heaviness" in an arm or leg.
  • Abdominal pain that feels like a mass or fullness in the stomach area.

⚠️ Note: Many lumps are benign lipomas or cysts. However, any mass that is growing, deep-seated, or firm should be evaluated by a medical specialist via imaging, such as an MRI or CT scan, to rule out malignancy.

Types and Classification

Sarcoma is not a single disease; it is an umbrella term for over 70 different subtypes. The way a sarcoma is categorized depends largely on the type of cell from which it originated. Understanding the subtype is critical because it dictates the treatment plan and the expected prognosis.

Sarcoma Subtype Originating Tissue
Liposarcoma Fat cells
Leiomyosarcoma Smooth muscle cells
Osteosarcoma Bone tissue
Angiosarcoma Blood or lymph vessels
Chondrosarcoma Cartilage cells
Gastrointestinal Stromal Tumor (GIST) Digestive tract wall

Diagnostic Procedures and Staging

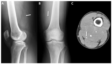
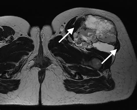
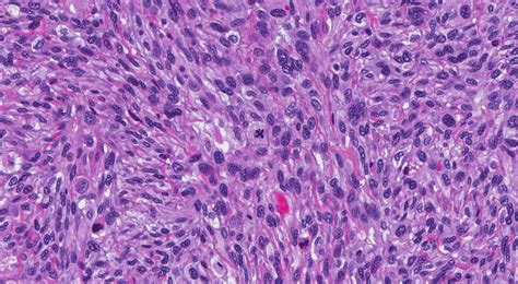
Once a doctor suspects a sarcoma, they will utilize a combination of diagnostic tools to confirm the diagnosis and determine the extent of the disease. The journey to a diagnosis usually involves imaging tests, such as X-rays, MRIs, or PET scans, which help identify the exact location and size of the tumor. A biopsy—where a small sample of the tissue is removed and examined under a microscope—is the gold standard for confirming exactly what is a sarcoma in a specific patient.

The staging process determines if the cancer has spread beyond the primary site. Staging typically takes into account:

  • The size of the primary tumor.
  • The grade of the tumor (how aggressive the cells look under a microscope).
  • Whether the cancer has spread to nearby lymph nodes.
  • Whether the cancer has metastasized to distant organs, such as the lungs.

Modern Treatment Approaches

Representation of medical oncology

Advancements in medical technology have significantly improved the outlook for sarcoma patients. Treatment is almost always multidisciplinary, meaning a team of surgeons, medical oncologists, and radiation oncologists work together to design a personalized strategy. Surgery is often the primary treatment, aiming to remove the tumor along with a margin of healthy tissue to ensure all cancerous cells are eradicated.

In addition to surgery, other common treatments include:

  • Radiation Therapy: Used to shrink tumors before surgery or to kill remaining cancer cells post-surgery.
  • Chemotherapy: Often utilized for specific types of sarcomas or if the cancer has spread to other parts of the body.
  • Targeted Therapy: Medications designed to attack specific genetic mutations within the cancer cells while sparing healthy tissue.
  • Immunotherapy: Treatments that help the patient’s immune system recognize and destroy cancer cells more effectively.

💡 Note: Because sarcomas are rare, it is often recommended to seek treatment at a specialized sarcoma center. These centers have dedicated experts who handle these specific types of tumors, which can lead to better diagnostic accuracy and more innovative treatment options.

Living With and Beyond Treatment

Recovery involves more than just addressing the biological presence of the tumor. Patients often require physical therapy to regain mobility, especially if the sarcoma was located near a joint or involved muscle tissue. Emotional and psychological support is also a vital component of the healing process. Many patients find strength in support groups, where they can connect with others who truly understand the experience of navigating a rare cancer diagnosis. Long-term follow-up is essential, as surveillance scans are necessary to monitor for any signs of recurrence and to ensure the patient’s long-term health remains a priority.

Gaining knowledge about the nature of this condition is a powerful tool in the hands of a patient and their caregivers. By identifying symptoms early, seeking out specialized care, and participating actively in a multidisciplinary treatment plan, patients can navigate the path forward with greater confidence. While the diagnosis carries weight, the ongoing evolution of medical science continues to offer new hope, more effective interventions, and a higher quality of life for those affected by these complex conditions. Through awareness, persistent monitoring, and modern therapeutic options, the journey through diagnosis and treatment becomes more manageable, focusing on the ultimate goals of healing, recovery, and long-term well-being.

Related Terms:

  • what is a sarcoma lump
  • is sarcoma cancer
  • what is a sarcoma tumor
  • sarcoma symptoms
  • are all sarcomas malignant
  • are sarcomas malignant