What Are Fillings For Teeth

What Are Fillings For Teeth

Dental health is an integral part of your overall well-being, yet many people only visit the dentist when they experience pain or discomfort. One of the most common procedures you might encounter is the placement of a dental restoration to repair a cavity. You may find yourself asking, what are fillings for teeth, and why are they so essential for maintaining a healthy smile? Simply put, a filling is a material used to restore the function, integrity, and morphology of a missing tooth structure resulting from caries or external trauma. By sealing the space where bacteria once entered and caused decay, fillings prevent further destruction and help you avoid more invasive treatments like root canals or extractions.

Understanding the Basics of Dental Fillings

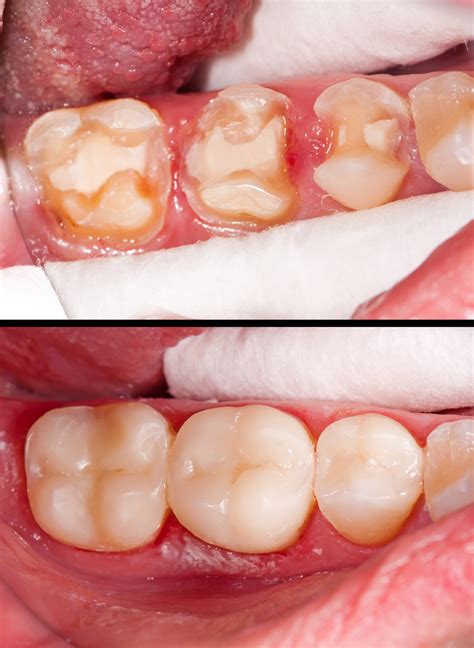
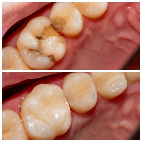
When decay attacks your tooth, it creates a hole, medically known as a cavity. If left untreated, this cavity will continue to grow, potentially reaching the pulp (the center of the tooth) and causing significant pain or infection. A filling serves as a barrier, sealing the affected area to prevent bacteria from accumulating and causing further damage. Essentially, the procedure involves removing the decayed portion of the tooth, cleaning the affected area, and then filling the cavity with a specific material. This restores the tooth to its original shape and strength.

Dentist examining a patient's teeth

Common Types of Filling Materials

Choosing the right material for your filling depends on several factors, including the location of the cavity, the extent of the decay, and your budget. Dental professionals offer a variety of options, each with distinct benefits:

  • Composite Resin: These are tooth-colored materials that blend naturally with your existing teeth, making them ideal for visible areas.
  • Amalgam (Silver Fillings): Known for their durability and affordability, these are often used for molars where the chewing force is highest.
  • Ceramic/Porcelain: These are highly resistant to staining and wear, offering a more aesthetic and long-lasting solution.
  • Glass Ionomers: Often used for small fillings or in children, these release fluoride, which can help prevent further decay in the surrounding tooth structure.
Material Aesthetic Appeal Durability
Composite High Moderate
Amalgam Low High
Ceramic High Very High

The Step-by-Step Procedure

Knowing what are fillings for teeth is only half the battle; understanding the procedure can help alleviate anxiety. The process is generally straightforward:

  1. Anesthesia: Your dentist will numb the area around the affected tooth to ensure you feel no discomfort during the procedure.
  2. Decay Removal: Using a drill or specialized instruments, the dentist removes the decayed portion of the tooth.
  3. Cleaning: The cavity is cleared of any remaining debris or bacteria to prepare the surface.
  4. Filling: The material is applied, layered, and hardened (if using composite) or packed into the cavity.
  5. Polishing: The final step involves shaping the filling to match your bite and polishing it for a smooth finish.

⚠️ Note: You may experience temporary sensitivity to hot or cold temperatures immediately following the procedure; this usually subsides within a few days as the tooth stabilizes.

Caring for Your Dental Fillings

While fillings are designed to last for many years, they are not immune to wear and tear. Proper oral hygiene is paramount to ensuring their longevity. Consistent habits include:

  • Brushing twice daily: Use fluoride toothpaste to strengthen your enamel and protect against new decay.
  • Flossing once daily: This removes food particles that brushing cannot reach, especially between teeth where fillings are located.
  • Routine Check-ups: Regular dental visits allow your dentist to monitor the integrity of your fillings and replace them if they show signs of cracking or leakage.
  • Avoiding Habits: Refrain from chewing on hard objects like ice or pens, which can fracture both your natural teeth and the filling materials.

Signs You Might Need a Replacement

Even with excellent care, fillings may eventually need to be replaced. How do you know when it is time? Keep an eye out for specific warning signs:

  • Increased Sensitivity: Persistent pain when consuming hot or cold foods.
  • Visible Cracks: If you notice a break in the filling or the surrounding tooth surface.
  • Rough Texture: You can feel a sharp or uneven edge with your tongue.
  • Loosening: A sense that the filling is shifting or no longer fits securely in the tooth.

By staying vigilant and maintaining a proactive approach to your dental health, you can ensure that your fillings serve their purpose for as long as possible. Understanding that a filling is a preventative measure rather than just a repair can change how you view your dental health. It is an investment in your comfort, your ability to eat and speak properly, and your overall dental longevity. If you suspect you have a cavity, seeking early intervention is the best strategy to keep your natural teeth strong and healthy for a lifetime. Regular brushing, flossing, and professional cleanings remain the gold standard in preventing the need for restorative work, but when a cavity does arise, dental fillings provide a reliable and efficient way to restore your smile to its optimal state.

Related Terms:

  • 4 types of fillings
  • types of fillings for teeth
  • tooth filling chart
  • amalgam fillings
  • permanent fillings for teeth
  • types of dental fillings