Watershed Zone Infarct

Watershed Zone Infarct

A watershed zone infarct represents a critical medical condition that occurs when blood flow to the regions of the brain situated between the boundaries of two major cerebral arterial territories is significantly reduced. Unlike typical strokes that affect a specific vessel's entire distribution area, these strokes occur at the "border zones" where the supply from the anterior, middle, and posterior cerebral arteries meets but does not overlap sufficiently. Because these areas are at the furthest point from the heart’s pumping force and the main arterial trunks, they are exceptionally vulnerable to sudden drops in systemic blood pressure, making them a unique and complex type of ischemic injury.

Understanding the Pathophysiology of Watershed Infarctions

To grasp why a watershed zone infarct occurs, one must visualize the brain's vascular map. The brain is supplied by a sophisticated network of arteries. When systemic blood pressure drops—a condition known as hypoperfusion—the blood flow is prioritized to the main arterial trunks. The tissue located at the periphery of these vascular territories, known as the border zones, is the first to suffer from oxygen deprivation.

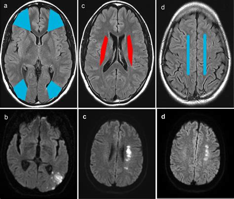
These border zones are broadly categorized into two primary types:

Also read: Symptoms Of Bacteria Eating Flesh
  • Internal Watershed Zones: These occur deep within the brain, situated between the deep and superficial arterial systems. They are often associated with small vessel disease and chronic hypertension.
  • Cortical Watershed Zones: These occur on the outer surface of the brain, specifically in the regions where the anterior cerebral artery (ACA) meets the middle cerebral artery (MCA), or where the MCA meets the posterior cerebral artery (PCA).

Common Causes and Risk Factors

The primary trigger for a watershed zone infarct is usually systemic hypoperfusion. However, it is rarely the result of a single event. Instead, it often involves a combination of chronic arterial narrowing and a sudden physiological stressor. Key risk factors include:

  • Severe Hypotension: Episodes of low blood pressure caused by shock, heart failure, or prolonged surgery.
  • Carotid Artery Stenosis: Significant narrowing of the carotid arteries, which prevents adequate blood from reaching the brain, especially during instances of mild blood pressure fluctuation.
  • Cardiac Arrhythmias: Conditions such as atrial fibrillation that disrupt the steady flow of blood.
  • Severe Dehydration or Anemia: Reducing the overall volume or oxygen-carrying capacity of the blood.

⚠️ Note: Patients with underlying atherosclerosis are at a significantly higher risk of developing a watershed zone infarct, as their cerebral vessels have less ability to compensate for drops in systemic pressure.

Clinical Presentation and Diagnostic Approaches

Symptoms of a watershed zone infarct can be varied and may sometimes be mistaken for other types of neurological issues. Because these strokes often occur in specific boundary regions, they may present with distinct clinical signs such as "man-in-the-barrel" syndrome, where a patient experiences bilateral weakness in the proximal muscles of the arms while maintaining strength in the hands and legs.

Clinicians typically utilize the following diagnostic tools to confirm the presence of a watershed infarct:

Diagnostic Tool Purpose
MRI (Diffusion-Weighted Imaging) The gold standard for identifying acute ischemic lesions in the border zones.
CT Angiography To evaluate the degree of narrowing in the carotid and intracranial arteries.
Echocardiogram To rule out cardiac sources of emboli or pump failure.

Treatment and Management Strategies

The management of a watershed zone infarct is fundamentally different from a standard embolic stroke. While standard strokes might involve thrombolytic therapy (clot-busting drugs), the focus in watershed cases is on hemodynamic stabilization. The goal is to restore adequate perfusion pressure to the brain to prevent the expansion of the infarct.

Primary treatment strategies include:

  • Blood Pressure Augmentation: Carefully increasing systemic blood pressure under close monitoring to ensure the brain is adequately perfused.
  • Fluid Resuscitation: Correcting hypovolemia to improve cardiac output.
  • Surgical Intervention: In cases of severe carotid stenosis, procedures such as carotid endarterectomy or stenting may be indicated to clear the pathway for blood flow.
  • Antiplatelet Therapy: Long-term management often involves aspirin or other blood-thinning agents to prevent future thrombotic events.

💡 Note: Aggressive blood pressure lowering should be avoided in the acute phase of a suspected watershed stroke, as this can exacerbate the ischemic injury in the border zones.

Rehabilitation and Long-Term Outlook

Recovery from a watershed zone infarct depends heavily on the extent of the tissue death and the speed of medical intervention. Early diagnosis is paramount. Once the patient is hemodynamically stable, the focus shifts toward intensive rehabilitation. This often involves physical, occupational, and speech therapy to regain lost motor function and cognitive clarity. Because these strokes are frequently linked to systemic vascular disease, long-term management requires strict control of blood pressure, cholesterol levels, and diabetes, along with smoking cessation, to prevent recurrence.

In summary, a watershed zone infarct is a specialized type of stroke that highlights the brain’s dependence on consistent systemic blood pressure. By identifying the border zones and understanding the role of hypoperfusion, healthcare providers can better tailor their diagnostic and treatment strategies. Recognizing symptoms early and managing underlying risk factors remain the most effective ways to improve outcomes. While the journey to recovery can be challenging, a combination of medical stabilization, surgical management of arterial narrowing, and dedicated rehabilitation provides the best path forward for patients affected by this condition.

Related Terms:

  • watershed stroke locations
  • watershed stroke symptoms
  • cause for watershed infarct
  • watershed stroke vs regular
  • watershed cerebral infarction treatment options
  • Watershed Infarction