Vertebral Artery Dissection Symptoms

Vertebral Artery Dissection Symptoms

A vertebral artery dissection (VAD) is a serious medical condition that occurs when there is a tear in the inner lining of one of the vertebral arteries, which are the two main arteries located in the neck that supply blood to the brain. When this tear occurs, blood can seep between the layers of the artery wall, potentially leading to the formation of a blood clot or narrowing the vessel, which restricts blood flow. Understanding Vertebral Artery Dissection Symptoms is critical because this condition is a leading cause of stroke in younger, otherwise healthy individuals. Recognizing the signs early can be the difference between a full recovery and long-term neurological impairment.

Understanding the Mechanism of a Vertebral Artery Dissection

The vertebral arteries run through the bony openings of the cervical spine. Because of their location, they are susceptible to injury from trauma, such as car accidents, sports injuries, or even sudden neck movements. However, in many cases, dissections occur spontaneously without any clear traumatic trigger. When the vessel wall is compromised, it initiates a cascade of events: a hematoma may form, narrowing the artery, or a piece of a clot may break off and travel to the brain, causing an ischemic stroke. Because these arteries serve the brainstem and cerebellum, the clinical presentation can be complex and varied.

Recognizing Common Vertebral Artery Dissection Symptoms

The symptoms of a vertebral artery dissection are often subtle and can mimic other common conditions like tension headaches or neck strain, which often leads to delayed diagnosis. However, specific clusters of symptoms should always raise suspicion.

The most frequently reported Vertebral Artery Dissection Symptoms include:

  • Sudden, severe neck or head pain: Patients often describe this as the "worst headache of my life" or a sharp, throbbing pain localized to the back of the head or neck.
  • Neurological deficits: Signs such as sudden dizziness, vertigo, or difficulty maintaining balance.
  • Vision changes: Blurred vision, double vision (diplopia), or a partial loss of the visual field.
  • Difficulties with coordination: Ataxia, or a sudden loss of coordination in the limbs.
  • Speech and swallowing issues: Difficulty speaking (slurred speech) or trouble swallowing (dysphagia).
  • Horner’s Syndrome: A combination of a drooping eyelid, a constricted pupil, and decreased sweating on one side of the face.

⚠️ Note: If you or someone around you experiences the "worst headache of their life" combined with dizziness or vision changes, seek emergency medical care immediately. Time is brain tissue.

Risk Factors and Triggers

While anyone can experience a vertebral artery dissection, certain factors may increase susceptibility. Understanding these can help individuals discuss their risks with a healthcare provider.

Category Risk Factors
Connective Tissue Disorders Ehlers-Danlos syndrome, Marfan syndrome, Fibromuscular dysplasia (FMD).
Lifestyle & Trauma Neck manipulation (chiropractic), high-impact sports, whiplash injury, intense coughing or sneezing.
Medical History Recent infection, hypertension, family history of arterial dissections.

The Importance of Early Diagnosis

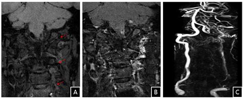
Because Vertebral Artery Dissection Symptoms often overlap with common ailments like migraines, physicians must maintain a high index of suspicion. Diagnostic imaging is the gold standard for confirming a suspected dissection. Medical professionals typically use advanced techniques such as CTA (Computed Tomography Angiography) or MRA (Magnetic Resonance Angiography) to visualize the arterial walls. These scans allow doctors to see the “flap” of the torn artery or the presence of a hematoma within the vessel wall. Early intervention, usually involving antiplatelet or anticoagulant therapy, is aimed at preventing the formation of clots that could lead to a stroke.

Treatment and Recovery Outlook

The treatment plan for a vertebral artery dissection primarily focuses on secondary stroke prevention. In most cases, patients are placed on blood-thinning medications for several months to allow the vessel wall to heal and to prevent clot formation. In rarer, more severe cases, endovascular procedures or surgery may be required to stabilize the artery. Recovery time varies significantly depending on the presence and severity of any neurological deficits caused by the dissection. Many patients recover well with appropriate management, provided they adhere strictly to their medication regimen and activity restrictions during the healing process.

💡 Note: Avoiding strenuous exercise and heavy lifting is typically recommended during the initial weeks of recovery to prevent fluctuations in blood pressure that could stress the healing artery.

Final Thoughts on Awareness

Vigilance is your best tool when dealing with vascular health. Because the warning signs of a vertebral artery dissection can be mistaken for benign conditions, it is essential to listen to your body, especially if you have recently experienced neck trauma or possess underlying connective tissue vulnerabilities. By staying informed about Vertebral Artery Dissection Symptoms—particularly the sudden onset of intense pain and neurological instability—you can ensure that you or your loved ones receive the immediate medical attention required to prevent permanent damage. Always consult with a qualified neurologist or emergency physician if you suspect an arterial issue, as prompt intervention remains the most effective strategy for preserving neurological function and ensuring long-term health.

Related Terms:

  • vertebral artery dissection radiology
  • vertebral artery dissection diagnosis
  • vertebral artery dissection mra
  • vertebral artery dissection management
  • vertebral artery pain
  • carotid artery dissection symptoms