Ureterovesical Junction Stone

Ureterovesical Junction Stone

Discovering that you have a Ureterovesical Junction Stone can be an incredibly stressful and painful experience. As one of the most common causes of sudden, severe abdominal or flank pain, these stones—often referred to as UVJ stones—occur when a kidney stone travels down the ureter and becomes lodged at the point where it enters the bladder. Understanding the nature of this condition, recognizing the symptoms early, and knowing the available treatment pathways are crucial steps in managing the situation effectively and minimizing discomfort.

What is a Ureterovesical Junction Stone?

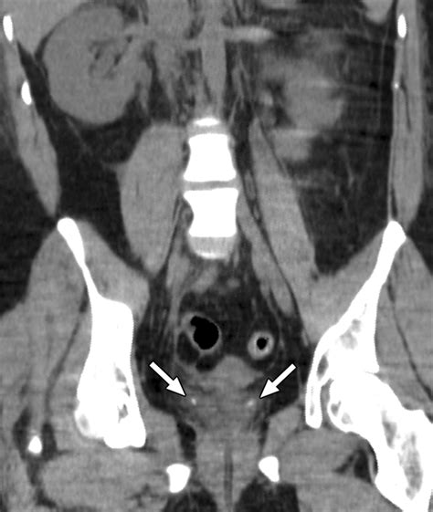
A Ureterovesical Junction (UVJ) stone is specifically located at the narrowest part of the ureter. Because this area acts as the gateway between the kidney drainage system and the bladder, a stone trapped here can cause significant obstruction. When urine flow is blocked, pressure builds up in the kidney, leading to the classic, intense pain associated with renal colic.

Common Symptoms to Watch For

The symptoms of a Ureterovesical Junction Stone are often intense and can appear without warning. Because the stone is located near the bladder, patients often experience symptoms that mimic a urinary tract infection (UTI). Key signs include:

  • Sudden, severe pain in the flank, lower abdomen, or groin area.
  • A persistent, urgent need to urinate, even when the bladder is empty.
  • Pain or a burning sensation during urination (dysuria).
  • Blood in the urine (hematuria), which may be visible to the naked eye or detected via a lab test.
  • Nausea and vomiting, often triggered by the intensity of the pain.

Diagnostic Procedures

To confirm the presence of a Ureterovesical Junction Stone, medical professionals rely on specific imaging and laboratory tests. Early diagnosis is essential to prevent complications such as hydronephrosis (kidney swelling) or secondary infections.

  • Non-contrast CT Scan: The gold standard for identifying stones, their size, and their exact location.
  • Renal Ultrasound: Often used to check for kidney swelling and is safer for pregnant patients or those avoiding radiation.
  • Urinalysis: Conducted to look for red blood cells, white blood cells, or signs of an active infection.

Treatment Pathways

Treatment for a Ureterovesical Junction Stone depends largely on the size of the stone, the degree of obstruction, and the patient’s current health status. Many small stones pass spontaneously, while larger or more complex stones require medical intervention.

Treatment Type Description Typical Use Case
Medical Expulsive Therapy (MET) Use of alpha-blockers to relax the ureter muscles. Stones smaller than 5mm.
Ureteroscopy (URS) Endoscopic removal of the stone using a laser. Stones that fail to pass or cause severe pain.
Shock Wave Lithotripsy (SWL) Using sound waves to shatter the stone. Selected cases based on stone hardness and location.

⚠️ Note: If you experience a high fever, persistent vomiting, or an inability to pass urine, please seek emergency medical attention immediately, as these may be signs of a life-threatening infection or complete obstruction.

Steps for Management and Recovery

If your doctor determines that your Ureterovesical Junction Stone is small enough to pass on its own, they will likely recommend a strategy known as “watchful waiting.” During this phase, consider these steps to support your recovery:

  • Hydration: Increase your water intake significantly to help flush the system and keep urine dilute.
  • Pain Management: Utilize over-the-counter or prescription anti-inflammatory medications as directed by your physician to manage muscle spasms and pain.
  • Strain Your Urine: Use a fine mesh strainer to catch the stone when it passes; this allows your doctor to analyze its composition, which helps in preventing future occurrences.
  • Physical Activity: Light movement may help encourage the stone to move, but avoid strenuous exercise if you are in severe pain.

Prevention Strategies

After successfully passing or removing a Ureterovesical Junction Stone, the focus should shift toward prevention. Recurrent stone formation is common if underlying lifestyle factors are not addressed. Staying well-hydrated is the most important factor, as it prevents minerals from concentrating and crystallizing in the urine. Additionally, limiting sodium intake and moderating the consumption of foods high in oxalates—such as spinach, nuts, and chocolate—can significantly lower your risk of developing future stones.

💡 Note: Always consult with a urologist before making drastic changes to your diet or starting new supplements, as stone composition varies and treatments must be tailored to your specific mineral profile.

Long-Term Outlook

Living through a Ureterovesical Junction Stone is challenging, but with the right medical guidance, the prognosis is excellent. Most patients return to their daily routines shortly after the stone passes or is removed. By maintaining regular follow-up appointments and keeping up with adequate hydration, you can significantly reduce the likelihood of facing this painful condition again in the future. Remember that the combination of diagnostic accuracy and proactive symptom management remains the most effective way to navigate the road to recovery.

Related Terms:

  • ureteropelvic junction stone
  • ureterovesical junction stone treatment
  • left ureterovesical junction stone
  • ureterovesical junction stone ct
  • ureterovesical junction vs ureteropelvic
  • ureterovesical junction calculus