Uncal Herniation Brain

Uncal Herniation Brain

The human brain is an incredibly complex organ, safely encased within the rigid, bony structure of the skull. While this protection is vital, it also creates a dangerous environment if the internal pressure begins to rise. When a mass, such as a tumor, a hematoma, or severe cerebral edema, develops within the cranium, it shifts brain tissue from its normal position, a process known as brain herniation. Among the most critical and life-threatening of these shifts is the uncal herniation brain syndrome. This condition occurs when the innermost part of the temporal lobe, called the uncus, is pressed against and over the edge of the tentorium cerebelli—a membrane that separates the cerebrum from the cerebellum. Understanding this phenomenon is essential for medical professionals and the public alike, as prompt recognition is the only way to prevent irreversible damage or death.

Understanding the Anatomy of Uncal Herniation

To grasp why an uncal herniation brain injury is so catastrophic, one must understand the anatomy. The brain occupies a fixed volume. When localized pressure increases in the supratentorial compartment (the space above the tentorium), that pressure must go somewhere. The uncus, being the most medial part of the temporal lobe, is pushed medially and downward toward the brainstem. As the uncus slides over the tentorial edge, it exerts direct pressure on vital structures, primarily the oculomotor nerve (cranial nerve III) and the midbrain. This compression is what triggers the rapid clinical deterioration often associated with this event.

The clinical manifestations of this pressure change are often described in stages, reflecting the progressive impact on the brainstem. Recognizing these signs early is the primary challenge in emergency medicine, as the window for intervention is often extremely narrow.

Clinical Signs and Symptoms

The symptoms of an uncal herniation brain event are generally progressive. Because the uncus presses against the third cranial nerve, the earliest sign is often specific to the eye on the side of the injury. Key clinical indicators include:

  • Pupillary Dilation: The pupil on the affected side becomes dilated and unresponsive to light because the parasympathetic fibers of the oculomotor nerve are being compressed.
  • Ptosis: Drooping of the eyelid on the affected side.
  • Hemiparesis: Weakness on the opposite side of the body caused by the compression of the cerebral peduncle.
  • Altered Level of Consciousness: As pressure moves further into the midbrain and reticular activating system, the patient moves from confusion to stupor, and eventually coma.
  • Decerebrate Posturing: A severe sign indicating significant midbrain damage, characterized by rigid extension of the limbs.

⚠️ Note: If you observe someone displaying a "blown pupil" (one pupil significantly larger than the other) following a head injury, this is a medical emergency requiring immediate neurological intervention.

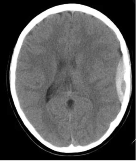
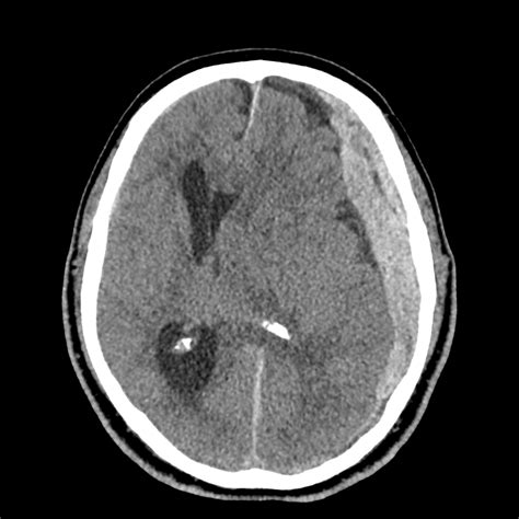
Diagnosis and Imaging

When an uncal herniation brain shift is suspected, time is the absolute priority. Diagnostic imaging is required to confirm the presence and location of the mass effect. A Computed Tomography (CT) scan is the gold standard in an emergency setting because it is fast and widely available. It can reveal:

Finding Clinical Significance
Midline Shift Indicates significant pressure pushing structures across the center of the brain.
Effacement of Basal Cisterns Suggests the brain tissue is being forced into areas where it does not belong.
Temporal Lobe Mass Identifies the primary cause, such as a bleed (hematoma) or tumor.

Emergency Management Strategies

Managing an uncal herniation brain requires aggressive measures to lower intracranial pressure (ICP) immediately. The goal is to "buy time" until the underlying cause can be addressed surgically or medically. Common interventions include:

  • Hyperventilation: Controlled reduction of CO2 levels in the blood causes vasoconstriction in the brain, which temporarily reduces intracranial volume.
  • Osmotic Therapy: The administration of Mannitol or hypertonic saline to draw fluid out of the brain tissue and into the bloodstream.
  • Head Elevation: Keeping the head of the bed elevated at 30 degrees to promote venous drainage from the skull.
  • Surgical Decompression: Ultimately, the definitive treatment is the surgical evacuation of the hematoma or tumor, or a decompressive craniectomy to allow the brain room to swell.

💡 Note: Do not attempt to move or treat someone suspected of this condition without professional medical personnel; stabilize the head and neck and call emergency services immediately.

Prognosis and Long-term Recovery

The prognosis for an uncal herniation brain event depends entirely on the duration of the compression and the extent of the brainstem injury. If the compression is relieved quickly, patients may show significant recovery. However, if the brainstem has suffered prolonged ischemia or physical trauma, the damage is often permanent. Recovery frequently involves a multidisciplinary approach, including physical therapy, occupational therapy, and speech-language pathology to address the deficits caused by the brain injury.

Final Perspectives

An uncal herniation brain crisis represents one of the most severe neurological emergencies encountered in clinical practice. It is a stark reminder of the delicate balance of pressure and space within the human skull. By identifying the classic signs, such as pupil dilation and rapid changes in mental status, medical teams can act with the precision required to stabilize the patient. Early intervention, focusing on the reduction of intracranial pressure and the surgical removal of the mass effect, remains the only viable path to saving lives and preserving neurological function. While the recovery process can be arduous, ongoing advancements in neuro-critical care continue to improve the outlook for patients who survive these critical neurological events.

Related Terms:

  • uncal herniation transtentorial
  • tentorial vs uncal herniation
  • uncal herniation images
  • early sign of uncal herniation
  • uncal herniation oculomotor nerve
  • uncal herniation on ct scan