Umbilical Vein Varix

Umbilical Vein Varix

Receiving an unexpected diagnosis during a prenatal ultrasound can be a source of significant anxiety for expectant parents. Among the various findings that may appear during routine screening is the Umbilical Vein Varix. While the medical terminology might sound intimidating, understanding what this condition entails is the first step toward managing expectations and ensuring the health of both the mother and the developing fetus. In essence, this condition refers to a focal dilatation—or an enlargement—of the intra-abdominal portion of the umbilical vein. While it is considered a relatively rare anomaly, advancements in prenatal imaging have made it easier for clinicians to detect, monitor, and manage cases effectively.

What Exactly Is an Umbilical Vein Varix?

To understand an Umbilical Vein Varix, one must first understand the anatomy of the umbilical cord. The umbilical vein is responsible for carrying oxygenated, nutrient-rich blood from the placenta to the fetus. Under normal circumstances, this vessel maintains a consistent diameter throughout its path. When a segment of this vein dilates or stretches abnormally, it creates a "varix" or a localized ballooning effect. This is similar to a varicose vein in an adult, though the implications during pregnancy are managed through a different clinical lens.

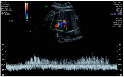
Detection usually occurs during the second or third-trimester anatomy scan. Sonographers look for a fluid-filled, cyst-like structure within the fetal abdomen that shows blood flow when color Doppler ultrasound is applied. Because the structure is vascular, it is easily distinguishable from other fluid-filled cysts (like those in the gallbladder or bowel) once the appropriate imaging techniques are utilized.

Diagnostic Procedures and Clinical Assessment

Once a sonographer identifies a suspected Umbilical Vein Varix, the medical team will typically initiate a more comprehensive diagnostic protocol. The primary goal is to determine the size of the varix and assess whether there are any associated anomalies. Because the umbilical vein is a critical conduit for fetal circulation, clinicians take a cautious, systematic approach.

The following steps are commonly taken once a diagnosis is suspected:

  • Targeted Ultrasound: A high-resolution scan performed by a maternal-fetal medicine specialist to confirm the diagnosis and rule out structural heart defects or other fetal abnormalities.
  • Fetal Echocardiogram: This is often requested to ensure the heart is functioning correctly and that the vascular system is not under undue stress.
  • Doppler Flow Studies: These studies measure the velocity and pattern of blood flow through the varix to check for turbulence or restricted flow.
  • Genetic Counseling: Depending on whether other markers are present, physicians may discuss non-invasive prenatal testing (NIPT) or amniocentesis to rule out chromosomal issues.
Feature Characteristics of Umbilical Vein Varix
Location Intra-abdominal portion of the umbilical vein
Detection Method Color Doppler Ultrasonography
Primary Concern Thrombus formation (blood clots) or fetal heart strain
Prognosis Generally favorable with close monitoring

⚠️ Note: Always consult with a perinatologist or a high-risk pregnancy specialist. While general statistics provide comfort, your individual clinical profile—including the size and location of the varix—is what matters most for your specific pregnancy outcome.

Understanding the Risks and Complications

The vast majority of pregnancies involving an Umbilical Vein Varix result in healthy newborns. However, medical professionals monitor these cases closely because there are theoretical risks associated with the altered hemodynamics of the umbilical vein. The primary concern is the potential for blood to slow down or become turbulent within the dilated area, which increases the slight risk of thrombosis (clotting). If a clot were to form, it could theoretically obstruct the flow of oxygenated blood to the fetus.

Additionally, clinicians are alert to the possibility of fetal heart failure, although this is extremely rare and usually associated with massive dilations. By scheduling serial ultrasounds, doctors can track the size of the varix. If the size remains stable or shows signs of regression, the pregnancy is often allowed to proceed toward full term with standard labor and delivery plans.

Management and Delivery Considerations

The management strategy for an Umbilical Vein Varix is usually "expectant management," which simply means consistent observation. There is no surgical intervention required while the fetus is in utero. The frequency of your ultrasounds will depend on your doctor's assessment, but they are typically performed every 2 to 4 weeks to ensure the fetus is growing appropriately and that the varix is not enlarging.

Regarding the delivery plan, many experts suggest the following considerations:

  • Timing of Birth: Unless there is evidence of fetal distress or rapid progression of the varix, most doctors allow the pregnancy to go to 37–39 weeks.
  • Mode of Delivery: A Cesarean section is not automatically required. Vaginal delivery is often possible unless other obstetric complications exist.
  • Postnatal Evaluation: Once the baby is born, pediatricians or neonatologists will perform a routine assessment. In most cases, the varix loses its clinical significance immediately after the cord is clamped and the baby begins breathing on their own.

💡 Note: While the diagnosis sounds complex, remember that most babies born with an umbilical vein varix show no long-term health consequences and go on to live perfectly normal, healthy lives.

Moving Forward with Confidence

Discovering an Umbilical Vein Varix during your pregnancy journey can be overwhelming, but it is important to remember that modern medical technology allows for precise tracking and management of this condition. By staying informed and maintaining consistent communication with your obstetric team, you ensure that any necessary precautions are taken. Most cases require nothing more than a few extra ultrasound appointments to confirm that your baby continues to thrive. As you progress through your pregnancy, focus on the care provided by your specialists and trust in the surveillance protocols designed to protect your baby’s development. With proper monitoring, the vast majority of these cases conclude with a successful delivery and a healthy child, allowing you to move past the stress of the initial diagnosis and look forward to meeting your little one.

Related Terms:

  • umbilical vein varix fetal ultrasound
  • umbilical vein varix icd 10
  • umbilical cord varix
  • umbilical vein varix ultrasound
  • umbilical vein varix fetal
  • umbilical vein varix risks