Ultrasound For Gallbladder Problems

Ultrasound For Gallbladder Problems

Experiencing persistent abdominal pain, particularly after eating fatty meals, can be incredibly distressing and often leads individuals to seek medical answers. One of the most common, non-invasive, and effective diagnostic tools used by healthcare providers is ultrasound for gallbladder problems. Because the gallbladder plays a critical role in digestion by storing bile, issues such as gallstones or inflammation can cause significant discomfort. Understanding how this imaging technique works and what it reveals can help demystify the diagnostic process and provide clarity on your path to recovery.

Why Ultrasound is the Gold Standard for Gallbladder Issues

When you present symptoms indicative of gallbladder distress—such as sharp pain in the upper right abdomen, nausea, or jaundice—your doctor will likely order an imaging test. An ultrasound is typically the first line of defense. Unlike X-rays or CT scans, ultrasound technology uses high-frequency sound waves to produce real-time images of internal structures, making it exceptionally safe, as it involves no radiation exposure.

The primary advantage of using an ultrasound for gallbladder problems is its unmatched ability to identify gallstones. Because gallstones are often calcified or dense, they reflect sound waves differently than the surrounding fluid-filled gallbladder, making them clearly visible on the monitor. Furthermore, ultrasound is highly efficient at detecting signs of inflammation, such as a thickened gallbladder wall or the presence of fluid around the organ, which are indicators of cholecystitis.

What to Expect During the Procedure

The thought of undergoing a medical procedure can be nerve-wracking, but an abdominal ultrasound is a straightforward, outpatient experience. Knowing what to expect can alleviate unnecessary anxiety.

  • Preparation: You will likely be asked to fast (refrain from eating or drinking) for at least 6 to 8 hours before the test. This ensures the gallbladder is fully distended (filled with bile), allowing for a clearer, more detailed image.
  • The Process: You will lie on an examination table, and the sonographer will apply a warm, water-based gel to your upper abdomen. This gel helps eliminate air pockets between the skin and the transducer—the handheld device used to emit sound waves.
  • The Scan: The sonographer will move the transducer over the area while applying light pressure. You might be asked to change positions or hold your breath briefly to get better images from different angles.
  • Duration: The entire process typically takes between 30 to 60 minutes.

💡 Note: Please follow your doctor's fasting instructions strictly. Consuming food can cause the gallbladder to contract, which makes it difficult for the sonographer to see potential stones or abnormalities clearly.

Common Gallbladder Conditions Identified via Ultrasound

Radiologists look for specific markers when analyzing ultrasound images. These findings help doctors form an accurate diagnosis and treatment plan. Common findings often include:

Condition Ultrasound Findings
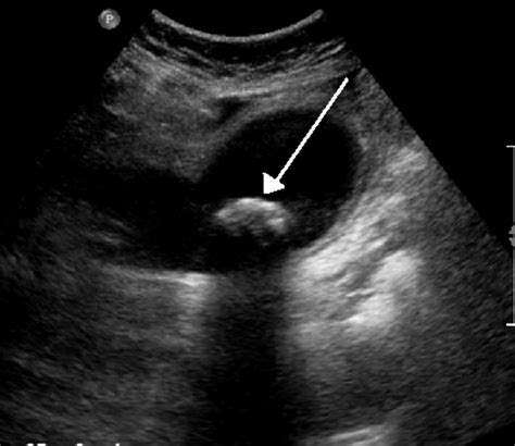
Cholelithiasis (Gallstones) Highly reflective (echogenic) spots within the gallbladder, usually with a characteristic "acoustic shadow" behind them.
Cholecystitis (Inflammation) Thickened gallbladder walls, fluid accumulation around the gallbladder, or a positive "sonographic Murphy’s sign" (tenderness when the probe is pressed).
Gallbladder Sludge A collection of particulate matter that moves slowly; it does not usually cast a shadow like stones do.
Polyps Small, non-mobile growths attached to the wall of the gallbladder that do not cast a shadow.

Interpreting the Results

Once the ultrasound is complete, a radiologist will review the images and generate a report. Your primary care physician or a gastroenterologist will then discuss these results with you. It is important to remember that ultrasound results must be correlated with your clinical symptoms and blood work.

For example, you might have small gallstones identified on an ultrasound but experience no pain; in such cases, treatment may not be necessary. Conversely, if you have classic symptoms, and the ultrasound confirms stones along with a thickened wall, this is strong evidence of symptomatic gallbladder disease requiring medical intervention, such as dietary changes or surgical removal.

Limitations and Next Steps

While an ultrasound for gallbladder problems is incredibly effective, it is not always the final answer. In some cases, the images may be inconclusive if there is excess gas in the intestines, which can block the sound waves, or if the patient is severely obese. If the ultrasound is inconclusive or if your doctor suspects a blockage in the bile ducts, they may recommend further testing.

Secondary tests may include:

  • HIDA Scan: A functional test that tracks how well the gallbladder empties bile.
  • MRCP (Magnetic Resonance Cholangiopancreatography): A specialized MRI that provides detailed pictures of the bile ducts.
  • Endoscopic Ultrasound (EUS): A combination of endoscopy and ultrasound that provides very high-resolution images from inside the digestive tract.

💡 Note: Always consult with your specialist regarding which diagnostic path is best for your specific situation. Do not assume a lack of findings on an ultrasound means there is absolutely no issue if your symptoms persist.

Preparing for the Future

Once you have undergone the necessary imaging and received a diagnosis, taking proactive steps is vital. If gallstones are confirmed, your physician will help you weigh the risks and benefits of various treatments. Whether you need surgery or can manage the condition through lifestyle adjustments—such as low-fat diets—maintaining regular check-ups is essential to monitor your digestive health.

By prioritizing diagnostic accuracy through proven methods like ultrasound, you are taking the most important step toward alleviating your symptoms and improving your overall quality of life. Empowering yourself with knowledge about your condition is the best way to partner effectively with your healthcare team and achieve the best possible long-term outcomes.

Navigating the uncertainties of abdominal pain is never easy, but modern diagnostic tools provide a clear path forward. Using an ultrasound for gallbladder problems remains the most reliable, non-invasive starting point for pinpointing the root cause of your discomfort. Whether you are dealing with gallstones, inflammation, or simply checking on a nagging ache, this procedure offers the clarity needed to make informed decisions about your health. By working closely with your medical team, interpreting the results within the context of your specific symptoms, and following through with appropriate treatment or lifestyle changes, you can effectively manage gallbladder health and return to a life free from persistent abdominal distress.

Related Terms:

  • gallbladder problems after ultrasound
  • will ultrasound show gallbladder problems
  • ultrasound of gallbladder with gallstones
  • gallbladder ultrasound what to expect
  • gallbladder ultrasound instructions
  • gallbladder pain with normal ultrasound