Tuberous Sclerosis Radiology

Tuberous Sclerosis Radiology

Tuberous Sclerosis Complex (TSC) is a multisystem genetic disorder characterized by the development of benign tumors in various organs, including the brain, kidneys, heart, eyes, lungs, and skin. Because the condition affects so many disparate systems, Tuberous Sclerosis Radiology plays a pivotal role in initial diagnosis, long-term monitoring, and the management of disease-related complications. As radiologists are often the first to identify the characteristic signatures of this condition, understanding the specific imaging findings associated with TSC is essential for accurate clinical management and improved patient outcomes.

Understanding the Role of Neuroimaging in TSC

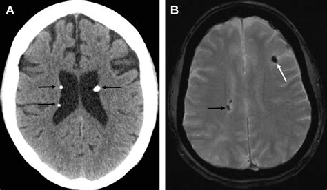
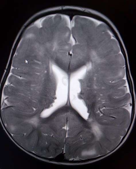
The central nervous system is frequently involved in TSC, leading to significant neurological morbidity, including epilepsy, cognitive impairment, and autism spectrum disorder. Imaging studies, particularly Magnetic Resonance Imaging (MRI), are the gold standard for evaluating these intracranial manifestations.

The hallmark brain lesions in Tuberous Sclerosis Radiology include:

  • Cortical Tubers: These are areas of cortical dysplasia, appearing as hyperintense signals on T2-weighted and FLAIR MRI images. They are most commonly found in the frontal lobes.
  • Subependymal Nodules (SENs): Small, benign nodules located along the walls of the lateral ventricles. They are often calcified and can be easily visualized on both CT and MRI scans.
  • Subependymal Giant Cell Astrocytomas (SEGAs): These are tumors that typically arise from SENs near the foramen of Monro. Unlike static nodules, SEGAs have the potential for growth and can cause obstructive hydrocephalus, requiring urgent surgical or pharmacological intervention.
  • White Matter Radial Migration Lines: These appear as linear bands of hyperintensity extending from the periventricular region toward the cortex, representing disrupted neuronal migration.

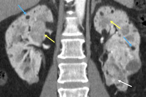
Renal Imaging and Surveillance

Renal involvement is a major contributor to morbidity in TSC, particularly in adults. The radiological surveillance of the kidneys is vital to prevent complications such as hemorrhage or renal failure. Imaging modalities of choice include ultrasound, CT scans, and MRIs.

The primary renal findings associated with Tuberous Sclerosis Radiology include:

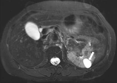
  • Angiomyolipomas (AMLs): These are the most common renal tumors in TSC. They are composed of blood vessels, smooth muscle, and fat. The presence of macroscopic fat is a diagnostic marker, which is best detected on MRI or CT scans using specific fat-suppression techniques.
  • Renal Cysts: These can range from simple cysts to polycystic kidney disease, which, when occurring in TSC, often presents early in childhood and can lead to hypertension or decreased renal function.
  • Renal Cell Carcinoma: While rare, the incidence is higher in TSC patients than in the general population, making it critical to distinguish between benign AMLs and potentially malignant masses.
Imaging Modality Clinical Purpose Key Advantage
MRI (Brain) Detecting tubers, SENs, and SEGAs No ionizing radiation; excellent soft tissue contrast.
CT (Abdomen) Identifying fat-rich Angiomyolipomas High sensitivity for calcifications and fat content.
Ultrasound Initial screening for renal lesions Cost-effective, safe, and widely available.
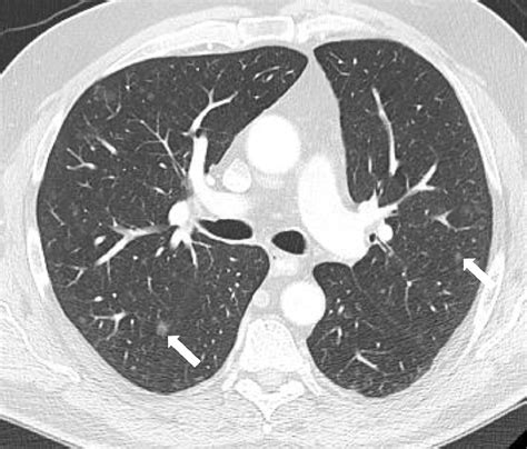
Chest HRCT Monitoring LAM (Lymphangioleiomyomatosis) Detects early cystic changes in lung parenchyma.

💡 Note: When imaging TSC patients, especially children, preference should be given to MRI to avoid the cumulative effects of ionizing radiation from repeated CT scans, unless CT is clinically necessary for specific tissue characterization.

Pulmonary and Cardiac Manifestations

In addition to the brain and kidneys, Tuberous Sclerosis Radiology must account for pulmonary and cardiac health. Lymphangioleiomyomatosis (LAM), a disease characterized by the proliferation of atypical smooth muscle cells in the lungs, primarily affects adult women with TSC. High-resolution computed tomography (HRCT) is the definitive modality for identifying the characteristic diffuse thin-walled cystic changes in the pulmonary parenchyma.

Cardiac findings are typically encountered in the pediatric population:

  • Cardiac Rhabdomyomas: These are the most common cardiac tumors in infants with TSC. They are often multiple and usually undergo spontaneous regression over time.
  • Imaging Modalities: Echocardiography is the primary imaging tool. However, MRI can be utilized if characterization of the mass or assessment of hemodynamic impact is required.

The Importance of Longitudinal Imaging Protocols

Because the clinical trajectory of TSC is unpredictable, consistent follow-up imaging is required. The frequency of these scans depends on the organ system involved, the size of the tumors, and whether the patient is symptomatic. For example, asymptomatic SEGAs may be monitored annually, while rapid growth or symptoms like headaches or vomiting may necessitate more frequent neuroimaging to evaluate for hydrocephalus.

💡 Note: Always correlate radiological findings with clinical symptoms. A "stable" radiological lesion may still require intervention if it begins to exert mass effect or causes clinical seizures.

Standardizing Reporting in Radiology

To improve patient care, radiologists should follow standardized reporting criteria. Clearly documenting the size, location, and presence of fat within tumors helps clinicians decide between conservative management (active surveillance) and active treatment, such as the use of mTOR inhibitors. By maintaining a detailed imaging history, the radiology team serves as a critical partner in the multidisciplinary care team for TSC patients.

In summary, the diagnostic journey for individuals with Tuberous Sclerosis Complex relies heavily on specialized imaging techniques that can track both the evolution of benign tumors and the emergence of new complications across multiple body systems. By utilizing a combination of high-resolution MRI and targeted CT or ultrasound protocols, medical professionals can effectively monitor disease progression from infancy through adulthood. This proactive approach to surveillance not only facilitates early intervention for potentially life-threatening issues like SEGAs or symptomatic renal angiomyolipomas but also provides peace of mind for families navigating the complexities of this genetic condition. As imaging technology continues to evolve, the integration of these sophisticated radiological tools will remain the cornerstone of effective, personalized management strategies for those living with Tuberous Sclerosis Complex.

Related Terms:

  • tuberous sclerosis mri brain radiology
  • tuberous sclerosis sclerotic bone lesions
  • tuberous sclerosis lung radiology
  • tuberous sclerosis up to date
  • tuberous sclerosis images
  • tuberous sclerosis pathology outlines