Tuberositas Tibiae Fracture

Tuberositas Tibiae Fracture

A Tuberositas Tibiae fracture, known in medical terms as an avulsion fracture of the tibial tuberosity, is a rare but significant orthopedic injury, particularly among adolescents and young athletes. The tibial tuberosity is the bony prominence located just below the kneecap (patella) where the patellar tendon attaches. When a sudden, forceful contraction of the quadriceps muscle occurs—often during activities like jumping, sprinting, or landing—the tension can become so intense that it pulls a fragment of bone away from the tibia. Understanding the mechanics, diagnosis, and treatment pathways for this injury is crucial for timely recovery and long-term joint health.

Understanding the Anatomy and Mechanism of Injury

Knee joint anatomy highlighting the tibial tuberosity

The tibial tuberosity serves as the final anchor point for the extensor mechanism of the knee. In younger individuals, specifically those who have not reached skeletal maturity, this area contains an apophysis—a secondary growth center. Because the bone here is still developing and is not as dense as mature cortical bone, it is the weakest link in the chain that connects the quadriceps to the lower leg.

This injury typically occurs when the extensor mechanism is under high stress. Common scenarios include:

  • Sports participation: High-impact sports such as basketball, volleyball, or soccer frequently involve rapid jumps and sudden changes in direction.
  • Skeletal maturity stage: It is most common in boys during their growth spurt years, typically between 12 and 16 years of age.
  • Mechanical overload: A forceful contraction of the quadriceps while the knee is flexed puts maximum strain on the attachment site.

Classification of Tuberositas Tibiae Fractures

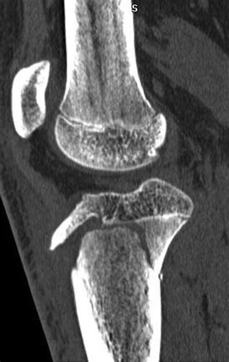
Medical professionals use the Ogden classification system to grade the severity of these fractures. Understanding the grade is essential for determining whether conservative management or surgery is required. The system is categorized based on the displacement of the bone fragment and the extent of the damage to the growth plate.

Type Description
Type I Fracture occurs at the distal part of the tibial tubercle; displacement is minimal.
Type II Fracture extends through the secondary ossification center; typically involves more displacement.
Type III Fracture extends through the articular surface of the knee joint.
Type IV Fracture extends posteriorly through the entire proximal tibial metaphysis.

💡 Note: Higher-grade injuries (Type III and IV) almost always necessitate surgical intervention to ensure the smooth surface of the knee joint is restored and future mobility is not compromised.

Diagnostic Procedures and Clinical Presentation

Patients suffering from a Tuberositas Tibiae fracture usually present with immediate, sharp pain at the front of the knee immediately following an injury. Other classic clinical signs include:

  • Swelling and bruising: Localized inflammation is almost instantaneous.
  • Inability to extend the knee: Because the patellar tendon is no longer anchored correctly, the patient cannot actively straighten the leg against gravity.
  • Visible deformity: Depending on the severity, there may be a noticeable gap or bump below the kneecap.

To confirm the diagnosis, physicians utilize a combination of physical examination and diagnostic imaging. Standard X-rays are typically sufficient to view the displacement, but in complex cases, an MRI or CT scan may be ordered to evaluate potential ligament damage or the involvement of the articular cartilage.

Treatment Pathways

The treatment of a Tuberositas Tibiae fracture depends heavily on the level of fragment displacement. If the bone fragment is minimally displaced, the physician may opt for non-operative management. This typically involves immobilizing the knee in a cast or a hinged knee brace for several weeks to allow the body to heal the bone naturally.

However, if the fracture is displaced, the standard of care is Open Reduction and Internal Fixation (ORIF). This surgical procedure involves:

  • Realignment of the bone fragment into its original anatomical position.
  • Using orthopedic hardware, such as screws or wires, to secure the bone in place while it heals.
  • A rehabilitation program focused on restoring range of motion and muscle strength.

💡 Note: Following surgery, physical therapy is non-negotiable. Rebuilding quadriceps strength is critical to prevent long-term atrophy and to ensure the knee can withstand the mechanical loads of daily activity and sports.

Rehabilitation and Recovery Expectations

The road to recovery after a Tuberositas Tibiae fracture is a marathon, not a sprint. Even after the bone has knit together, the surrounding soft tissues need time to recover their elasticity and strength. Most patients undergo a structured physical therapy plan divided into three phases:

  1. Protection Phase: Focuses on controlling pain and swelling while protecting the surgical site.
  2. Mobility Phase: Gradually reintroducing range-of-motion exercises to prevent stiffness.
  3. Strengthening Phase: Progressive resistance training to regain muscle mass in the quadriceps and hamstrings.

Most young athletes are able to return to their previous level of sporting activity within four to six months, provided they strictly follow the guidance of their orthopedic surgeon and physical therapist.

Managing this specific knee injury requires a careful balance between immediate immobilization and eventual mobilization. Because the tibial tuberosity serves as the fulcrum for the entire lower limb’s extensor mechanism, the impact of a fracture here can be far-reaching if not treated with precision. Early identification of symptoms—specifically the loss of active knee extension—is the most effective way to ensure a referral to an orthopedic specialist happens quickly. By adhering to a rigorous rehabilitation protocol, most patients successfully regain full function of the knee joint. While the recovery process can be demanding, it is essential for the long-term integrity of the growth plate and the overall health of the knee, ultimately allowing the patient to return to an active and pain-free lifestyle.

Related Terms:

  • tibial tuberosity fracture in children
  • type 4 tibial tubercle fracture
  • left tibial tubercle avulsion fracture
  • tibial tuberosity avulsion fracture orthobullets
  • anterior tibial tuberosity in children
  • fracture of left tibial tuberosity