Tree In Bud Opacities

Tree In Bud Opacities

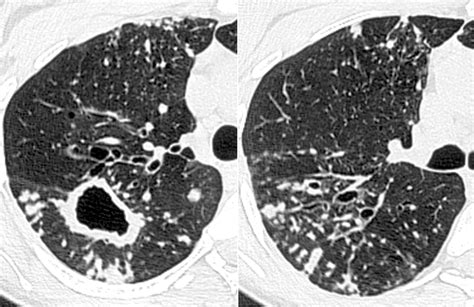
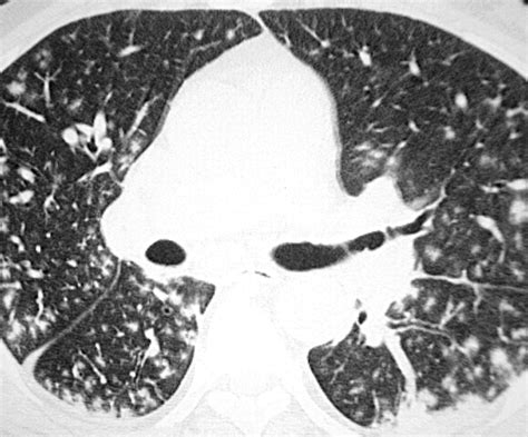
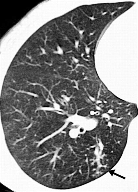
When you receive a radiology report mentioning tree in bud opacities, it can be an unsettling experience. This specific term is used by radiologists to describe a distinct pattern of lung abnormalities seen on high-resolution computed tomography (HRCT) scans. Understanding what this pattern means is crucial, as it acts as a diagnostic clue for healthcare providers to narrow down the underlying cause of your symptoms. Essentially, the term refers to the visual appearance of small, branching opacities in the peripheral airways, resembling a tree with buds at the end of its branches. While this finding is never a diagnosis in itself, it is a significant radiological sign that requires clinical correlation to determine the appropriate course of treatment.

What Exactly Is the Tree in Bud Pattern?

The tree in bud opacities appearance is fundamentally a reflection of airway pathology. On a CT scan, the "tree" component represents dilated, fluid-filled bronchioles (the smallest airways in the lung), while the "buds" represent the accumulation of mucus, pus, or fluid in the acini, which are the functional units of the lung located at the ends of these bronchioles. This pattern typically suggests that something is causing inflammation, infection, or obstruction within the small airways.

Because these opacities are located in the periphery of the lungs, they are easily distinguished from larger airway diseases. Radiologists look for these clusters of small nodules that connect to a branching structure. When you see this term on your report, it indicates that the air spaces are being filled with abnormal material, effectively "plugging" them and creating the characteristic visual pattern.

Common Causes Associated with Tree in Bud Opacities

The differential diagnosis for this radiological finding is quite broad, ranging from common infections to chronic inflammatory conditions. It is essential to understand that this pattern does not point to a single disease but rather to a mechanism of small airway involvement. Below are the primary categories of conditions that often lead to this presentation:

  • Infectious Processes: This is the most common cause. Bacterial, viral, fungal, and mycobacterial infections—most notably tuberculosis—often present with this pattern due to the spread of infectious material through the airways.
  • Inflammatory Airway Diseases: Conditions like bronchiectasis, asthma, and cystic fibrosis frequently involve chronic inflammation that leads to mucus plugging in the distal airways.
  • Aspiration: When foreign substances, such as food particles or gastric acid, are inhaled into the small airways, it can create a localized inflammatory response resembling the tree in bud pattern.
  • Congenital or Developmental Conditions: Certain rare, inherited conditions may cause abnormal airway anatomy that predisposes individuals to mucus buildup.

⚠️ Note: Always consult with a pulmonologist or your primary care physician to interpret these results in the context of your specific medical history, physical symptoms, and laboratory test results.

Diagnostic Approach and Differential Considerations

To differentiate between the various causes of tree in bud opacities, clinicians utilize a combination of clinical assessment and further diagnostic testing. The speed of onset is particularly helpful; an acute presentation (developing over days) often points toward an infection, whereas a chronic presentation (developing over months or years) might suggest bronchiectasis, cystic fibrosis, or chronic airway inflammation.

Category Potential Underlying Causes Typical Clinical Context
Infectious Tuberculosis, Mycobacterial, Fungal, Bacterial pneumonia Fever, cough, night sweats, weight loss
Inflammatory Bronchiectasis, Asthma, Cystic Fibrosis Chronic cough, productive sputum, recurring infections
Aspiration Gastric contents, foreign body inhalation History of swallowing difficulties or impaired consciousness

Clinical Management and Next Steps

Once tree in bud opacities are identified, the management plan is tailored to the suspected underlying cause. For instance, if an infectious etiology is suspected, the physician may order sputum cultures, blood work, or, in some cases, a bronchoscopy to obtain a direct sample of the fluid or material causing the opacities.

If the finding is linked to a chronic condition like bronchiectasis, management may focus on airway clearance techniques, inhaled medications to open the airways, or long-term management of chronic inflammation. The goal of these interventions is to resolve the obstruction, clear the airways, and prevent further lung damage. It is rarely the case that this finding is ignored; the pattern serves as a sentinel that guides the physician toward the necessary diagnostic workup.

It is important to remember that the presence of these opacities does not inherently mean you have a life-threatening illness. Many people present with this pattern due to treatable infections. Early detection allows for prompt treatment, which can help in resolving the underlying inflammation and preventing the potential for long-term respiratory complications.

When Should You Be Concerned?

While an incidental finding of these opacities can be manageable, you should be particularly attentive to symptoms that suggest an active, progressive process. If you notice a persistent cough that produces discolored or blood-tinged sputum, unexplained weight loss, recurring fevers, or increasing shortness of breath during daily activities, it is imperative to seek prompt medical evaluation. These "red flag" symptoms, when combined with the radiological evidence of tree in bud opacities, provide the essential context your doctor needs to rule out conditions like tuberculosis or other chronic lung diseases.

In many cases, follow-up imaging may be scheduled to monitor the progression or resolution of the opacities after a course of treatment. This helps ensure that the chosen therapy is effective and that the lung tissue is healing as expected. Maintaining an open line of communication with your medical team is the most effective way to navigate the diagnostic process.

Summarizing the findings of a lung scan can be a daunting task, but identifying this specific pattern is a significant step toward getting the right answers. By understanding that this sign is a manifestation of small airway involvement, you can better engage with your healthcare team about the underlying causes, whether they are related to infection, inflammation, or other pulmonary challenges. Focus on discussing your symptoms alongside the imaging reports to ensure a comprehensive evaluation, as the most effective path forward depends on treating the source of the issue rather than just the appearance on the scan. With proper diagnostic investigation and tailored therapeutic management, many patients find that these conditions are well-managed or fully resolved, leading to improved lung health and overall well-being.

Related Terms:

  • tree in bud abnormalities
  • tree in bud opacity lung
  • nodular tree in bud opacities
  • tree in bud opacities pictures
  • tree bud nodular densities lungs
  • tree in bud airspace opacities