Torted Appendix Testis

Torted Appendix Testis

Experiencing sudden, intense scrotal pain can be a frightening experience for any individual, particularly for children and adolescents. While many immediately fear the worst—such as testicular torsion—there is another, less dangerous but equally painful condition that frequently mimics these symptoms: torted appendix testis. Understanding what this condition is, how it is diagnosed, and when to seek medical intervention is crucial for parents and patients alike to alleviate anxiety and ensure appropriate care is administered in a timely manner.

Understanding Torted Appendix Testis

Medical concept of scrotal pain

The appendix testis is a small, vestigial remnant of the Müllerian duct, a structure that exists during fetal development. In most cases, this remnant serves no functional purpose in the adult male. When this small tissue stalk twists on its pedicle, it cuts off its own blood supply, leading to ischemia and necrosis. This process is medically termed a torted appendix testis, also known as a torsion of the appendix testis.

Although it is a form of torsion, it is distinctly different from testicular torsion, which is a urological emergency that requires immediate surgical intervention to save the testicle. In contrast, a torted appendix testis is generally a self-limiting, benign condition, though the pain can be severe enough to require professional medical evaluation to rule out more serious issues.

Symptoms and Clinical Presentation

The hallmark symptom of a torted appendix testis is acute or subacute scrotal pain. Unlike the sudden, catastrophic onset often associated with testicular torsion, the pain associated with a torted appendix testis may develop more gradually over several hours or days.

Key clinical features often observed include:

  • Localized tenderness: The pain is usually highly localized to the upper pole of the testicle.
  • The "Blue Dot" Sign: This is a pathognomonic finding, meaning it is a specific sign that points directly to this diagnosis. It appears as a small, firm, blueish-colored nodule visible under the skin at the upper pole of the scrotum.
  • Gradual swelling: The scrotum may become swollen and red, though typically less rapidly than in cases of full testicular torsion.
  • Normal cremasteric reflex: In many cases, the cremasteric reflex (the lifting of the testicle in response to stroking the inner thigh) remains intact, which helps doctors differentiate this from testicular torsion.

Diagnostic Approaches

Because the clinical presentation of a torted appendix testis can mimic testicular torsion so closely, accurate diagnosis is imperative. Healthcare providers rely on a combination of physical examination and imaging studies to confirm the diagnosis and rule out surgical emergencies.

Diagnostic Tool Purpose in Evaluation
Physical Examination Checks for the "blue dot" sign and tenderness localization.
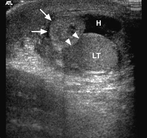
Color Doppler Ultrasound The gold standard imaging test to assess blood flow to the testicle.
Urinalysis Helps rule out epididymitis or other urinary tract infections.

Color Doppler Ultrasound is particularly vital. It allows the radiologist to visualize the blood flow within the affected testicle. If the testicle itself shows normal blood flow but a small, hypoechoic or hyperechoic area is visible at the upper pole, it strongly supports the diagnosis of a torted appendix testis rather than testicular torsion.

⚠️ Note: If you or your child experience sudden, severe, unbearable scrotal pain, do not wait for imaging; seek emergency medical care immediately, as testicular torsion must be ruled out as quickly as possible.

Management and Treatment Options

Once a definitive diagnosis of a torted appendix testis is established and testicular torsion has been firmly ruled out, the management approach is typically conservative. Because the appendix testis is a non-functional structure, its necrosis poses no threat to the viability of the testicle itself.

Standard conservative management includes:

  • Pain Management: Over-the-counter anti-inflammatory drugs (NSAIDs) like ibuprofen or acetaminophen are usually sufficient to manage the discomfort.
  • Rest: Limiting physical activity and wearing supportive underwear can help reduce scrotal discomfort.
  • Observation: The body will naturally reabsorb the necrotic tissue over time, usually resolving symptoms within one to two weeks.

In rare instances, if the pain is unmanageable or the diagnosis remains uncertain despite imaging, a urologist may recommend a minor surgical procedure to remove the torted appendix. This procedure, known as a scrotal exploration, is usually very quick and allows for immediate relief of symptoms.

When to Seek Urgent Care

While the condition itself is not life-threatening or harmful to fertility, the similarity to testicular torsion warrants caution. It is always better to be evaluated and sent home than to miss a true surgical emergency. Seek immediate emergency care if you notice:

  • Severe, agonizing pain that causes nausea or vomiting.
  • Pain that starts suddenly and peaks in intensity within minutes.
  • The testicle appears to be sitting higher than usual or is at an abnormal angle.
  • High fever accompanied by severe scrotal pain.

Recognizing the symptoms of a torted appendix testis is an important step in managing scrotal pain effectively. By understanding that this condition, while painful, is fundamentally different from the surgical emergency of testicular torsion, patients and parents can better navigate the diagnostic process. While the “blue dot” sign is a helpful indicator, clinical diagnosis remains the priority to ensure the well-being of the testicle. With rest, appropriate pain relief, and proper medical oversight, most individuals recover fully from this condition without any long-term consequences, allowing them to return to their normal activities quickly as the necrotic tissue is naturally resolved by the body.

Related Terms:

  • Torsed Appendix Testis Ultrasound
  • Appendix Testis
  • Testicular Appendix
  • Torsion of the Appendix Testis
  • Appendix Epididymis
  • Epididymal Appendix Ultrasound