Tooth Stained Brown

Tooth Stained Brown

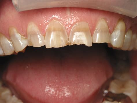
Discovering that you have a tooth stained brown can be an alarming experience, often leading to self-consciousness and concerns about your oral health. While it is natural to want a bright, white smile, understanding the root cause of these discolorations is the first step toward effective treatment. Brown stains can appear on the surface of the teeth, or they can be deep-seated within the enamel itself. Because these stains can be caused by everything from your morning coffee habit to underlying dental decay, it is essential to distinguish between superficial staining and issues that require professional intervention.

Common Causes of Brown Tooth Stains

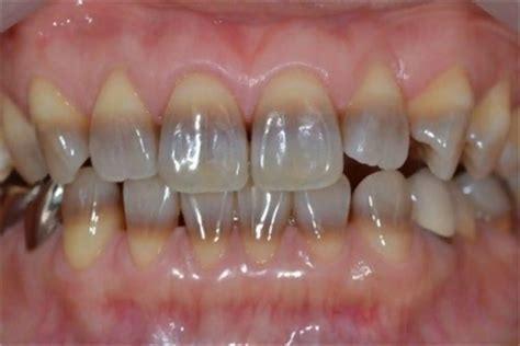
Close up of teeth

When you notice a tooth stained brown, the culprit is usually related to lifestyle choices, dietary habits, or, in some cases, genetic and environmental factors. Identifying the cause helps in determining whether you can manage the issue at home or if you need to visit a dentist immediately.

  • Dietary Choices: Frequent consumption of coffee, black tea, red wine, and dark-colored sodas is a leading cause of staining. These beverages contain chromogens—intense color pigments that attach to the white, outer part of your tooth, known as enamel.
  • Tobacco Use: Smoking or chewing tobacco contains nicotine and tar, both of which are notoriously difficult to remove from tooth enamel and often result in stubborn brown or yellow stains.
  • Poor Oral Hygiene: When plaque and tartar are allowed to build up on the teeth, they create a rough surface that attracts more stains. If left unbrushed, these deposits can harden into brown tartar, especially along the gum line.
  • Dental Decay: A brown spot that feels soft or appears in a pit or fissure of the tooth may indicate dental caries. Decay often starts as a small brown or black spot that expands if left untreated.
  • Fluorosis: Excessive fluoride intake during childhood development can lead to dental fluorosis, which may manifest as brown spots or mottled enamel.
  • Medications: Certain antibiotics, like tetracycline, taken during tooth development can cause permanent intrinsic staining that presents as brown or grey bands.

Distinguishing Between Extrinsic and Intrinsic Stains

Understanding the nature of the stain is crucial for successful removal. Dental professionals generally categorize stains into two main types:

Stain Type Location Primary Causes Treatment
Extrinsic Surface of the enamel Food, drink, tobacco, tartar Professional cleaning, whitening
Intrinsic Deep inside the tooth Medication, trauma, aging, fluorosis Veneers, bonding, internal bleaching

💡 Note: If a brown stain appears suddenly, feels rough to the tongue, or is accompanied by pain or sensitivity, schedule an appointment with your dentist immediately, as these are often signs of active decay.

How to Prevent Future Brown Staining

While some intrinsic stains are unavoidable due to genetics or medical history, many extrinsic stains can be prevented through consistent care and lifestyle adjustments. Maintaining a bright smile is more about daily maintenance than occasional intensive treatments.

  • Practice Diligent Oral Hygiene: Brush your teeth at least twice a day using a fluoride toothpaste and floss daily to remove plaque before it hardens into tartar.
  • Limit Stain-Causing Foods: If you consume coffee, tea, or wine, try to rinse your mouth with water immediately afterward. Using a straw can also help minimize contact between these drinks and your front teeth.
  • Quit Tobacco Products: Stopping smoking or using chewing tobacco is the single most effective way to prevent tobacco-related staining and improve your overall oral health.
  • Professional Cleanings: Visit your dentist every six months for a professional cleaning. A dental hygienist can remove tartar that brushing and flossing cannot, preventing the development of permanent brown stains.

Professional Treatment Options

If you are struggling with a tooth stained brown that won’t go away with over-the-counter products, it is time to seek professional advice. Depending on the diagnosis, your dentist may recommend several options:

  1. Professional Teeth Whitening: Dentist-dispensed kits or in-office treatments use higher concentrations of whitening agents than store-bought options, making them more effective at breaking down stubborn surface stains.
  2. Dental Bonding: For smaller brown spots or areas of localized enamel damage, a tooth-colored resin material can be applied and hardened to cover the stain, effectively masking it.
  3. Porcelain Veneers: If you have severe, widespread intrinsic staining that does not respond to whitening, veneers provide a permanent solution by bonding a thin, custom-made shell to the front surface of the tooth.
  4. Fillings or Crowns: If the brown stain is confirmed to be the result of a cavity, your dentist will remove the decayed portion of the tooth and restore it with a composite filling or a protective crown.

💡 Note: Over-the-counter whitening strips and toothpastes can be abrasive. If used incorrectly, they may wear down your enamel over time, making your teeth more sensitive and prone to future staining.

Addressing a tooth stained brown is a journey that starts with identifying the root cause and implementing a consistent care routine. Whether your discoloration is caused by your daily cup of coffee or an underlying dental issue like decay, professional evaluation is the safest and most effective way to restore your smile. By focusing on proper oral hygiene, making thoughtful dietary choices, and seeking timely professional treatment, you can effectively manage stains and maintain a healthy, confident smile for years to come. Do not hesitate to contact your dental provider to determine the best path forward for your specific situation.

Related Terms:

  • brown stains in between teeth
  • how to fix brown teeth
  • how to remove brown stains
  • remove brown spots on teeth
  • dark brown spot on tooth
  • dark brown inside of tooth