Tongue Tie Baby

Tongue Tie Baby

Navigating the early stages of parenthood can be overwhelming, especially when your little one struggles with feeding. If you have noticed that your newborn is having difficulty latching, seems frustrated during nursing, or is not gaining weight as expected, you might be dealing with a tongue tie baby. Ankyloglossia, commonly known as a tongue tie, is a relatively common condition where the thin piece of tissue—the lingual frenulum—that connects the tongue to the floor of the mouth is shorter or tighter than normal. This restriction can limit the range of motion of the tongue, making it challenging for an infant to breastfeed or bottle-feed effectively.

Recognizing the Signs of Tongue Tie in Infants

A mother holding her newborn baby close

Identifying a tongue tie baby early can significantly improve the feeding experience for both mother and child. Because every infant is different, the symptoms can vary in severity. It is helpful to look for a combination of cues rather than relying on one specific behavior.

Common symptoms that parents and lactation consultants often observe include:

  • Difficulty maintaining a deep latch: The baby may constantly slip off the breast or nipple.
  • Clicking sounds during feeding: This often indicates that the baby is breaking suction frequently.
  • Prolonged feeding sessions: An infant may tire easily because they are working much harder to extract milk.
  • Excessive gas or reflux: Poor latching often leads to the infant swallowing too much air.
  • Poor weight gain: If the transfer of milk is inefficient, the baby may struggle to meet expected growth milestones.
  • Maternal pain: Breastfeeding should not be painful; soreness, cracked nipples, or flattened nipples after feeding are major red flags.

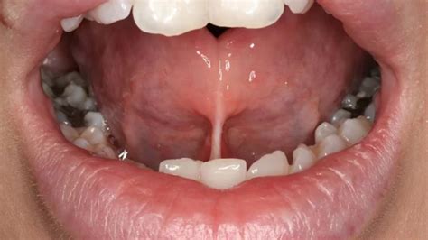
Understanding the Different Types of Tongue Ties

Not all tongue ties are visible at the tip of the tongue. Healthcare providers often classify them based on where the frenulum attaches to the tongue and the floor of the mouth. Understanding these classifications can help you have a more informed conversation with your pediatrician or a pediatric dentist.

Classification Description
Type 1 Anterior tie: Attaches to the very tip of the tongue. Often the most visible.
Type 2 Anterior tie: Attaches just behind the tip.
Type 3 Posterior tie: Mid-tongue attachment, often hidden by a thin mucous membrane.
Type 4 Posterior tie: Thick, tight attachment at the very base of the tongue.

💡 Note: A posterior tongue tie can be more difficult to diagnose visually, as the restriction is deeper under the tongue, but it can cause just as much frustration for a breastfeeding infant as an anterior tie.

Diagnostic Process and Professional Support

If you suspect your child is a tongue tie baby, the first step is to seek a professional assessment. Relying on "wait and see" approaches can sometimes lead to unnecessary stress or a decline in milk supply if breastfeeding is hindered.

Experts you may want to consult include:

  • International Board Certified Lactation Consultants (IBCLC): They are experts in observing the mechanics of a baby's latch and feeding patterns.
  • Pediatric Dentists or ENT Specialists: These professionals are experienced in performing a frenotomy, a minor procedure to release the tongue tie.
  • Pediatricians: Your primary doctor can provide a general assessment, though they may refer you to a specialist for a more detailed evaluation.

The Role of Bodywork and Stretching Exercises

In many cases, even after a medical release, the baby may benefit from additional support to regain proper tongue function. Because a tongue tie baby has been using their muscles in a compensatory way for weeks or months, the tongue may be tense or have limited mobility patterns.

Following a procedure, professionals often suggest the following to help:

  • Oral motor exercises: Gentle movements to help the tongue lift and extend properly.
  • Craniosacral therapy or pediatric massage: These can help release tension in the jaw, neck, and shoulders that often accompanies oral ties.
  • Frequent skin-to-skin contact: This promotes relaxation and helps the baby reorganize their suck-swallow-breathe rhythm.

💡 Note: Always perform aftercare stretches or exercises exactly as prescribed by your child’s healthcare provider to ensure the tissue heals correctly and does not reattach.

Long-term Considerations for Your Growing Baby

While the immediate focus is usually on feeding, the impact of a tongue tie baby can extend beyond infancy. A restricted tongue can sometimes affect speech development as the child grows, as proper tongue elevation is required for articulating certain sounds. Additionally, it may influence how a child chews their food or even how they breathe during sleep. Early intervention is generally recommended to prevent these compensatory habits from becoming deeply ingrained as the child matures.

When monitoring your child's development, keep an eye on speech milestones and their ability to move their tongue side-to-side. If you notice persistent issues as they start solid foods, such as gagging or difficulty moving food around their mouth, it is worth scheduling a follow-up appointment with a specialist to determine if residual tension or restriction is the cause.

Ultimately, addressing a tongue tie is a proactive step toward ensuring your baby has the best start in life. Whether you are dealing with breastfeeding challenges or are concerned about future developmental milestones, recognizing the symptoms early is key. By working closely with an experienced team of healthcare providers, you can create a comprehensive plan that includes both appropriate interventions and supportive bodywork. Remember that your intuition as a parent is an invaluable tool—if something feels like it isn’t quite right with your baby’s comfort or nutrition, continue seeking answers until you find the support you need. Providing a functional environment for your baby to eat, sleep, and eventually speak with ease is a journey, and with the right resources, you can navigate these challenges with confidence and help your child thrive.

Related Terms:

  • tongue tie baby treatment
  • tongue tie baby symptoms
  • tongue tie and breastfeeding
  • tongue tie baby feeding
  • tongue tie baby images
  • tongue tie meaning