Tibial Tuberosity Avulsion

Tibial Tuberosity Avulsion

A Tibial Tuberosity Avulsion is a serious, albeit relatively uncommon, knee injury that primarily affects young, active individuals. It occurs when the patellar tendon, which attaches the kneecap to the shinbone (tibia), pulls a piece of bone away from the tibial tuberosity—the bony prominence just below the knee joint. This injury typically happens during explosive physical activities, such as jumping, sprinting, or landing awkwardly, where the quadriceps muscle contracts forcefully, overpowering the structural integrity of the developing bone in adolescents.

Understanding the Causes and Risk Factors

Person holding knee due to injury

The primary mechanism behind a Tibial Tuberosity Avulsion involves a sudden, violent contraction of the quadriceps muscle. Because the skeletal structure of adolescents is still maturing, the connection between the patellar tendon and the tibia is the weakest link in the kinetic chain. When the force applied by the quadriceps exceeds the bone’s strength, an avulsion fracture occurs.

Several factors increase the risk of developing this condition:

  • Age: It is most prevalent in boys during their rapid growth spurt years (usually between 13 and 16 years old).
  • Sports Participation: Athletes involved in sports requiring repetitive jumping, such as basketball, volleyball, and soccer, are at higher risk.
  • Bone Development: Adolescents whose growth plates have not fully closed are more susceptible to these types of fractures.
  • Previous Injuries: Prior bouts of Osgood-Schlatter disease may create a vulnerable spot in the tibial tuberosity, potentially increasing the risk of an avulsion.

Recognizing Symptoms and Diagnostic Approaches

Immediate recognition of symptoms is crucial for effective treatment. Patients suffering from a Tibial Tuberosity Avulsion usually experience instantaneous, severe pain directly below the kneecap. The injury is often accompanied by a distinct "popping" sound or sensation at the time of impact.

Common clinical signs include:

  • Swelling and Bruising: Significant inflammation around the front of the knee.
  • Inability to Extend the Knee: The patient will likely struggle or be unable to straighten their leg or perform a straight-leg raise.
  • Deformity: A visible or palpable gap or bump may be present at the site of the injury.
  • Tenderness: Extreme pain upon direct pressure to the area below the kneecap.

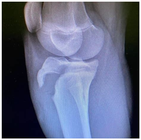
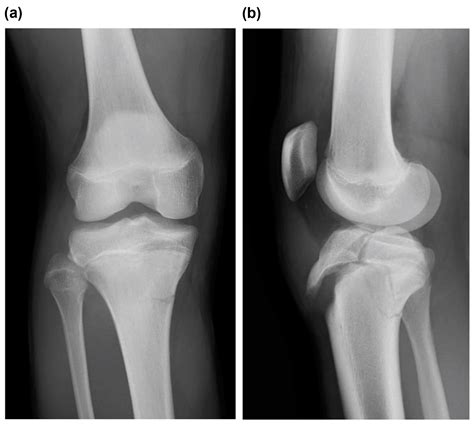
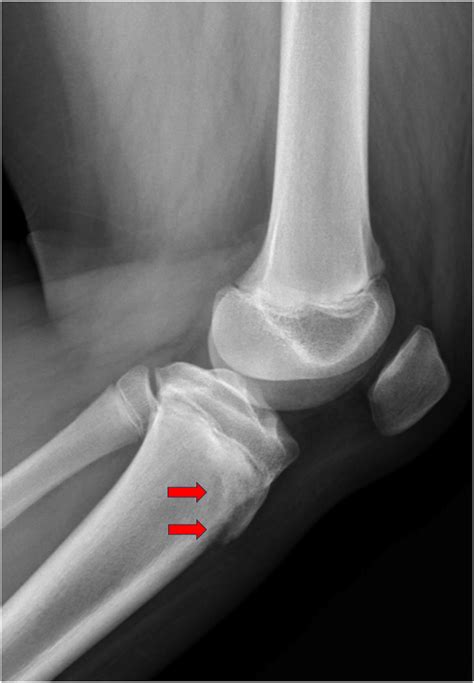
To confirm the diagnosis, medical professionals typically utilize imaging studies. X-rays are the gold standard for visualizing the displaced bone fragment and determining the severity of the fracture. In more complex or comminuted cases, an MRI may be ordered to assess the condition of the surrounding soft tissues, including the patellar tendon and menisci.

Classification of Injury Severity

Orthopedic surgeons often categorize these injuries based on the Ogden classification system, which helps guide treatment decisions. This classification ranges from simple, non-displaced fractures to complex injuries that extend into the knee joint.

Type Severity Description Typical Treatment
Type I Small fracture at the distal part of the tuberosity. Conservative (casting)
Type II Fracture extends through the secondary ossification center. Surgery often required
Type III Fracture extends into the articular surface of the knee. Surgical intervention

⚠️ Note: Always consult with an orthopedic specialist if you suspect an avulsion fracture, as internal fixation is often necessary to prevent permanent knee dysfunction.

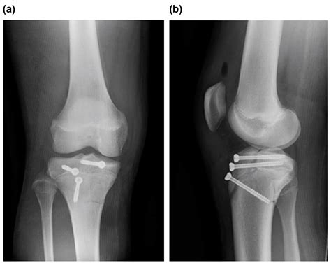
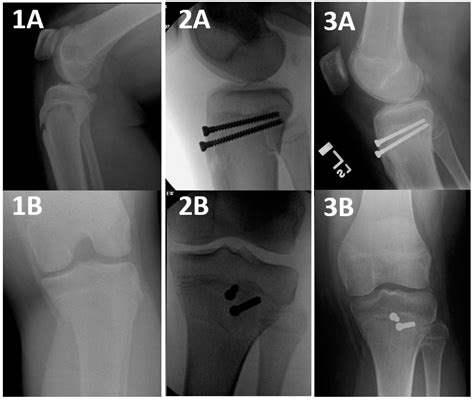
Treatment Options and Surgical Intervention

Treatment for a Tibial Tuberosity Avulsion depends heavily on the displacement of the bone fragment. For minor fractures where the bone has not moved significantly, immobilization in a long leg cast or brace for several weeks may be sufficient. During this time, the goal is to allow the bone to heal in its natural position.

However, if the fragment is displaced or if the knee joint is compromised, surgical intervention is mandatory. The surgical procedure typically involves:

  • Open Reduction Internal Fixation (ORIF): The surgeon makes an incision to visualize the bone fragment.
  • Hardware Placement: The loose piece of bone is secured back to the main tibia using screws, wires, or specialized anchors.
  • Tendon Repair: If the patellar tendon is damaged during the avulsion, it is repaired and reinforced during the procedure.

Following surgery, a structured rehabilitation program is essential. Initially, the focus is on protecting the repair, followed by gradual range-of-motion exercises and eventually, progressive strengthening of the quadriceps and hamstring muscles to restore full function.

💡 Note: Adhering to the physical therapist's protocol is vital to avoid re-injury or hardware failure during the early stages of recovery.

Rehabilitation and Returning to Sports

Recovery time varies depending on the severity of the injury and the success of the surgical fixation. Generally, patients can expect a recovery period lasting between four to six months. Returning to high-impact sports requires passing specific clinical milestones, including pain-free weight bearing, near-full range of motion, and symmetric quadriceps strength compared to the unaffected leg.

Rehab stages typically involve:

  1. Protection Phase: Immobilization and preventing stress on the healing bone.
  2. Early Motion: Gentle, supervised bending of the knee to prevent stiffness.
  3. Strengthening Phase: Isometric exercises transitioning into isotonic resistance training.
  4. Functional Training: Agility drills, plyometrics, and sport-specific movements before full clearance.

Long-term prognosis is generally excellent for patients who receive prompt and appropriate treatment. Most young athletes are able to return to their pre-injury level of activity without significant residual pain or instability, provided they complete the full course of rehabilitation and maintain proper conditioning to support the knee joint.

A Tibial Tuberosity Avulsion is a challenging injury that requires immediate medical attention, particularly in adolescent athletes. By understanding the causes—ranging from sudden muscular contraction to skeletal immaturity—and recognizing the hallmark symptoms like an inability to extend the leg, families and coaches can act quickly to seek professional orthopedic evaluation. Whether the treatment involves non-surgical immobilization or surgical fixation with hardware, the path to recovery relies on patience, consistent physical therapy, and a structured, safe return-to-sport protocol. With proper clinical guidance and adherence to rehabilitation, the vast majority of patients successfully regain full function and return to their active lifestyles, ensuring the knee remains strong and resilient for the future.

Related Terms:

  • orthobullets osgood schlatter
  • fragmentation of tibial tuberosity
  • pediatric tibial tubercle fracture
  • tibial tuberosity fracture radiology
  • tibial tuberosity pain in adults
  • tibial tuberosity avulsion treatment