Teratoma Cancer Pictures

Teratoma Cancer Pictures

When patients or their families receive a diagnosis involving a complex growth, they often turn to the internet to better understand their condition. Searching for Teratoma Cancer Pictures is a common, albeit often overwhelming, reaction for those seeking visual confirmation or educational context regarding these unique tumors. Teratomas are fascinating yet complex medical phenomena, characterized by their ability to contain tissues from all three germ layers—ectoderm, mesoderm, and endoderm. Understanding what these growths look like and how they behave is essential for demystifying a diagnosis and preparing for the clinical path ahead.

Understanding Teratomas: What Are They?

Illustration of teratoma tissue composition

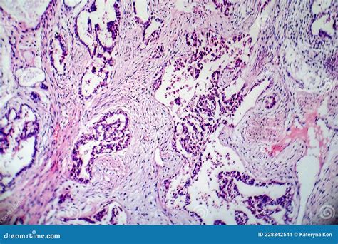
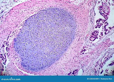
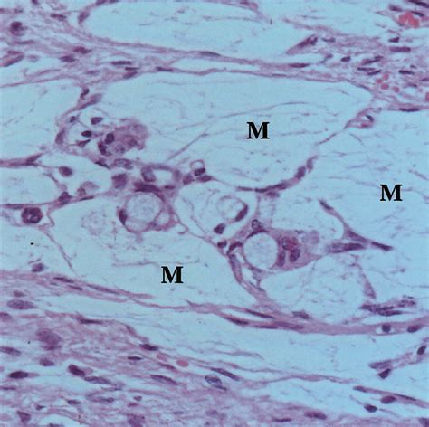
A teratoma is a type of germ cell tumor that can be either benign (mature) or malignant (immature/cancerous). Unlike typical tumors that consist of only one cell type, teratomas are defined by their heterogeneous nature. They can contain fully developed tissues such as hair, teeth, bone, and even thyroid tissue. Because of this biological complexity, clinicians and pathologists rely on advanced imaging and biopsy procedures to distinguish between benign cystic teratomas and malignant transformations.

When medical professionals analyze Teratoma Cancer Pictures from pathology reports, they are looking for specific markers that indicate malignancy. These markers help determine the tumor's "grade," which informs the intensity of the required treatment plan.

Common Locations and Clinical Presentations

Teratomas can arise in various parts of the body, though they most frequently appear in the gonads (ovaries or testes). Outside of these areas, they can occur in the sacrococcygeal region, the mediastinum, or the retroperitoneum. The clinical presentation varies significantly depending on the site:

  • Ovarian Teratomas: Often discovered incidentally during pelvic exams or imaging for abdominal pain.
  • Sacrococcygeal Teratomas: Commonly diagnosed in newborns, these are often visible as large masses at the base of the spine.
  • Mediastinal Teratomas: These may cause respiratory issues or chest discomfort as they grow and compress surrounding structures.

⚠️ Note: It is crucial to remember that online images of tumors can be distressing. These images are intended for educational purposes and should not be used for self-diagnosis or to replace the expertise of a medical professional.

Differentiating Mature vs. Immature Teratomas

The distinction between mature and immature teratomas is the most critical factor in prognosis. Mature teratomas are usually well-differentiated and benign, whereas immature teratomas contain embryonic-like tissue that can behave aggressively. Pathologists utilize a grading system to assess the risk of malignancy.

Feature Mature Teratoma Immature Teratoma
Tissue Type Differentiated (Hair, Teeth) Embryonic/Primitive
Growth Speed Slow Rapid/Aggressive
Risk of Malignancy Low (mostly benign) High

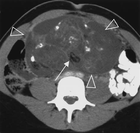
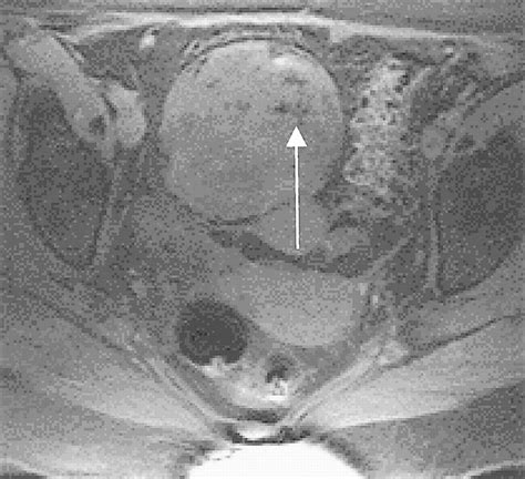
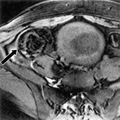
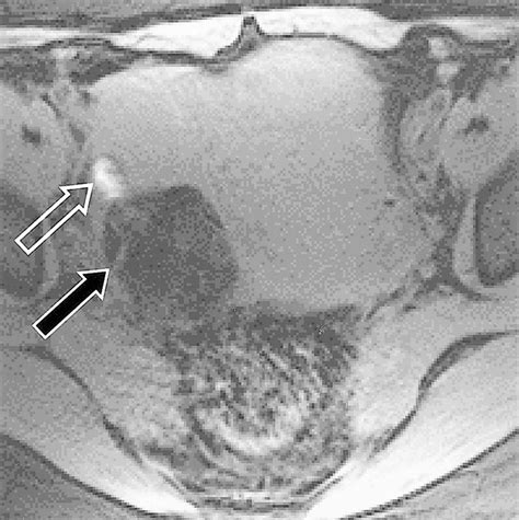
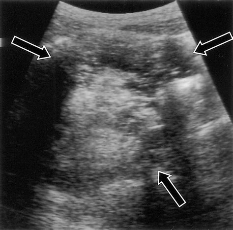
The Role of Diagnostic Imaging

When doctors request scans, they are looking for specific visual identifiers. Imaging techniques such as CT scans, MRIs, and ultrasounds are standard. In these images, a teratoma often appears as a complex mass with both cystic (fluid-filled) and solid components. The presence of fat, calcifications (which look like bone or teeth on an X-ray), and soft tissue elements are hallmark signs that radiologists use to identify the growth.

While looking for Teratoma Cancer Pictures online, patients may see varying representations, but it is important to note that internal clinical imaging (like an MRI) looks significantly different from external surgical photography. Radiology provides the map for surgical intervention, helping surgeons understand the proximity of the tumor to vital organs.

Treatment Strategies and Management

The management of teratomas is highly individualized. In most cases, surgical excision is the primary treatment. The goal is to remove the tumor entirely without damaging the surrounding healthy tissue. For benign cases, surgery is often curative. However, when the pathology indicates malignancy, a multi-modal approach is typically required.

  • Surgical Resection: The gold standard for removing the tumor mass.
  • Chemotherapy: Often utilized if the teratoma is classified as malignant or shows signs of recurrence.
  • Regular Monitoring: Post-surgical surveillance via blood tests (tumor markers) and periodic scans is necessary to ensure no regrowth occurs.

💡 Note: Always discuss your pathology reports with an oncologist. They can explain the specific grade of your diagnosis, which is far more accurate than any general information found online.

Facing a diagnosis that involves complex surgical procedures or cancer treatments is a significant emotional journey. It is completely normal to search for information, but setting boundaries with your research is key to maintaining your mental well-being. Focusing on your specific case with your care team will be much more productive than attempting to match your symptoms to generic medical images found on the internet.

Seeking support from patient advocacy groups or counseling services can provide a safe space to discuss the anxieties associated with tumor diagnoses. Remember that advancements in surgical oncology and personalized medicine have significantly improved the outcomes for patients with both benign and malignant teratomas over the past decade.

Ultimately, the visual representation of a teratoma is only one small part of a larger clinical picture. While images serve as a useful tool for surgeons and pathologists to identify the nature of the growth, they do not dictate the entirety of a patient’s story or recovery. Through effective communication with healthcare providers, timely surgical intervention, and robust post-treatment monitoring, many patients achieve full recovery. Relying on professional medical guidance rather than broad internet searches will ensure you remain focused on the most accurate information relevant to your personal health situation, ultimately leading to the best possible care outcomes.

Related Terms:

  • teratoma images with teeth
  • teratoma tumor with eyes
  • tumor that can grow teeth
  • teratoma with eyes and teeth
  • mature cystic teratoma
  • mature vs immature teratoma radiology