Tartar On Teeth

Tartar On Teeth

Have you ever noticed a rough, yellow, or brownish substance building up along your gumline that simply won't brush away? You are likely dealing with tartar on teeth, a common dental issue that affects almost everyone at some point. While many people mistake it for stubborn plaque, there is a distinct difference between the two. Understanding what tartar is, how it forms, and how it impacts your oral health is essential for maintaining a bright, healthy smile and preventing more severe dental complications down the road.

What is Tartar on Teeth?

To put it simply, tartar on teeth—medically known as calculus—is hardened plaque. Plaque is a sticky, invisible film of bacteria that constantly forms on your teeth. When you eat sugary or starchy foods, the bacteria in this film produce acids that attack your tooth enamel. If plaque is not removed through daily brushing and flossing, it mineralizes and hardens into tartar.

Unlike plaque, which is soft and easily removable, tartar is firmly bonded to the enamel and often requires professional dental tools to be scraped off. Because it is porous, it creates a surface that makes it easier for plaque to accumulate, leading to a cycle of buildup that can significantly damage your gums and teeth.

How to Identify Tartar Buildup

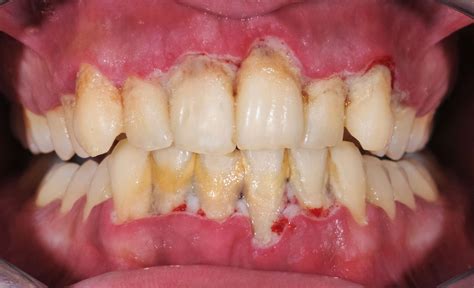
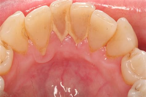
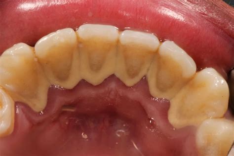
Recognizing tartar early is key to preventing long-term damage. While it is most commonly found behind the lower front teeth or on the outer surfaces of the upper molars (where saliva glands are located), it can appear anywhere in the mouth.

  • Visual Indicators: Look for yellow or brown discoloration on the teeth near the gumline.
  • Texture: Use your tongue to feel for rough or bumpy surfaces on the teeth.
  • Gum Health: If your gums look red, swollen, or bleed easily when you brush, it is often a sign of irritation caused by nearby tartar.

⚠️ Note: Once plaque has hardened into tartar, it cannot be removed with a toothbrush or dental floss. Any attempts to scrape it off at home using sharp tools can damage your enamel and cause injury to your gums.

The Progression of Dental Issues

The danger of leaving tartar on teeth untreated goes beyond simple aesthetics. As tartar accumulates, it provides a safe haven for bacteria, which can lead to a progressive decline in oral health.

Stage Condition Impact
Stage 1 Gingivitis Early gum inflammation, redness, and minor bleeding.
Stage 2 Periodontitis Gum recession and potential bone loss around the teeth.
Stage 3 Tooth Loss Advanced decay or structural failure causing loose teeth.

Preventing Tartar Accumulation

While you cannot remove established tartar at home, you can certainly take proactive steps to prevent new tartar from forming. The goal is to stop plaque from mineralizing in the first place.

  • Brushing Technique: Use a soft-bristled toothbrush and fluoride toothpaste. Ensure you brush for at least two minutes, twice a day, focusing on the gumline.
  • Flossing Daily: Dental floss reaches the spaces between teeth where a toothbrush cannot, effectively removing plaque before it can harden.
  • Dietary Adjustments: Reduce the intake of sugary and starchy foods, which serve as fuel for bacteria to create plaque.
  • Use Tartar-Control Toothpaste: Look for products containing pyrophosphates, which help prevent the mineralization of plaque.

💡 Note: Electric toothbrushes are often more effective than manual ones at removing plaque, which significantly lowers the rate of tartar formation over time.

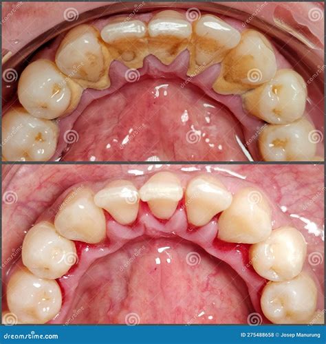
The Importance of Professional Cleaning

Because tartar is mineralized, the only safe way to remove it is through a process called scaling, performed by a dentist or dental hygienist. During a professional cleaning, they use specialized ultrasonic tools or hand scalers to carefully remove the calculus from your teeth and below the gumline without damaging the underlying tooth structure.

Regular dental checkups, ideally every six months, are crucial. Your dentist can identify hidden tartar buildup and intervene before it leads to serious conditions like periodontitis. If you have a high predisposition to tartar due to genetics or saliva composition, your dentist may recommend more frequent cleanings to keep your oral hygiene in check.

Maintaining Long-Term Oral Hygiene

Consistency is the secret to a healthy mouth. Establishing a routine that combines rigorous home care with professional intervention ensures that you minimize the presence of tartar on teeth. By paying attention to the areas where saliva pools, being diligent with flossing, and addressing gum sensitivity immediately, you can avoid the pain and expense of advanced dental treatments. Remember that your oral health is directly linked to your overall well-being; by keeping your teeth free from hardened plaque, you are investing in a healthier future for your entire body.

Related Terms:

  • tartar on teeth causes
  • black tartar on teeth
  • tartar on teeth removal
  • what dissolves tartar on teeth
  • calculus on teeth
  • Related searches tartar removal