Submucous Cleft Palate

Submucous Cleft Palate

A submucous cleft palate is a structural condition that occurs during fetal development, where the tissues of the roof of the mouth do not fuse correctly, despite the overlying mucous membrane remaining intact. Unlike an overt cleft palate, which is visible at birth as an opening in the palate, this condition is often hidden beneath the surface. Because the defect is covered by the lining of the mouth, it frequently goes undiagnosed during routine newborn examinations. Understanding the subtle indicators, potential complications, and management strategies is essential for parents and caregivers to ensure that children reach their full developmental potential, particularly regarding speech and hearing.

What is a Submucous Cleft Palate?

To understand this condition, one must look at the anatomy of the soft palate. The soft palate acts as a valve, closing off the nose from the mouth during speech and swallowing. In a submucous cleft palate, the muscles that should meet in the center of the soft palate fail to join. While the skin (mucous membrane) covers this gap, the muscle layer is separated, leading to a condition known as velopharyngeal insufficiency (VPI). Because the muscle isn't properly connected, it cannot function as a cohesive unit, which can impact the clarity of speech.

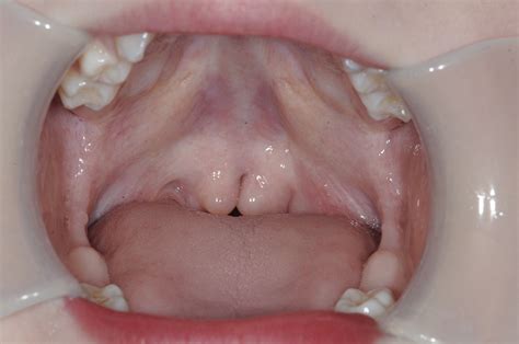
The condition is typically characterized by a triad of features often referred to by clinicians as the "classic triad":

  • Bifid uvula: The uvula (the small piece of tissue hanging in the back of the throat) appears split or notched.
  • Zona pellucida: A thin, bluish, or translucent area in the middle of the soft palate where the muscle is missing.
  • Palpable notch: A small indentation or "V" shape can be felt at the junction between the hard and soft palates.

Common Symptoms and Indicators

Many individuals with a submucous cleft palate never require treatment if the defect is mild. However, for others, the structural weakness can lead to significant functional challenges. The most common indicators that a child may have an underlying palate issue include:

  • Hypernasal speech: The child sounds as if they are talking through their nose, especially on non-nasal consonants.
  • Nasal regurgitation: Fluids or food coming out of the nose while drinking or eating.
  • Chronic ear infections: Poor function of the palate muscles can interfere with the Eustachian tubes, leading to recurrent fluid buildup in the middle ear.
  • Articulation errors: Difficulty producing specific sounds like "p," "b," "t," or "s" because the child cannot build enough oral air pressure.

Clinical Comparison: Overt vs. Submucous Clefts

It is important to differentiate between an overt cleft and a submucous one to understand why diagnosis is often delayed. The table below highlights the key differences between these two conditions.

Feature Overt Cleft Palate Submucous Cleft Palate
Visibility Visible at birth Hidden; often diagnosed later
Tissue Complete separation of all layers Mucosa remains intact
Diagnosis Immediate upon physical exam Often identified via speech pathology
Primary Concern Feeding and airway Speech and hearing health

Diagnosis and Evaluation

If you suspect your child has a submucous cleft palate, the first step is a thorough evaluation by a specialist team, typically consisting of a pediatrician, a speech-language pathologist (SLP), and a cleft palate surgeon. The diagnostic process often involves:

  1. Physical Examination: A manual check of the palate to feel for the characteristic notch at the hard palate border.
  2. Speech Assessment: A professional analysis of how the child produces speech sounds and whether there is audible nasal air emission.
  3. Nasopharyngoscopy: A tiny, flexible scope is passed through the nose to visualize the movement of the soft palate during speech.
  4. Videofluoroscopy: An X-ray study that captures a moving image of the palate while the child speaks.

⚠️ Note: Always seek a formal evaluation from a craniofacial team if your child exhibits persistent hypernasal speech or chronic ear problems, as early intervention can significantly improve long-term outcomes.

Treatment and Management Strategies

Treatment is not always necessary for everyone with a submucous cleft palate. Management is dictated primarily by the functional impact the condition has on the child's life. If the child’s speech is clear and they have no issues with feeding or ear health, they may simply be monitored by a speech-language pathologist.

When functional issues such as severe VPI or chronic middle ear infections are present, surgical intervention or prosthetic support may be recommended. Surgical options, such as a palatoplasty or pharyngeal flap, aim to physically lengthen or reposition the palate muscles to improve the seal between the throat and the nose. In some cases, speech therapy is used in conjunction with surgery to help the child learn how to correctly use the newly functioning palate muscles.

Living with the Condition

For children diagnosed with this condition, consistency in monitoring is key. Because ear health is frequently affected by the mechanics of the palate, routine audiology screenings are recommended. Many children will also require a period of intensive speech therapy to address compensatory articulation patterns they may have developed to cope with the lack of oral air pressure. With modern surgical techniques and dedicated speech therapy, most children lead completely normal, healthy lives without lasting functional impairments.

Maintaining open communication with teachers and coaches is also helpful, as they can alert parents if they notice changes in the child's speech patterns or auditory performance. By staying proactive, caregivers can ensure that any minor issues are addressed before they become significant barriers to communication or social development. The journey from diagnosis to resolution is often manageable, provided the family remains engaged with a multidisciplinary support team that understands the nuances of palatal development.

Managing the complexities of a submucous cleft palate requires a balanced approach focused on early detection and targeted intervention. While the hidden nature of the condition can make it challenging to identify, observant parents and dedicated specialists can identify the signs early, such as hypernasal speech or persistent ear fluid. Through a combination of regular speech therapy, potential surgical correction, and consistent monitoring, most children are able to overcome the structural challenges posed by this condition. Ultimately, providing the right support at the right time ensures that children with this condition can thrive and communicate with confidence, achieving positive outcomes that allow them to integrate seamlessly into all aspects of their daily lives.

Related Terms:

  • submucous cleft palate symptoms
  • bifid uvula submucous cleft palate
  • submucous cleft palate neonate
  • submucous cleft palate speech characteristics
  • submucosal cleft
  • submucous cleft palate radiology