Subarachnoid Hemorrhage Ct

Subarachnoid Hemorrhage Ct

A Subarachnoid Hemorrhage (SAH) is a life-threatening medical emergency characterized by bleeding into the subarachnoid space—the area between the brain and the thin tissues covering it. When a patient presents to the emergency department with a sudden, severe headache, often described as a "thunderclap" headache, clinicians must act with extreme speed. The gold standard for initial diagnosis in this critical scenario is a Subarachnoid Hemorrhage CT scan. Because time is brain tissue, the ability to rapidly identify blood in the cerebrospinal fluid via imaging can mean the difference between a full recovery and permanent neurological impairment or death.

Understanding Subarachnoid Hemorrhage and the Need for Imaging

A subarachnoid hemorrhage is most commonly caused by the rupture of an intracranial aneurysm, although it can also result from trauma or arteriovenous malformations. Because the symptoms—such as intense headache, nausea, vomiting, and altered consciousness—mimic other less severe conditions, diagnostic imaging is non-negotiable. A non-contrast Subarachnoid Hemorrhage CT is the primary diagnostic tool because it is fast, widely available, and highly sensitive, especially within the first six to twelve hours after the onset of symptoms.

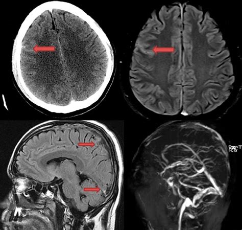
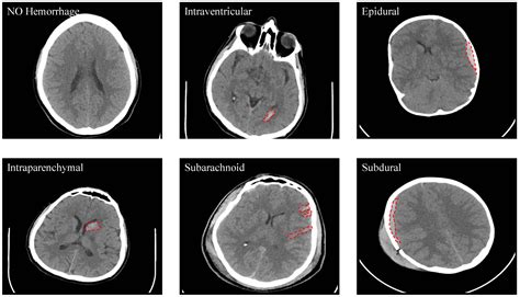
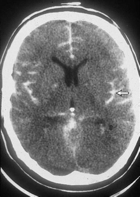
When blood leaks into the subarachnoid space, it appears as a bright, high-density (white) area on the scan, contrasting sharply with the darker, fluid-filled ventricles and brain tissue. The sensitivity of the scan is paramount; modern multidetector scanners are capable of detecting even very small amounts of subarachnoid blood. However, as time passes from the initial hemorrhage, the sensitivity of the scan decreases as the blood begins to dilute or break down.

The Diagnostic Protocol: What to Expect

When a patient arrives at the hospital, the medical team initiates a specific pathway. The primary objective is to rule out life-threatening intracranial pathology. The following steps are typically involved in the diagnostic process:

  • Clinical Assessment: Evaluation of neurological status and the nature of the headache.
  • Non-Contrast CT Scan: The immediate Subarachnoid Hemorrhage CT performed without the use of intravenous contrast dye.
  • Interpretation by Radiologist: Careful examination for hyperdense areas in the sulci, cisterns, or fissures of the brain.
  • Follow-up Diagnostic Procedures: If the CT is negative but clinical suspicion remains high, a lumbar puncture (spinal tap) may be performed to check for bilirubin or red blood cells in the spinal fluid.

Diagnostic accuracy is influenced by several factors, including the timing of the scan and the expertise of the radiologist. Below is a simplified table comparing the diagnostic sensitivity of various methods:

Diagnostic Method Sensitivity (Early) Time-Dependency
Non-contrast CT High (>95%) Significant
Lumbar Puncture Very High Low
CT Angiography Moderate (for source) N/A

⚠️ Note: If a CT scan is negative within 6 hours of symptom onset, it effectively rules out a significant subarachnoid hemorrhage in most patients with a normal neurological exam, though clinical judgment remains the ultimate guide.

The Importance of CT Angiography (CTA)

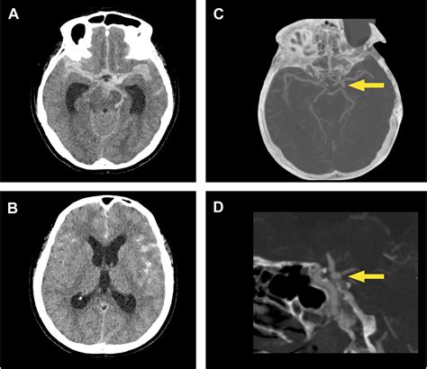
While the initial Subarachnoid Hemorrhage CT is used to detect the presence of blood, it does not always reveal the source of the bleeding. Once a hemorrhage is confirmed, clinicians typically transition to a CT Angiography (CTA). This procedure uses a contrast dye injected into the bloodstream to create detailed, three-dimensional images of the brain's vascular structure. The goal of the CTA is to identify the underlying cause, such as an aneurysm, which may require surgical clipping or endovascular coiling.

The transition from a standard scan to an angiographic scan is seamless in most modern facilities. The vascular imaging allows neurosurgeons and interventional neuroradiologists to plan the necessary interventions immediately. Understanding the vascular map is essential for preventing re-bleeding, which carries a much higher mortality rate than the initial event.

Challenges in Imaging and Interpretation

Despite the high sensitivity of the Subarachnoid Hemorrhage CT, there are instances where imaging can be deceptive. Small volumes of blood or specific anatomical locations can make interpretation difficult for the untrained eye. Moreover, in patients with severe anemia, the blood on a CT scan might appear less dense, making it harder to distinguish from the surrounding brain parenchyma. This phenomenon, known as the "isodense" sign, requires high-resolution imaging and expert clinical correlation.

To ensure the best patient outcomes, hospitals emphasize the following best practices:

  • Early Presentation: Patients are encouraged to seek help immediately upon the onset of a "thunderclap" headache.
  • Continuous Monitoring: Patients undergoing imaging must be monitored for hemodynamic stability.
  • Multidisciplinary Review: The results of the CT should be reviewed by both a neurologist and a neuroradiologist.

⚠️ Note: Always inform the imaging team if the patient has known allergies to contrast agents, as this will influence the choice of procedure following the initial non-contrast head scan.

Artificial Intelligence (AI) is beginning to play a transformative role in the detection of intracranial hemorrhages. Software algorithms are now capable of reviewing a Subarachnoid Hemorrhage CT in real-time, flagging potential hyperdense areas for the radiologist to review with priority. This acts as a secondary safety net, reducing the likelihood of a missed diagnosis during late-night or high-volume shifts. While these tools do not replace the expertise of a human specialist, they serve as a critical aid in the high-stakes environment of emergency neurology.

In addition to AI, improvements in scanner resolution continue to reduce the window of uncertainty. Future iterations of scanner hardware will likely allow for even better discrimination between blood, artifacts, and normal vascular structures, potentially reducing the need for secondary diagnostic tests like lumbar punctures in ambiguous cases.

The rapid identification of a subarachnoid hemorrhage through computed tomography is the cornerstone of effective neuro-critical care. By prioritizing a high-quality, early-onset scan, medical teams can promptly confirm the presence of blood, locate the source of the vessel rupture, and initiate life-saving neurosurgical or endovascular intervention. While clinical suspicion remains the trigger for the diagnostic process, the technological advancements in scanning equipment, combined with the integration of AI-assisted diagnostics, have significantly improved the speed and accuracy with which these critical events are managed. Because the prognosis of this condition is directly linked to the time elapsed from the initial bleed to the stabilization of the vessel, the role of rapid imaging remains irreplaceable in modern medicine, ensuring that every second is optimized for the patient’s survival and long-term neurological health.

Related Terms:

  • subarachnoid haemorrhage ct guidelines
  • subarachnoid hemorrhage location
  • picture of subarachnoid hemorrhage
  • subarachnoid hemorrhage sah
  • subarachnoid hemorrhage star sign
  • subarachnoid hemorrhage appearance on ct