Stress Fracture Tibia

Stress Fracture Tibia

A stress fracture tibia is a common, yet debilitating injury that frequently affects athletes, military recruits, and individuals who have recently ramped up their physical activity levels too quickly. Unlike acute fractures caused by a sudden, traumatic impact, a stress fracture occurs due to repetitive mechanical loading on the bone. When the rate of bone damage—caused by consistent impact or overuse—exceeds the body’s ability to repair that damage, micro-cracks form in the bone cortex. If left ignored, these tiny cracks can progress into a full fracture, causing significant pain and necessitating a much longer recovery period. Understanding how this injury happens, how to recognize its symptoms, and how to treat it properly is essential for anyone who values their mobility and long-term joint health.

Understanding the Mechanics of a Tibial Stress Fracture

The tibia, or shinbone, is the primary weight-bearing bone in the lower leg. During activities like running, jumping, or even brisk walking, the tibia absorbs a significant amount of force. Under normal circumstances, bone tissue undergoes a process called remodeling. Osteoclasts break down old or damaged bone, and osteoblasts build new bone tissue to replace it.

When you increase the intensity, duration, or frequency of your exercise without adequate rest, this remodeling process cannot keep up with the demands. The bone becomes weakened as the micro-damage accumulates. If the cycle is not interrupted by rest, these areas of weakness can develop into a stress fracture tibia. It is essential to recognize that this is a cumulative injury rather than an instantaneous one.

Common Risk Factors and Causes

Several factors can increase the likelihood of developing a stress fracture in the tibia. Recognizing these early can help prevent the injury before it compromises your bone integrity.

  • Rapid Increase in Training Volume: The most common cause is the "too much, too soon" approach. Jumping from 10 miles a week to 30 miles without a gradual transition puts excessive stress on the bone.
  • Improper Footwear: Shoes that have lost their cushioning or do not provide adequate arch support fail to absorb shock effectively, transferring that force directly to the tibia.
  • Biomechanical Issues: Factors such as flat feet (pes planus), high arches, or imbalances in leg strength can cause uneven distribution of force during movement.
  • Nutritional Deficiencies: Low calcium and vitamin D levels can lead to lower bone mineral density, making the bones more susceptible to stress injuries.
  • Surface Changes: Transitioning suddenly from running on a soft track to running on concrete or asphalt increases the impact force significantly.

Recognizing the Symptoms

Early identification of a stress fracture tibia is crucial for a timely recovery. Symptoms often develop gradually, which is why many individuals try to "run through the pain," worsening the condition significantly.

Symptom Phase Description
Early Stage Pain is localized to the shin area and occurs only during or immediately after physical activity. It usually subsides with rest.
Intermediate Stage Pain becomes more frequent and occurs earlier in the activity. It may linger even after you have finished exercising.
Advanced Stage Pain is constant and may even interfere with daily activities or interrupt sleep. Localized swelling or a small bump may appear on the bone.

💡 Note: If you experience pinpoint tenderness—where you can place a single finger on the exact spot that hurts on the bone—this is a strong indicator of a stress fracture rather than general shin splints.

Diagnosis and Clinical Assessment

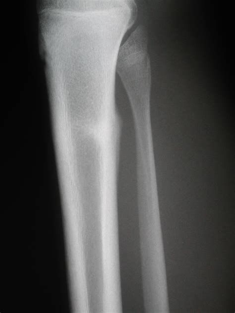
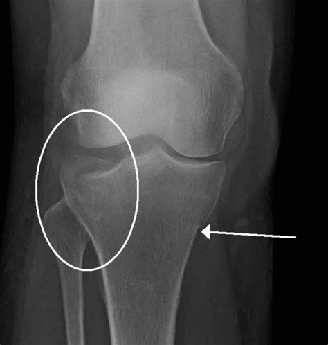
If you suspect you have a stress fracture, it is vital to seek professional medical advice. A healthcare provider will typically perform a physical examination, assessing the site of tenderness and your range of motion. Because stress fractures are often so small, they do not always appear on standard X-rays, especially in the first few weeks of the injury.

Doctors may suggest more sensitive imaging techniques if clinical symptoms remain high despite a clear X-ray. An MRI is often considered the "gold standard" for diagnosing a stress fracture tibia because it can detect bone marrow edema (swelling inside the bone), which is an early sign of stress-related injury before a fracture line even forms.

Treatment and Rehabilitation Phases

The cornerstone of treating a stress fracture is offloading. You must remove the stimulus that caused the fracture to allow the bone to heal. The recovery process is generally broken down into several distinct phases:

1. Rest and Offloading

The initial phase involves stopping the aggravating activity completely. Depending on the severity of the fracture, your doctor may recommend the use of crutches or a walking boot to offload the tibia and reduce pain during daily movement. This phase can last anywhere from 6 to 12 weeks depending on the location of the fracture and individual healing capacity.

2. Gradual Loading

Once you are pain-free during daily activities and clinical examinations show improvement, you can begin low-impact, pain-free exercises. Swimming, cycling, and deep-water running are excellent options as they maintain cardiovascular fitness without putting load on the bone.

3. Return to Impact

This is the most critical phase. You should only return to running or high-impact activity under the guidance of a physical therapist. A graded return-to-run program is essential, often involving alternating between walking and running to ensure the bone can handle the stress before returning to full training volume.

Preventative Strategies

Once healed, taking steps to prevent a recurrence is vital. Preventing a stress fracture tibia involves a holistic approach to your training and overall health.

  • Follow the 10% Rule: Never increase your weekly mileage or training intensity by more than 10% per week.
  • Prioritize Strength Training: Building strength in the glutes, hips, and calves can help improve shock absorption and reduce the workload on the tibia.
  • Nutrition is Key: Ensure your diet includes adequate calcium and vitamin D to maintain optimal bone density.
  • Cross-Training: Incorporate non-impact activities into your weekly routine to reduce the overall cumulative impact on your lower limbs.
  • Listen to Your Body: Learn the difference between "good" muscle soreness and "bad" bone pain. If you feel localized pain that does not improve after 48 hours of rest, seek advice.

💡 Note: Always consult with a sports medicine physician or physical therapist before starting a return-to-sport protocol to ensure your bone is fully remodeled and ready for the stress of impact.

Recovering from a stress fracture tibia requires patience, but it is entirely possible to return to your previous levels of activity if you respect the healing timeline. Rushing the process significantly increases the risk of the injury becoming chronic or leading to a complete fracture, which would result in a much longer setback. By focusing on gradual progression, nutritional support, and listening to the signals your body provides, you can effectively manage this injury and build a more resilient foundation for your future physical endeavors. The key to long-term athletic health is not just in how hard you push, but in how intelligently you balance that effort with the necessary time for repair and strengthening.

Related Terms:

  • stress fracture tibia x ray
  • treatment for tibial stress fracture
  • stress fracture tibia icd 10
  • stress fracture ankle
  • stress fracture tibia radiopaedia
  • stress fracture fibula