Splenic Marginal Zone Lymphoma

Splenic Marginal Zone Lymphoma

Receiving a diagnosis of Splenic Marginal Zone Lymphoma (SMZL) can be an overwhelming experience, filled with uncertainty and complex medical terminology. As a rare type of indolent, or slow-growing, non-Hodgkin lymphoma, this condition primarily affects the spleen, the bone marrow, and occasionally the circulating blood. Understanding the nuances of this malignancy is the first step toward navigating the treatment landscape effectively. Because SMZL often progresses slowly, many patients live for many years with appropriate management, making it essential to grasp the biological nature of the disease, its symptoms, and the current therapeutic strategies available to medical professionals.

Understanding the Nature of Splenic Marginal Zone Lymphoma

Splenic Marginal Zone Lymphoma is a B-cell neoplasm that arises from the marginal zone of the lymphoid follicles in the spleen. It is categorized as a low-grade lymphoma, meaning that the cancer cells typically multiply at a slower rate compared to aggressive lymphomas. The disease is characterized by the accumulation of small, abnormal B-lymphocytes in the spleen, leading to organ enlargement, known as splenomegaly.

While the exact cause of SMZL remains largely unknown, researchers have identified several factors that may contribute to its development. There is a well-documented association between chronic viral infections, particularly Hepatitis C, and the onset of this condition in some patient populations. Furthermore, certain genetic mutations or chromosomal abnormalities are often detected in the malignant cells, which help hematologists confirm the diagnosis during a workup.

💡 Note: Because the spleen is responsible for filtering blood and housing immune cells, enlargement can often be the primary indicator that prompts further investigation into SMZL.

Common Symptoms and Diagnostic Procedures

Identifying Splenic Marginal Zone Lymphoma can be challenging because many patients remain asymptomatic for significant periods. When symptoms do manifest, they are often related to the physical pressure exerted by the enlarged spleen on surrounding abdominal organs. Common clinical indicators include:

  • Splenomegaly: A feeling of fullness or discomfort in the upper left abdomen.
  • Cytopenias: Low blood counts, such as anemia (low red blood cells), thrombocytopenia (low platelets), or neutropenia (low white blood cells).
  • B-symptoms: Though less common in indolent lymphomas, some patients may experience unexplained weight loss, night sweats, or low-grade fevers.
  • Fatigue: Persistent tiredness resulting from anemia or the body's immune response to the disease.

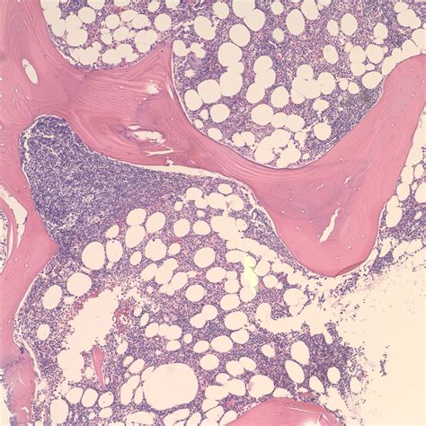
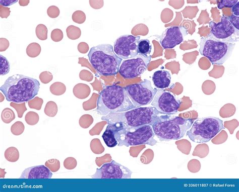
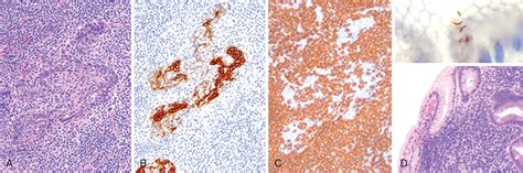
To confirm the diagnosis, medical teams typically employ a combination of tests. Blood work, including a complete blood count (CBC) and peripheral blood smear, is the first step. If the suspicion of lymphoma arises, a physical examination of the abdomen is followed by imaging studies like a CT scan or ultrasound to measure the spleen's size. Ultimately, a bone marrow biopsy or, in some cases, a splenectomy (surgical removal of the spleen) provides the definitive tissue sample needed to confirm the presence of Splenic Marginal Zone Lymphoma.

Treatment Approaches for SMZL

Because this condition is often indolent, "watch and wait"—also known as active surveillance—is a frequent strategy for patients who do not show severe symptoms. Doctors closely monitor blood counts and organ size before initiating aggressive therapy. When intervention becomes necessary, the following table summarizes the primary treatment modalities typically considered by hematology-oncology specialists:

Treatment Type Description Primary Goal
Active Surveillance Regular checkups and blood monitoring. Delay toxic treatments while symptoms are mild.
Splenectomy Surgical removal of the spleen. Reduce tumor burden and alleviate cytopenias.
Immunotherapy Use of monoclonal antibodies (e.g., Rituximab). Target and destroy malignant B-cells.
Chemotherapy Systemic drugs that kill rapidly dividing cells. Address widespread disease or relapse.

💡 Note: The choice of treatment is highly individualized, depending on the patient's age, overall health, specific genetic markers of the lymphoma, and the severity of blood count abnormalities.

Living with the Diagnosis and Long-Term Outlook

Living with Splenic Marginal Zone Lymphoma requires a proactive approach to healthcare. Patients are encouraged to maintain a strong partnership with their oncology team. Because this is a chronic condition, adherence to follow-up schedules is vital. Even when in remission, patients should report any new or worsening symptoms, such as increased fatigue, unexplained bruising, or signs of infection, immediately to their healthcare provider.

Support systems, including family, friends, and support groups, play a crucial role in managing the psychological aspects of a chronic cancer diagnosis. Maintaining a balanced diet, engaging in gentle physical activity as approved by a doctor, and managing stress can all contribute to an improved quality of life during and after treatment.

Future Directions and Research

The field of hematology is rapidly evolving, and new research into Splenic Marginal Zone Lymphoma is shedding light on more targeted therapies. The integration of precision medicine, where treatments are tailored to the specific genetic profile of a patient’s tumor, is becoming more prevalent. Targeted inhibitors that disrupt the signaling pathways used by cancer cells to survive are currently being studied in clinical trials, offering hope for more effective, less toxic alternatives to traditional chemotherapy in the coming years.

Ultimately, navigating the journey with this specific type of lymphoma requires a combination of clinical expertise, patient advocacy, and emotional resilience. By focusing on the latest advancements and maintaining consistent medical supervision, many patients can effectively manage their condition and continue to lead productive, fulfilling lives. Understanding that Splenic Marginal Zone Lymphoma is a highly treatable, albeit chronic, condition allows patients to shift their focus from the fear of diagnosis toward the empowerment of informed, long-term management strategies.

Related Terms:

  • marginal zone lymphoma stage 3
  • lymphoma in spleen prognosis
  • splenic lymphoma with villous lymphocytes
  • splenic marginal zone lymphoma staging
  • is marginal zone lymphoma curable
  • splenic marginal zone lymphoma diagnosis