Spine Extension Imaging

Spine Extension Imaging

Chronic back pain and mobility limitations often stem from structural issues that are not immediately apparent when a patient is in a static, resting position. This is where spine extension imaging plays a crucial role in modern diagnostics. By capturing images of the spine while the patient is actively moving or holding an extended position, clinicians can visualize dynamic pathologies—such as subtle disc herniations, spinal stenosis, or spondylolisthesis—that might otherwise remain hidden during a standard, passive MRI or CT scan. Understanding the nuances of these specialized imaging techniques is essential for patients, practitioners, and radiologists alike to ensure an accurate diagnosis and an effective, targeted treatment plan.

Understanding the Mechanics of Spine Extension Imaging

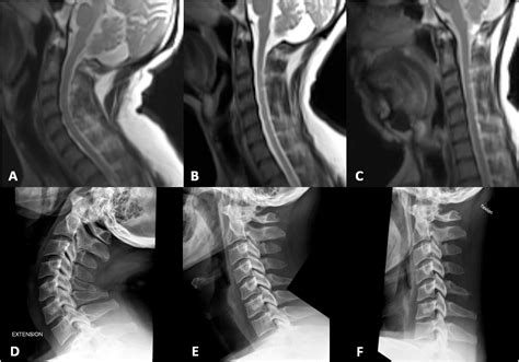
Traditional diagnostic imaging is typically performed with the patient lying flat on their back, which relieves the gravitational pressure on the spine and can temporarily reduce the severity of certain conditions. Spine extension imaging changes this paradigm by requiring the patient to actively extend or arch their back during the procedure. This position forces the spinal elements—including the vertebrae, discs, and facet joints—into a configuration that often replicates the pain-inducing movements of daily life.

When the spine is in extension, the canal narrows, and the facet joints undergo increased compression. If there is a pre-existing instability or a structural narrowing, this movement can highlight issues that are invisible when the spine is at rest. This technique is particularly valuable for identifying:

  • Spondylolisthesis: A condition where one vertebra slips forward over another.
  • Facet Joint Hypertrophy: Enlargement of the joints that can compress nerves during movement.
  • Dynamic Spinal Stenosis: Narrowing of the spinal canal that only occurs during specific postures.
  • Foraminal Stenosis: Narrowing of the openings where nerve roots exit the spine, which often worsens during extension.

⚠️ Note: Always consult with a spine specialist or radiologist before scheduling these imaging studies to ensure the specific type of extension or stress testing is clinically appropriate for your suspected condition.

Types of Imaging Modalities Used in Extension

Not all diagnostic tools are designed for dynamic assessment. While standard static MRI is the gold standard for soft tissue detail, specialized versions are required to incorporate movement. Below is a breakdown of the primary technologies utilized for spine extension imaging:

Modality Primary Use Benefit of Extension
Dynamic X-ray (Flexion/Extension) Checking for spinal instability Visualizes vertebral shifting
Upright/Positional MRI Capturing load-bearing pathology Simulates gravity's effect on discs
Dynamic CT Scan High-resolution bony anatomy Identifies subtle fractures or joint impinging

Why Standard Imaging May Not Be Enough

Many patients report "classic" symptoms of nerve impingement—such as radiating pain, numbness, or tingling—only to receive a "normal" report from a standard MRI. This occurs because the standard MRI is a snapshot in time, captured while the spine is fully supported by the table and gravity is neutralized. In contrast, spine extension imaging effectively "stress tests" the spine. By inducing the specific position that triggers the patient's symptoms, the radiologist can see precisely how the anatomy interacts with the neural structures under pressure.

For example, a patient might have a small disc bulge that is asymptomatic in a neutral position. However, when the patient extends their spine, the facet joints shift, the disc bulges further, and the spinal canal narrows just enough to compress the nerve. Without the dynamic component, this mechanical cause of pain remains invisible to the clinical team.

Preparing for Your Imaging Appointment

Preparing for spine extension imaging is similar to other diagnostic procedures, but it requires an active role from the patient. Because you will be asked to hold certain positions, it is important to communicate effectively with the technician.

  • Review Medical History: Ensure your imaging facility has access to your previous scans for comparison.
  • Communicate Pain Triggers: Tell the technician exactly which movements or positions usually exacerbate your symptoms so they can adjust the imaging protocol accordingly.
  • Wear Comfortable Clothing: While you may be provided with a gown, ensure you are wearing flexible clothing that does not contain metal, which could cause artifacts on the scan.
  • Manage Expectations: Be prepared for the fact that these positions may be uncomfortable, as they are specifically designed to replicate your pain points.

💡 Note: If you have significant mobility limitations or severe pain, inform the facility ahead of time so they can arrange for appropriate assistance or modified equipment during the session.

Interpreting Results and Clinical Implications

Once the spine extension imaging is complete, the images are sent to a radiologist. They will compare the neutral images with the extension images, looking for changes in the width of the spinal canal, the position of the vertebrae, and the amount of room available for nerve roots. The clinical significance of these findings must then be correlated with the patient's physical examination. It is entirely possible to have a structural finding on an extension scan that does not explain the patient's symptoms; therefore, the imaging is only one piece of the diagnostic puzzle.

Once the diagnostic picture is clearer, physicians can tailor interventions. For instance, if an extension study confirms that the patient's pain is primarily caused by facet joint compression during extension, the treatment plan might shift toward specific physical therapy exercises focused on pelvic tilt and core stabilization, or potentially targeted injections, rather than invasive surgery that might not address the root dynamic instability.

Ultimately, the move toward more functional and dynamic diagnostic approaches marks a significant advancement in the field of spinal health. By moving beyond static representations of the body and embracing spine extension imaging, medical providers can gain a much more accurate, real-world understanding of how a patient’s spine behaves under stress. This high level of diagnostic precision not only saves patients from unnecessary procedures but also guides them toward the most conservative and effective interventions available. As imaging technology continues to evolve, the integration of these dynamic protocols into standard practice will likely play an increasing role in improving patient outcomes, reducing the duration of chronic pain, and ensuring that therapeutic efforts are focused on the precise mechanical triggers of back discomfort. Always engage in a detailed conversation with your healthcare team about whether these specialized dynamic views are the right next step in your diagnostic journey.

Related Terms:

  • flexion x ray cervical spine
  • cervical flexion extension x ray
  • flexion and extension mri
  • cervical spine flexion extension
  • dynamic flexion extension mri
  • cervical spine mri