Spindle Cell Neoplasm

Spindle Cell Neoplasm

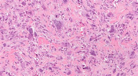
Receiving a medical diagnosis involving the term Spindle Cell Neoplasm can be an overwhelming experience, often filled with uncertainty and concern. To navigate this diagnosis effectively, it is essential to understand what these cells are, how they behave, and why this term is used as a broad descriptor rather than a final, specific diagnosis. At its core, this term refers to a group of tumors characterized by the presence of elongated, spindle-shaped cells when viewed under a microscope. Because many different types of tissue can produce these specific cell shapes, the diagnosis is essentially a starting point for pathologists to determine the exact nature and origin of the growth.

What Exactly Is a Spindle Cell Neoplasm?

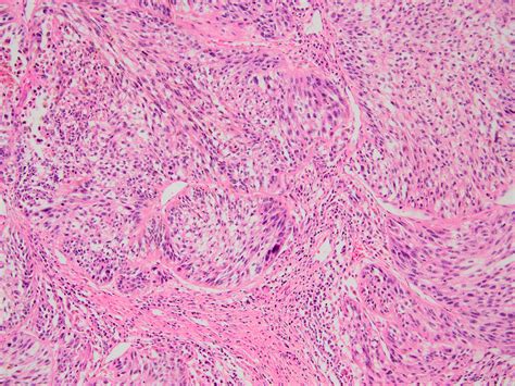
In pathology, the term Spindle Cell Neoplasm is a descriptive classification. It tells a medical team that a biopsy has revealed cells that are longer than they are wide—resembling the shape of a sewing spindle—but it does not immediately clarify whether the tumor is benign (non-cancerous) or malignant (cancerous).

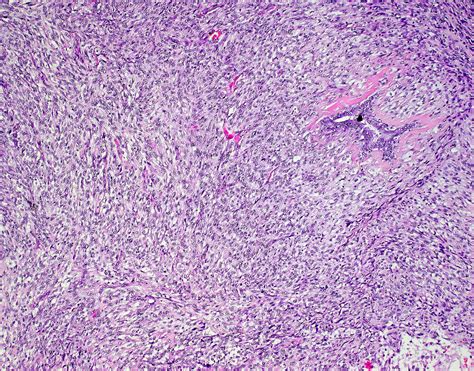
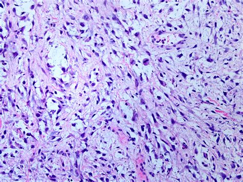
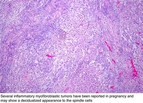
These cells are structural components of the body’s connective tissues, including muscle, fat, fibrous tissue, and nerves. When these cells begin to grow uncontrollably, they form a mass that pathologists identify as having "spindle cell morphology." Because this morphological trait is shared by a vast array of conditions, pathologists must perform secondary testing, such as immunohistochemistry, to identify specific proteins or markers present on the cells.

Understanding that this is a descriptive category rather than a specific disease is the first step in patient advocacy. It explains why your medical team may request additional tissue samples or advanced molecular testing to refine the diagnosis.

Common Types and Classifications

Because the category is so broad, clinicians categorize these neoplasms based on their origin and potential behavior. Some of the most common classifications include:

  • Soft Tissue Sarcomas: These are malignant tumors that arise in tissues like fat, muscle, or blood vessels.
  • Fibromatosis: Often locally aggressive but typically benign in the sense that they do not metastasize to distant organs.
  • Spindle Cell Carcinomas: A rare form of cancer where epithelial cells undergo a transformation, taking on a spindle-like shape.
  • Benign Fibrous Histiocytoma: Often found in the skin and generally considered a non-cancerous growth.
  • Gastrointestinal Stromal Tumors (GIST): A common type of tumor found in the digestive tract that often features spindle cells.
Category General Behavior Common Location
Fibrous/Fibrohistiocytic Variable (Benign to Malignant) Soft tissue, Skin
Neural Sheath Tumors Mostly Benign Nerves throughout the body
Gastrointestinal Stromal (GIST) Potentially Malignant Stomach, Small Intestine

Diagnostic Approaches: Moving Beyond the Initial Report

The diagnostic journey for a Spindle Cell Neoplasm involves a multidisciplinary approach. Once a pathologist identifies the spindle-shaped cells, they initiate a process to narrow down the diagnosis. This is critical because the treatment plan for a benign fibroma is vastly different from that of a high-grade sarcoma.

Diagnostic tools typically include:

  • Immunohistochemistry (IHC): Using antibodies to stain specific proteins within the cell to identify their "lineage" or source.
  • Molecular Genetic Testing: Checking for specific gene mutations or chromosomal translocations that act as "fingerprints" for certain types of tumors.
  • Imaging Studies: MRI or CT scans are used to determine the exact size, depth, and relationship of the mass to surrounding blood vessels and nerves.
  • Excisional Biopsy: Removing the entire mass or a significant portion to allow for a thorough pathological examination.

💡 Note: Do not panic if your preliminary report says "Spindle Cell Neoplasm." This is a standard placeholder used by pathologists while they wait for more specific lab results to confirm the exact type of tissue involved.

Treatment Pathways and Prognosis

The prognosis for any patient diagnosed with a Spindle Cell Neoplasm is entirely dependent on the final, refined diagnosis. Because the range spans from harmless benign moles to aggressive cancers, there is no "one-size-fits-all" treatment.

If the tumor is determined to be benign, surgery is often the only intervention required. The focus shifts to ensuring that the growth is removed with clear margins to prevent local recurrence. For malignant versions, the treatment protocol is usually more intensive and may involve a combination of the following:

  • Surgical Resection: The primary method for removing the tumor, often requiring wide margins of healthy tissue to ensure all malignant cells are cleared.
  • Radiation Therapy: Frequently used either before surgery to shrink the tumor or after surgery to eliminate any microscopic residual cells.
  • Chemotherapy and Targeted Therapy: Reserved for specific types of malignancies that respond to systemic treatment or immunotherapy, particularly if the tumor has spread or is unresectable.

The importance of specialized care cannot be overstated. Patients should seek treatment at centers that specialize in sarcomas or rare tumor pathologies. These centers have the expertise to distinguish between similar-looking cells, which is the cornerstone of effective management.

Living with the Diagnosis

The psychological impact of a diagnosis like this is significant. While awaiting further tests, it is common to experience high levels of stress. Focusing on actionable steps—such as organizing medical records, keeping a log of symptoms, and preparing questions for your oncologist—can help regain a sense of control. Engage with support groups for rare tumors, as speaking with others who have navigated similar diagnostic paths can provide emotional relief and practical advice.

Maintenance of overall health through a balanced diet, adequate rest, and avoiding unnecessary exposure to toxins remains vital during the diagnostic and treatment phases. Always inform your primary care provider of any new symptoms, such as unexplained pain, skin color changes, or rapid growth of the mass, as these are important clinical indicators for your team.

The path forward after identifying a Spindle Cell Neoplasm is a process of systematic elimination and refinement. While the initial terminology may seem intimidating, it is simply a signal to medical professionals that a detailed investigation is required to determine the best course of action. By leaning on specialized pathologists and multidisciplinary treatment teams, patients can move through the diagnostic phase with greater clarity. Modern medicine has made significant strides in classifying these tumors, leading to more precise, personalized therapeutic strategies. Maintaining open communication with your healthcare providers and staying informed about the specifics of your unique case are the most effective ways to ensure optimal care and long-term health outcomes.

Related Terms:

  • spindle cell neoplasm radiology
  • spindle cell neoplasm symptoms
  • spindle cell neoplasm treatment
  • malignant spindle cell neoplasm treatment
  • spindle cell neoplasm skin
  • spindle cell tumor prognosis