Sphenoid Greater Wing

Sphenoid Greater Wing

The human skull is a marvel of biological engineering, consisting of intricate bones that protect the brain, support facial structures, and house vital sensory organs. Among these, the sphenoid bone is often referred to as the "keystone" of the cranium because it articulates with almost every other bone in the skull. Central to this complex structure is the Sphenoid Greater Wing. This paired projection plays a critical role in forming the floor of the middle cranial fossa and the lateral wall of the orbit. Understanding the anatomy, functionality, and clinical significance of this region is essential for medical professionals, students, and anyone interested in the foundational architecture of the human head.

Anatomical Overview of the Sphenoid Greater Wing

The Sphenoid Greater Wing, or ala major, extends laterally and superiorly from the body of the sphenoid bone. It is not merely a single plate of bone but a complex, three-dimensional structure that defines several anatomical boundaries. It contributes to three major regions of the head: the neurocranium, the orbit, and the infratemporal fossa.

Its complex shape is characterized by several surfaces that serve as attachment points for muscles and passageways for nerves and blood vessels. The distinct surfaces include:

  • Cerebral Surface: This is the superior aspect, which is concave and forms a significant portion of the floor of the middle cranial fossa. It supports the temporal lobe of the brain.
  • Orbital Surface: A smooth, quadrilateral plate that forms the posterior part of the lateral wall of the orbit.
  • Temporal Surface: Located externally, this surface is divided into the temporal and infratemporal parts, providing attachment for the temporalis muscle.

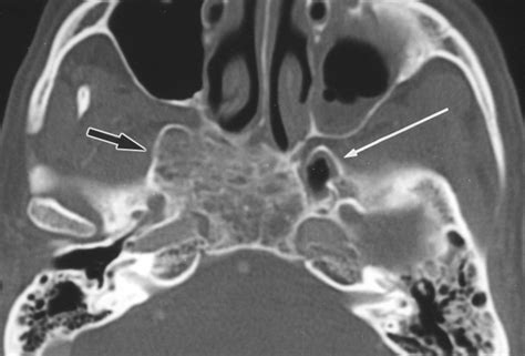
The Crucial Foramina of the Sphenoid Greater Wing

One of the most important aspects of the Sphenoid Greater Wing is that it is perforated by several significant foramina. These openings allow for the passage of essential nerves and blood vessels between the brain and the periphery. Damage to these specific areas can result in significant neurological or vascular compromise.

Foramen Contents
Foramen Rotundum Maxillary nerve (CN V2)
Foramen Ovale Mandibular nerve (CN V3), accessory meningeal artery
Foramen Spinosum Middle meningeal artery and vein, meningeal branch of CN V3

⚠️ Note: Identifying these foramina on a skull model or imaging scan is a fundamental skill in clinical anatomy, as they are key landmarks for localizing nerve blocks and interpreting fractures.

Clinical Significance and Potential Pathology

Given its central location, the Sphenoid Greater Wing is susceptible to trauma and pathological changes that can have widespread consequences. Fractures in this area, particularly those associated with head trauma, often involve the middle cranial fossa. Because of the vital structures that pass through the foramina, clinicians must be highly vigilant when interpreting radiographs or CT scans in patients with head injuries.

Some of the primary clinical considerations include:

  • Traumatic Fractures: A fracture through the Sphenoid Greater Wing can lead to damage to the middle meningeal artery, potentially causing an epidural hematoma—a life-threatening condition that requires immediate surgical intervention.
  • Nerve Compression: Growths, tumors, or inflammation in the middle cranial fossa can put pressure on the nerves passing through the foramina, leading to sensory deficits in the face or motor issues, such as difficulties with chewing.
  • Surgical Access: The sphenoid bone is a common landmark in neurosurgery. Approaches to the pituitary gland or the cavernous sinus often involve navigating around the greater wings.

Functional Anatomy: Muscles and Support

The Sphenoid Greater Wing is not just a passive structural component; it is an active participant in the mechanics of the skull. The temporal surface provides the origin for the temporalis muscle, one of the primary muscles of mastication (chewing). Furthermore, the infratemporal surface serves as an attachment site for the superior head of the lateral pterygoid muscle.

Because it articulates with the frontal, parietal, temporal, and zygomatic bones, the Sphenoid Greater Wing acts as a structural bridge, ensuring the integrity of the cranium and facilitating the transfer of mechanical forces experienced during daily activities.

💡 Note: While the greater wing is heavily engaged in structural support, it is relatively thin in certain areas, making it a common site for linear skull fractures upon high-impact trauma.

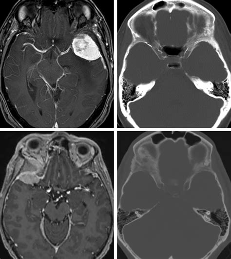
Imaging the Sphenoid Greater Wing

In modern medicine, diagnostic imaging is paramount for visualizing the Sphenoid Greater Wing. Plain radiographs are rarely sufficient for detailed evaluation due to the superimposition of other cranial structures. Consequently, Computed Tomography (CT) scans are the gold standard.

When reviewing CT scans of the skull base, radiologists look for:

  1. Symmetry: Comparing the right and left wings to detect subtle displacements or fractures.
  2. Foramen Integrity: Ensuring the foramen rotundum, ovale, and spinosum are not enlarged or eroded, which could indicate a tumor or chronic pressure.
  3. Bone Density: Evaluating for signs of osteomyelitis, fibrous dysplasia, or metastatic lesions that might affect the sphenoid bone.

Magnetic Resonance Imaging (MRI) is utilized when there is a suspicion of soft tissue involvement, such as a tumor extending through the foramina into the cavernous sinus or the infratemporal fossa.

Final Thoughts on the Sphenoid Architecture

The Sphenoid Greater Wing stands as a testament to the complexity and functional interconnectedness of the human skull. By forming the floor of the middle cranial fossa and the lateral wall of the orbit, and by providing essential passageways for major nerves and blood vessels, it serves as a critical junction for both the nervous system and the facial structure. Whether through its role as an anchor for the muscles of mastication or as a landmark for neurosurgical procedures, this bone component is essential to both the form and function of the head. Advancements in diagnostic imaging continue to improve our ability to detect pathologies within this region, underscoring the importance of understanding the intricate anatomy of the sphenoid for clinical practice and beyond.

Related Terms:

  • where is sphenoid bone
  • sphenoid lesser wing
  • left greater sphenoid wing
  • sphenoid greater wing lesser wing
  • anterior view of sphenoid bone
  • identify the sphenoid bone