Small Vessel Ischemic Disease

Small Vessel Ischemic Disease

Receiving a diagnosis of Small Vessel Ischemic Disease (SVID) can be overwhelming, yet understanding the condition is the first crucial step toward managing your brain health. Often detected incidentally during an MRI scan for unrelated issues like headaches or dizziness, SVID refers to the damage caused to the small, fragile blood vessels deep within the brain. When these vessels become narrowed, blocked, or damaged, they fail to deliver adequate oxygen and nutrients to vital brain tissue, which can lead to white matter lesions, silent strokes, or cognitive decline over time. While the term sounds alarming, modern medicine offers many strategies to halt its progression and protect your neurological function.

Understanding Small Vessel Ischemic Disease: Causes and Mechanisms

Brain health and blood vessels

At its core, Small Vessel Ischemic Disease is primarily a consequence of chronic vascular stress. The microscopic blood vessels in the brain are highly susceptible to damage from high blood pressure, inflammation, and metabolic issues. Over years of exposure to these risk factors, the walls of these tiny vessels thicken and become stiff—a process known as arteriolosclerosis. This reduces the blood flow (ischemia) to the brain’s white matter, the “wiring” that connects different regions of the brain.

The primary contributors to the development of this condition include:

  • Chronic Hypertension: Consistently high blood pressure is the single most significant risk factor.
  • Aging: The natural wear and tear on blood vessels makes SVID more common as we get older.
  • Diabetes and Insulin Resistance: Elevated blood sugar levels can damage the delicate lining of blood vessels.
  • Hyperlipidemia: High cholesterol can contribute to the buildup of plaque, narrowing the vessel lumen.
  • Lifestyle Factors: Smoking, a sedentary lifestyle, and high-sodium diets all accelerate vascular degradation.

Recognizing the Symptoms

Many individuals with Small Vessel Ischemic Disease remain asymptomatic for a long time, with the condition only discovered through routine neuroimaging. However, as the damage accumulates, symptoms may manifest, often subtly at first. Because the disease affects the brain's white matter, the symptoms are frequently related to executive function, emotional regulation, and physical movement.

Common clinical indicators include:

  • Cognitive Changes: Difficulty with planning, organization, multitasking, or slowed processing speed.
  • Gait Disturbances: Unsteadiness when walking, a "shuffling" gait, or an increased risk of falls.
  • Mood Disorders: Increased symptoms of depression or irritability, which are common in patients with white matter changes.
  • Bladder Issues: Frequent urges to urinate or incontinence, which may occur as a result of disrupted nerve pathways.

The Role of Imaging and Diagnosis

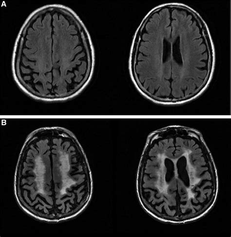
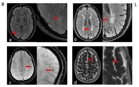
Diagnosis is usually confirmed via an MRI of the brain, which provides a detailed look at the white matter. Radiologists look for specific patterns, such as leukoaraiosis or hyperintensities, which appear as "bright spots" on the scans. These spots indicate areas where the brain tissue has been affected by chronic ischemia.

Diagnostic Feature Clinical Significance
White Matter Hyperintensities (WMH) Indicates long-term vascular stress and potential cognitive slowing.
Lacunar Infarcts Small, fluid-filled cavities resulting from past tiny strokes.
Microbleeds Tiny hemorrhages indicating fragile vessel walls.
Brain Atrophy Loss of overall brain volume, often associated with advanced disease.

💡 Note: While MRI findings are essential, they must be interpreted by a neurologist in the context of your specific symptoms and medical history. Having white matter spots does not always equate to immediate, severe cognitive impairment.

Managing and Preventing Progression

Because there is no “cure” that can reverse the structural damage already done to the small vessels, the management goal for Small Vessel Ischemic Disease is aggressive prevention of further decline. The focus shifts to controlling the underlying systemic vascular diseases that drive the progression of the condition.

1. Blood Pressure Management

This is the most critical pillar of treatment. Maintaining blood pressure within a target range (usually defined by your doctor, often aiming below 13080 mmHg) significantly reduces the pressure exerted on small vessels, preventing further damage to their walls.

2. Lifestyle Modifications

Adopting a “heart-healthy” diet, such as the Mediterranean diet, which is rich in antioxidants, healthy fats (omega-3s), and low in sodium, can reduce systemic inflammation. Regular aerobic exercise also promotes better blood flow to the brain and improves endothelial function.

3. Metabolic Control

Strict management of blood glucose levels is essential for diabetic patients. Additionally, keeping cholesterol levels in check through diet or medication prevents the hardening of arteries that limits blood supply to the brain.

4. Smoking Cessation

Smoking causes immediate constriction of blood vessels and long-term damage to the vessel endothelium. Quitting is perhaps the single most effective lifestyle change to stop the worsening of Small Vessel Ischemic Disease.

💡 Note: Always consult with your physician before starting any new exercise regimen or significantly altering your diet, especially if you have existing cardiac conditions or mobility issues.

Future Outlook and Brain Health

Advancements in medical imaging and research continue to shed light on how we can better support brain health. While Small Vessel Ischemic Disease is a chronic condition, many patients live for decades without significant impairment by maintaining a strict adherence to their care plans. The brain possesses a degree of “cognitive reserve,” meaning that by staying mentally active—engaging in new learning, social interactions, and cognitive exercises—you can help compensate for the structural changes identified on your imaging.

Taking control of your vascular health is the most effective way to protect your cognitive future. By working closely with your primary care physician or a neurologist, you can tailor a program that addresses your unique risk profile. Whether it is through medication management, a revamped nutritional plan, or increasing your daily physical activity, every step taken to improve your systemic blood vessel health has a direct and positive impact on the health of your brain. Remain proactive, follow your diagnostic monitoring schedule, and prioritize cardiovascular wellness to ensure you maintain the best quality of life possible despite this diagnosis.

Related Terms:

  • mayo clinic small vessel disease
  • treatment of small vessel disease
  • small vessel heart disease treatment
  • small vessel ischemic changes treatment
  • small vessel brain disease symptoms
  • small vessel ischemic changes brain