Small Vessel Disease

Small Vessel Disease

Brain health is a critical component of overall well-being, yet many people remain unaware of the silent processes that can impact cognitive function as they age. One such condition, often discovered incidentally during routine imaging for other health issues, is Small Vessel Disease. This condition involves the damage and narrowing of the small blood vessels deep within the brain, which can gradually disrupt the delicate network responsible for nourishing brain tissue. Because it frequently progresses silently, understanding what it is, how it manifests, and how to manage it is essential for maintaining long-term neurological health.

Understanding Small Vessel Disease

At its core, Small Vessel Disease (often referred to in medical literature as Cerebral Small Vessel Disease or CSVD) is a disorder affecting the tiny arteries, arterioles, capillaries, and venules in the brain. Unlike conditions that affect larger vessels, which might cause a sudden, massive stroke, this disease operates on a much smaller scale, causing microscopic damage over a long period. This damage can lead to lesions, white matter hyperintensities, and silent strokes, which cumulatively impact the brain's ability to communicate efficiently.

When these tiny vessels become stiff, thickened, or blocked, they fail to deliver adequate oxygen and nutrients to the brain's white matter. This is the area containing the nerve fibers (axons) that act as the brain's communication network. As blood flow is restricted, these connections can weaken, leading to a gradual decline in cognitive processing speed, executive function, and, in some cases, physical balance and gait.

Common Risk Factors

The development of Small Vessel Disease is closely tied to systemic vascular health. Essentially, what is bad for the heart is often bad for the brain. The most prominent risk factors are those that damage the lining of blood vessels throughout the body. These include:

  • Chronic Hypertension: High blood pressure is the most significant contributor, as it exerts constant, damaging pressure on delicate vessel walls.
  • Advancing Age: The risk of developing these changes increases significantly as individuals get older.
  • Diabetes and High Blood Sugar: Elevated glucose levels can damage blood vessel linings over time.
  • Smoking: Chemicals in tobacco smoke are directly toxic to the vascular system.
  • High Cholesterol: Elevated levels can lead to the buildup of plaque, narrowing the vessels.
  • Obesity and Physical Inactivity: These contribute to metabolic conditions that exacerbate vascular issues.

💡 Note: While these factors are strongly linked to the progression of the disease, effectively managing them through lifestyle changes and medical intervention can significantly slow the progression of vascular damage.

Symptoms and Clinical Presentation

Because the damage caused by Small Vessel Disease is often slow and cumulative, it may not produce dramatic, sudden symptoms in the early stages. However, as the disease progresses, individuals may notice subtle changes in their cognitive or physical abilities. It is important to distinguish these symptoms, as they can sometimes be misattributed to normal aging or other conditions.

Category Common Manifestations
Cognitive Slower processing speed, difficulty with complex planning (executive function), and attention deficits.
Physical Unsteady gait, frequent trips or falls, and slowed walking pace.
Psychiatric Increased apathy, emotional liability, or sudden shifts in mood.
Neurological Silent strokes (lacunar infarcts) detected on scans, which may not cause overt symptoms.

Diagnosis and Detection

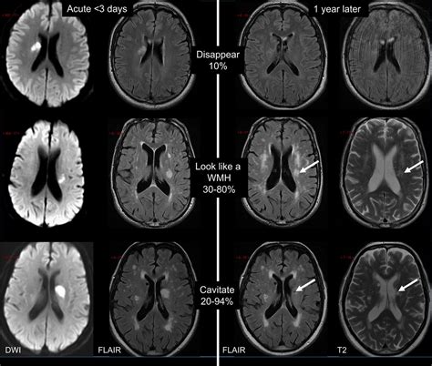
The primary method for diagnosing Small Vessel Disease is through neuroimaging, specifically Magnetic Resonance Imaging (MRI). An MRI is highly sensitive to the changes associated with this condition. Radiologists look for specific markers on the brain scans, such as:

  • White Matter Hyperintensities (WMH): Bright spots on the MRI that indicate areas of damaged white matter.
  • Lacunar Infarcts: Small, fluid-filled cavities resulting from previous microscopic blockages.
  • Microbleeds: Tiny spots of old blood deposits.
  • Brain Atrophy: A general shrinking of brain volume, which can be accelerated by chronic poor vascular health.

If a doctor suspects Small Vessel Disease, they will likely evaluate the patient's vascular risk profile, including blood pressure, lipid panels, and blood glucose levels, to determine the underlying drivers of the disease.

💡 Note: The presence of white matter hyperintensities on an MRI is common in older adults, and their mere presence does not automatically mean a person will develop severe cognitive impairment. Individual prognosis varies widely.

Management and Prevention Strategies

There is currently no direct "cure" to reverse the microscopic damage already done to the brain's small vessels. However, the focus of medical management is on secondary prevention—slowing down the progression of the disease and preventing further damage. This is achieved through a combination of lifestyle modifications and targeted medical therapy.

Lifestyle Interventions:

  • Adopt a Heart-Healthy Diet: Focus on whole grains, fruits, vegetables, lean proteins, and healthy fats, such as the Mediterranean diet, to manage blood pressure and cholesterol.
  • Regular Physical Activity: Exercise improves vascular health and overall blood flow. Even moderate activities like brisk walking can be beneficial.
  • Smoking Cessation: Quitting smoking is one of the most impactful steps to protect vascular health.
  • Weight Management: Maintaining a healthy weight reduces the strain on the cardiovascular system.

Medical Management:

  • Strict Blood Pressure Control: This is the cornerstone of therapy. Achieving and maintaining target blood pressure levels is crucial.
  • Diabetes Management: Keeping blood sugar levels within a healthy range is vital for protecting vessel integrity.
  • Lipid-Lowering Therapy: Medications, such as statins, may be prescribed to manage cholesterol and reduce inflammation in vessel walls.
  • Antiplatelet Agents: In certain cases, doctors may prescribe medication to prevent clots, depending on the patient's specific risks.

It is important to emphasize that consistency is key. Managing these risk factors requires a long-term commitment. Regular check-ups with a primary care physician or a neurologist are essential to monitor progress and adjust treatment plans as necessary.

The Impact on Daily Life

Living with Small Vessel Disease can be challenging, particularly when it affects executive function and balance. Because these changes are often subtle, individuals may feel frustrated by their reduced ability to multitask or manage complex schedules. Recognizing these changes early can help individuals and their families adapt, implement cognitive strategies, and ensure safety, particularly regarding fall prevention. Physical therapy can be incredibly beneficial for addressing gait issues and improving balance, thereby reducing the risk of injuries.

Additionally, while the disease is a physical process, it can take an emotional toll. The uncertainty regarding future cognitive decline can cause anxiety. Seeking support from healthcare providers, support groups, or mental health professionals can provide valuable coping mechanisms. Focusing on what can be controlled—lifestyle habits and adherence to medical advice—helps empower individuals to maintain their independence and quality of life for as long as possible.

Addressing Small Vessel Disease effectively requires a proactive and consistent approach to overall vascular health. By managing hypertension, diabetes, and other cardiovascular risk factors, individuals can significantly impact the progression of this condition. While it may be a silent process, the cumulative effect of small, healthy lifestyle changes can be substantial in protecting cognitive function and maintaining brain health over the long term. Through close collaboration with medical professionals, individuals can navigate the implications of this diagnosis with a clear plan focused on mitigation, resilience, and sustained well-being.

Related Terms:

  • small vessel disease thalamus
  • severe small vessel disease nhs
  • severe small vessel disease
  • small vessel ischaemia nhs
  • small vessel heart disease symptoms
  • complications of small vessel disease