Small Knee Effusion

Small Knee Effusion

Discovering swelling in your joint can be a source of immediate concern, especially when you are unsure of the cause. A small knee effusion, often referred to by medical professionals as "water on the knee," occurs when excess fluid accumulates in or around the knee joint. While the term might sound intimidating, it is essentially the body's protective response to injury, inflammation, or underlying mechanical issues. Understanding what this condition entails, why it happens, and how to manage it is the first step toward regaining your mobility and comfort.

Understanding Small Knee Effusion

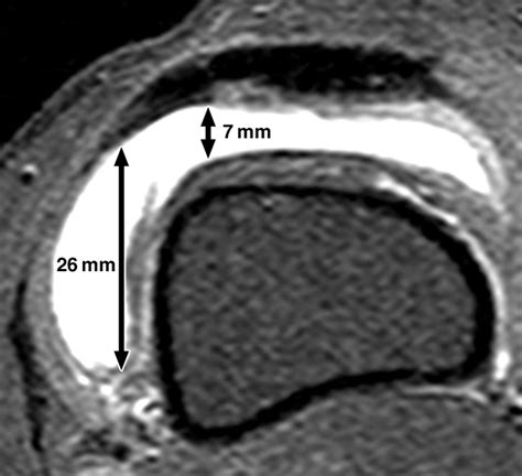
Anatomy of a knee joint showing potential fluid buildup

At its core, a small knee effusion is an accumulation of synovial fluid. Synovial fluid is a natural lubricant that keeps your knee moving smoothly. However, when the joint is irritated—due to trauma, overuse, or disease—the body produces more of this fluid than it can reabsorb. This creates a subtle swelling that you might notice as a slight tightness when bending the knee or a puffy appearance around the kneecap.

Unlike a massive effusion that restricts movement significantly, a minor case might be barely noticeable. You might still be able to walk, but you may experience a dull ache or a sensation of fullness. It is critical not to ignore these symptoms, as even a small knee effusion can serve as an early warning sign of deeper joint issues that could worsen if left untreated.

Common Causes of Fluid Buildup

The triggers for fluid buildup vary significantly depending on your activity level and medical history. Generally, the causes fall into three main categories: mechanical injuries, inflammatory conditions, and systemic illnesses.

  • Mechanical Injuries: Tears in the meniscus, ligament strains (like an ACL injury), or cartilage damage often trigger immediate inflammation.
  • Overuse: Repetitive activities, such as long-distance running or frequent stair climbing, can stress the joint tissues, leading to minor fluid accumulation.
  • Arthritis: Osteoarthritis is a frequent culprit. As the protective cartilage wears down, the joint becomes inflamed, leading to chronic, low-level effusion.
  • Crystalline Conditions: Conditions like gout or pseudogout can cause sudden, painful swelling.

⚠️ Note: If your knee is red, extremely hot to the touch, or if you have a fever, seek medical attention immediately, as these can be signs of a septic joint (infection).

Assessing and Diagnosing the Condition

To determine the cause of your small knee effusion, a healthcare professional will typically conduct a physical examination. They will check your range of motion, test the stability of your ligaments, and look for “bogginess” or tenderness around the patella.

Diagnostic Method What it Reveals
Physical Exam Checks for swelling patterns and joint instability.
X-rays Excludes bone fractures or severe arthritis.
MRI Provides clear images of soft tissues like ligaments and meniscus.
Arthrocentesis Draining fluid to analyze its composition for infection or gout.

Effective Management and Home Care

If your doctor determines that the effusion is minor and not related to a serious infection or major tear, they will likely recommend a conservative management plan. The goal is to reduce inflammation and allow the tissue to recover.

The R.I.C.E. Protocol remains the gold standard for immediate home care:

  • Rest: Give your knee a break from high-impact activities.
  • Ice: Apply cold packs for 15–20 minutes several times a day to restrict blood flow to the area and minimize swelling.
  • Compression: Use an elastic bandage or compression sleeve to provide support and limit fluid accumulation.
  • Elevation: Keep your knee raised above the level of your heart whenever possible to encourage fluid drainage.

💡 Note: Do not wrap your compression bandage too tightly, as this can cut off circulation and lead to increased swelling or nerve issues.

When to See a Specialist

While a small knee effusion can often be managed at home, there are specific scenarios where professional intervention is non-negotiable. If the swelling does not subside after a week of consistent home care, or if you experience “locking” of the knee, it is time to consult an orthopedist. Persistent fluid can stretch the joint capsule over time, leading to chronic instability or weakening of the surrounding muscles.

Long-term management might involve physical therapy to strengthen the quadriceps and hamstrings, which take the load off the knee joint. In some cases, anti-inflammatory medications or specialized knee braces are prescribed to maintain proper alignment and reduce the stress that causes the fluid buildup in the first place.

Preventing Future Episodes

Prevention is largely about managing joint stress. Maintaining a healthy weight is one of the most effective ways to reduce pressure on the knees. Additionally, focus on low-impact exercises—such as swimming or cycling—to keep the muscles surrounding the knee strong without subjecting the cartilage to excessive pounding. Always incorporate a proper warm-up and cool-down routine to ensure the synovial fluid is adequately distributed before you start intensive exercise.

Proper footwear also plays a significant role. Shoes with adequate arch support and cushioning help absorb shock, which prevents the secondary inflammation that often leads to a small knee effusion. By listening to your body’s signals and responding to minor aches with rest and care, you can prevent these small issues from developing into long-term orthopedic challenges.

Addressing a small knee effusion early is the most effective way to protect your joint’s long-term health. Whether the cause is a simple overuse injury or an underlying inflammatory process, the combination of rest, physical therapy, and professional guidance usually yields positive results. By paying attention to symptoms, adhering to recovery protocols, and modifying your activity levels to prioritize joint support, you can successfully reduce swelling and restore your natural range of motion. Remember that consistency in your rehabilitation efforts is just as important as the initial diagnosis, ensuring your knees remain resilient for years to come.

Related Terms:

  • small right knee joint effusion
  • what is small effusion
  • small knee joint effusion
  • small to moderate suprapatellar effusion
  • medium sized knee joint effusion
  • small joint effusion knee treatment