Skene Gland Cysts

Skene Gland Cysts

Understanding reproductive and gynecological health can sometimes feel overwhelming, especially when encountering unfamiliar medical terms. One such condition that often causes confusion or anxiety is the development of Skene Gland Cysts. These small, fluid-filled sacs, while generally benign, can cause significant discomfort and concern if left unmanaged. To better navigate this health concern, it is essential to understand what these glands are, why cysts form, and when it is time to seek professional medical advice.

What Are Skene Glands?

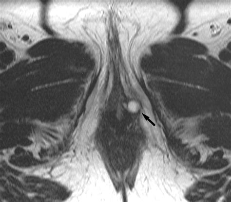
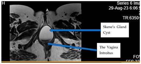
The Skene glands, also known as the paraurethral glands, are located on the anterior wall of the vagina, specifically around the lower end of the urethra. They are considered the female equivalent of the prostate gland in males. These glands are responsible for secreting a lubricating fluid that helps keep the urethral opening moist. When the ducts of these glands become obstructed or infected, the fluid cannot drain properly, leading to the formation of a Skene Gland Cyst.

While many people may go their entire lives without realizing they have these glands, issues arise when the ductal opening is blocked. This blockage causes the fluid to accumulate, eventually forming a visible or palpable lump. These cysts can vary in size, ranging from a small pea to a larger, more painful growth.

Common Symptoms of Skene Gland Cysts

Identifying the symptoms early can help in seeking timely medical care. Not every cyst will present with symptoms, but when they do, the experience can be quite uncomfortable. Common indicators include:

  • Localized pain or tenderness in the vulvar area, particularly near the urethral opening.
  • Discomfort during sexual intercourse (dyspareunia).
  • Difficulty or pain while urinating (dysuria).
  • A visible or palpable lump near the urethra.
  • Recurrent urinary tract infections (UTIs) in some cases.

It is important to note that if a cyst becomes infected, it may develop into an abscess. An abscess is often accompanied by more severe pain, redness, swelling, and sometimes even a fever. If you experience these symptoms, professional medical intervention is strictly necessary to prevent further complications.

Risk Factors and Causes

The primary cause of Skene Gland Cysts is the obstruction of the gland's duct. This can occur due to several factors:

  • Chronic irritation: Repeated friction or pressure in the genital area.
  • Bacterial infection: Sometimes, bacteria from the urethra or surrounding skin can enter the gland, causing inflammation and blockage.
  • Previous trauma: Surgical procedures or injuries to the vaginal area can sometimes lead to scar tissue that obstructs the duct.

💡 Note: While these cysts are not inherently related to sexually transmitted infections (STIs), it is always wise to be screened for infections if you are experiencing abnormal genital symptoms to ensure an accurate diagnosis.

Comparison of Genital Cysts

It is easy to confuse a Skene gland cyst with other types of cysts found in the female genital region. The following table provides a quick reference to help distinguish between common types:

Cyst Type Location Primary Cause
Skene Gland Cyst Near the urethra Obstructed paraurethral duct
Bartholin's Cyst Sides of the vaginal opening Obstructed Bartholin's gland
Epidermoid Cyst Skin of the vulva Trapped skin cells/keratin

Diagnosis and Treatment Options

If you suspect you have a cyst, the best approach is to visit a healthcare provider, such as a gynecologist. Diagnosis is usually straightforward and involves a physical pelvic examination. In some instances, if the doctor suspects an infection or a more complex mass, they may order imaging tests like an ultrasound or a biopsy to rule out other conditions.

Treatment for Skene Gland Cysts depends on the size and whether the cyst is symptomatic or infected:

  • Observation: If the cyst is small, asymptomatic, and not infected, the doctor may recommend simple monitoring.
  • Sitz Baths: Soaking the pelvic area in warm water several times a day can help soothe pain and may encourage a small cyst to drain on its own.
  • Incision and Drainage: For larger or painful cysts, a physician may perform a minor procedure to drain the fluid.
  • Marsupialization: In cases of recurring cysts, a surgeon might create a permanent opening to allow the gland to drain continuously, preventing future blockages.
  • Antibiotics: If the cyst is infected, your doctor will prescribe a course of antibiotics to clear the infection.

⚠️ Note: Do not attempt to pop or drain a cyst at home. This can lead to severe infection, increased pain, and unnecessary tissue damage.

When to See a Doctor

While many cysts are minor, you should prioritize a medical appointment if you notice any of the following:

  • Sudden increase in pain or swelling.
  • Discharge of pus from the area.
  • Fever or chills.
  • Difficulty urinating that prevents you from emptying your bladder completely.

Maintaining good hygiene and being aware of your body's normal anatomy can help you notice changes quickly. Because the area around the urethra is sensitive, prompt professional care ensures that you avoid unnecessary discomfort and potential complications associated with abscess formation.

Dealing with Skene Gland Cysts is a manageable part of women’s health when addressed with the right information and professional support. While the presence of a lump in the genital region can be alarming, these cysts are typically non-cancerous and treatable. By paying attention to persistent pain, changes in urinary habits, or physical discomfort, you can take proactive steps to maintain your overall gynecological health. Always remember that your healthcare provider is your best resource for accurate diagnosis and personalized treatment, ensuring that any concerns are addressed safely and effectively. Staying informed and seeking help when symptoms arise is the most effective way to care for your long-term well-being.

Related Terms:

  • skene gland cyst surgery
  • skene's glands and bartholin's
  • skene's gland cyst newborn
  • treatment of skene's gland cyst
  • skene gland cyst anatomy
  • skene gland and bartholin