Sinus Of Valsalva Aneurysm

Sinus Of Valsalva Aneurysm

A Sinus of Valsalva Aneurysm (SVA) is a rare but clinically significant cardiovascular condition that involves the localized dilation of the aortic root. Specifically, it occurs at the aortic sinuses—the small, anatomical pouches located between the aortic valve leaflets and the ascending aorta. While many individuals may live with a small, asymptomatic aneurysm for years, the potential for rupture or complications makes early detection and clinical understanding essential. Because the heart is a highly pressurized system, even minor structural abnormalities in the aortic root can lead to significant hemodynamic consequences if left unmonitored.

Understanding the Anatomy and Pathophysiology

To grasp the nature of a Sinus of Valsalva Aneurysm, one must first look at the aortic root. There are three sinuses of Valsalva, corresponding to the three cusps of the aortic valve: the right coronary sinus, the left coronary sinus, and the non-coronary sinus. An aneurysm typically develops due to a weakness in the wall of these sinuses, often caused by congenital factors or underlying connective tissue disorders.

The progression of these aneurysms is usually slow, but the risk lies in the thinning of the sinus wall, which can eventually bulge into surrounding heart chambers. In some cases, the aneurysm can dissect or rupture into the right atrium or right ventricle, creating a cardiac shunt that disrupts normal blood flow. Understanding the mechanical stress placed on these thin-walled structures is key to identifying who might be at higher risk for complications.

Common Causes and Risk Factors

While the exact etiology can vary, several factors contribute to the formation of a Sinus of Valsalva Aneurysm. These are broadly categorized into developmental (congenital) and acquired conditions:

  • Congenital Anomalies: Many SVAs are associated with a deficiency in the elastic tissue at the aortic root. This is often seen alongside other conditions like a ventricular septal defect (VSD) or bicuspid aortic valve.
  • Connective Tissue Disorders: Genetic conditions such as Marfan syndrome or Ehlers-Danlos syndrome weaken the collagen and elastic fibers, increasing the likelihood of vascular dilations.
  • Infectious Processes: Historically, bacterial endocarditis and syphilis were primary causes, though these are less common in modern clinical settings due to effective antibiotic treatments.
  • Inflammatory Conditions: Diseases like Behçet’s disease can lead to vasculitis, resulting in the weakening of the aortic wall structures.

⚠️ Note: If you or a loved one are diagnosed with a connective tissue disorder, annual echocardiographic screenings are vital to monitor any changes in the aortic root dimensions.

Clinical Symptoms and Presentation

Symptoms often depend on the size of the aneurysm and whether it has ruptured. Small, unruptured aneurysms are often asymptomatic and are usually discovered incidentally during routine imaging for other conditions. However, as the Sinus of Valsalva Aneurysm grows or if a rupture occurs, patients may experience:

  • Sudden onset of chest pain or palpitations.
  • Shortness of breath (dyspnea), especially during physical activity.
  • Fatigue and general malaise caused by reduced cardiac efficiency.
  • Syncope or fainting spells due to interrupted blood flow.
  • Development of a new heart murmur, which is often detected by a cardiologist during auscultation.

Diagnostic Modalities

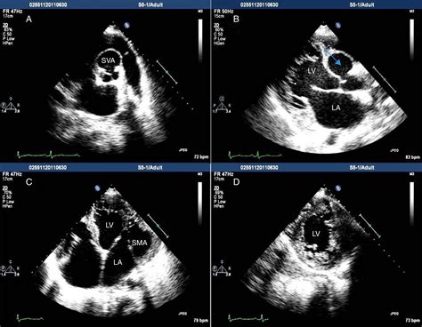
Modern medical imaging has made it significantly easier to identify and characterize an SVA. Cardiologists utilize several non-invasive and minimally invasive techniques to view the structure of the aorta and the integrity of the sinus walls:

Diagnostic Tool Purpose
Transthoracic Echocardiogram (TTE) The primary screening tool to visualize the aortic root and assess wall motion.
Transesophageal Echocardiogram (TEE) Provides highly detailed images of the sinuses, often used if the TTE is inconclusive.
Cardiac MRI/CT Angiography Used to map the exact dimensions of the aneurysm and its proximity to coronary arteries.
Cardiac Catheterization Generally used if surgery is planned to evaluate the coronary artery anatomy.

Treatment Options and Surgical Intervention

When a Sinus of Valsalva Aneurysm is diagnosed, the treatment plan is determined by the size, growth rate, and presence of symptoms. For stable, small aneurysms, "watchful waiting" with regular imaging is common. If the aneurysm shows signs of rapid expansion or has already ruptured, surgical intervention is necessary.

Surgical repair generally involves an open-heart procedure where the surgeon resects the aneurysmal tissue and patches the defect using synthetic material or pericardial tissue. In more complex cases, particularly those involving the aortic valve, a valve-sparing root replacement or a full composite valve graft may be required. Thanks to advances in cardiac surgery, these procedures have high success rates and favorable long-term outcomes for most patients.

💡 Note: Post-operative care requires lifelong follow-up to ensure the stability of the surgical repair and to monitor for any new developments in the surrounding aortic tissue.

Living with an Aortic Condition

Managing an aortic health issue requires a lifestyle focused on cardiovascular wellness. Patients are generally advised to maintain a healthy blood pressure, as hypertension puts unnecessary strain on the aortic wall. Smoking cessation is non-negotiable, as nicotine is a potent vasoconstrictor that increases arterial stress. Furthermore, engaging in regular, physician-approved aerobic exercise can help maintain heart health, although heavy weightlifting or high-intensity contact sports are typically discouraged due to the risk of sudden spikes in blood pressure.

Beyond lifestyle changes, emotional and psychological support is an important part of the journey. Receiving a diagnosis involving the heart can be overwhelming. Connecting with support groups or working with a therapist can provide the necessary tools to navigate the anxiety that often accompanies a chronic health monitoring process.

Final Thoughts

While a Sinus of Valsalva Aneurysm is a serious medical finding, it is not an insurmountable obstacle. With the aid of modern diagnostic tools and highly skilled surgical teams, the vast majority of patients can live long, fulfilling lives. The key to successful management lies in vigilance—ensuring that routine screenings are never skipped and that any changes in symptoms are reported to a healthcare provider immediately. By prioritizing heart health and staying informed about one’s specific anatomical condition, individuals can take proactive control of their cardiovascular well-being, effectively minimizing the risks associated with this rare structural anomaly. Ultimately, an early diagnosis followed by personalized, consistent care remains the strongest defense against the potential complications of this condition, reinforcing the importance of keeping a close watch on the heart’s delicate structures.

Related Terms:

  • aortic sinus of valsalva aneurysm
  • sinus of valsalva
  • sinus of valsalva aneurysm guidelines
  • sinus of valsalva aneurysm radiology
  • sinus of valsalva aneurysm radiopaedia
  • sinus of valsalva aneurysm echo