Single Tooth Implant

Single Tooth Implant

Losing a single tooth can feel like a significant disruption to both your confidence and your daily life. Whether due to injury, decay, or gum disease, a gap in your smile affects more than just your appearance; it impacts your ability to chew, speak clearly, and even the alignment of your remaining teeth. Fortunately, modern dentistry offers a gold-standard solution: the single tooth implant. This restorative procedure has revolutionized how we replace missing teeth, providing a durable, natural-looking, and functional alternative to traditional bridges or dentures. By understanding the process, benefits, and long-term value of this treatment, you can make an informed decision to restore your oral health and reclaim your smile.

What Exactly Is a Single Tooth Implant?

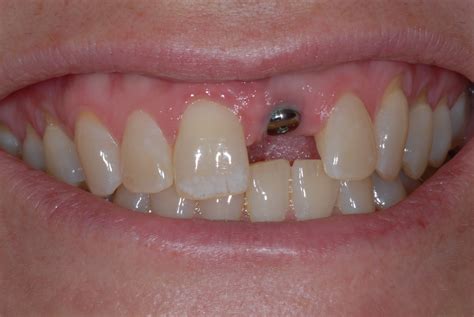
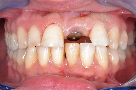
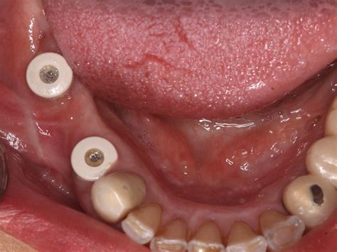
A single tooth implant is a sophisticated dental restoration designed to replace both the missing tooth's root and its crown. Unlike a dental bridge, which relies on adjacent healthy teeth for support, an implant is a standalone solution. It consists of three primary components:

  • The Implant Post: A small, screw-like titanium or zirconia post that is surgically placed into the jawbone. This acts as the artificial root.
  • The Abutment: A connector piece that is attached to the top of the implant post, acting as the base for the final restoration.
  • The Crown: The visible part of the tooth, custom-made to match the color, shape, and size of your natural teeth for a seamless appearance.

Because the implant fuses directly with the jawbone—a process known as osseointegration—it provides unparalleled stability and prevents the bone loss that typically occurs when a tooth root is missing.

Professional dental implant procedure

The Benefits of Choosing an Implant Over Other Options

When you have a missing tooth, you are often presented with several options, such as a removable partial denture or a fixed dental bridge. However, a single tooth implant is widely considered the superior choice for several reasons. Here is a comparison to help you understand why many patients prioritize implants:

Feature Single Tooth Implant Dental Bridge
Impact on Adjacent Teeth None; neighboring teeth remain untouched. Requires grinding down neighboring teeth for support.
Bone Health Stimulates bone and prevents resorption. Does not stimulate bone; bone loss continues.
Lifespan Often lasts a lifetime with proper care. Typically needs replacement every 10-15 years.
Comfort Feels and functions like a natural tooth. Can feel bulky or trap food underneath.

💡 Note: While implants represent a higher upfront investment, their longevity and ability to preserve surrounding bone structure often make them the most cost-effective solution over the span of a lifetime.

The Step-by-Step Procedure

The journey toward a restored smile typically takes place over several months. While the timeline can vary based on individual bone density and healing speed, the process generally follows these steps:

  1. Initial Consultation and Planning: Your dentist will perform a comprehensive exam, including 3D imaging (CBCT scan), to assess bone health and determine if you are a candidate for the procedure.
  2. Implant Placement: During a minor surgical procedure, the implant post is placed into the jawbone. This is usually done under local anesthesia, ensuring you remain comfortable.
  3. Osseointegration: This is the healing phase where your jawbone grows around the titanium post. This process typically takes three to six months.
  4. Abutment Placement: Once the implant is fully integrated, a small connector, known as an abutment, is attached to the post.
  5. Crown Restoration: Finally, a custom-made crown is placed atop the abutment. This crown is crafted in a dental lab to blend perfectly with your natural smile.

Maintaining Your Implant for Long-Term Success

One of the most appealing aspects of a single tooth implant is that it doesn’t require special maintenance beyond what you would perform on your natural teeth. However, because implants can still be affected by gum disease, consistency is key.

  • Brush and Floss Daily: Maintain a rigorous oral hygiene routine to prevent plaque buildup around the gum line.
  • Use Non-Abrasive Products: Use a soft-bristled toothbrush and non-abrasive toothpaste to protect the crown surface.
  • Schedule Regular Checkups: Visit your dentist every six months for professional cleanings and examinations to monitor the health of both the implant and your surrounding gums.
  • Avoid Damaging Habits: Do not use your teeth as tools to open packages or chew on ice, as this can potentially chip the crown.

💡 Note: If you have a history of smoking, it is highly recommended to quit before and during the healing process, as tobacco use significantly increases the risk of implant failure.

Who Is a Good Candidate?

Most healthy adults who have lost a tooth can successfully receive an implant. The primary requirement is having sufficient jawbone density to support the post. If you have experienced significant bone loss, your dentist may suggest a bone graft procedure before the implant can be placed. Additionally, your dentist will evaluate your overall health, including conditions like uncontrolled diabetes or autoimmune diseases, as these may impact the healing process. Open communication with your dental professional during your initial consultation is the most important step in determining your candidacy.

Deciding to replace a missing tooth is an investment in your long-term health and self-esteem. A single tooth implant stands out as the most reliable, durable, and aesthetically pleasing method for restoring your smile. By effectively mimicking the function of a natural tooth root, it safeguards your jawbone and prevents the shifting of adjacent teeth, preserving your overall dental alignment. While the process requires patience during the healing phase, the end result is a seamless, functional, and permanent restoration that allows you to eat, speak, and smile with renewed confidence. By prioritizing excellent oral hygiene and routine professional maintenance, you ensure that your implant remains a lasting part of your healthy smile for years to come.

Related Terms:

  • single tooth implant vs bridge
  • single tooth implant cost uk
  • single tooth implant cost canada
  • affordable single tooth implant
  • cheapest single tooth implant uk
  • single tooth implant book