Signet Ring Cells

Signet Ring Cells

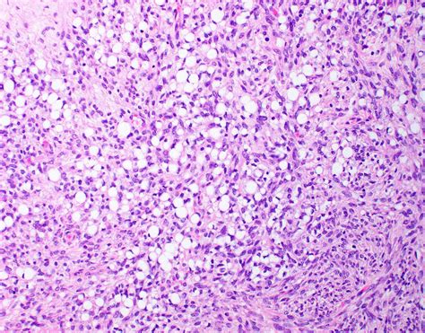
In the field of pathology and oncology, identifying specific cellular abnormalities is crucial for accurate diagnosis and determining the best course of treatment. Among these, Signet Ring Cells stand out due to their distinct appearance under a microscope. These cells are characterized by a large, central vacuole filled with mucin, which pushes the nucleus to the periphery, giving the cell a shape reminiscent of a traditional signet ring. Understanding what these cells represent, how they form, and the conditions associated with them is vital for both medical professionals and patients seeking clarity on diagnostic reports.

What Are Signet Ring Cells?

Signet Ring Cells are a specific type of abnormal cell often associated with certain forms of cancer, most notably adenocarcinoma. The "signet ring" appearance is not a type of cell in itself, but rather a morphological feature that a cell takes on due to the intracellular accumulation of mucin—a substance similar to mucus. As the mucin accumulates, it expands the cell's cytoplasm, effectively displacing the nucleus to the edge of the cell membrane. This structural change is a hallmark that pathologists look for when examining biopsy samples, as it often indicates a higher potential for malignancy and aggressiveness.

Conditions Associated with Signet Ring Cells

While the presence of these cells is a significant finding, it does not automatically equate to a specific diagnosis. However, they are most frequently identified in cancers originating in glandular tissues. The most common condition associated with these cells is Signet Ring Cell Carcinoma (SRCC), which is a rare but aggressive subtype of adenocarcinoma. Key areas where these cells are commonly found include:

  • Stomach (Gastric Cancer): This is the most common site for SRCC. It often infiltrates the stomach wall, making it harder to detect at early stages.
  • Colon and Rectum: While less common than in the stomach, SRCC can occur in the large intestine and often presents as a more advanced stage at the time of diagnosis.
  • Breast: Invasive lobular carcinoma can sometimes show signet ring features.
  • Bladder and Lungs: Though much rarer, SRCC can also originate in these organs.

⚠️ Note: The presence of Signet Ring Cells is usually a marker for a more aggressive tumor, which often requires a multi-disciplinary approach to treatment, including surgery, chemotherapy, or immunotherapy.

Diagnostic Process and Pathological Evaluation

The discovery of Signet Ring Cells typically occurs during a biopsy, where a tissue sample is removed and processed for histological examination. Pathologists use specialized staining techniques to confirm the presence and nature of these cells. For instance, stains like periodic acid-Schiff (PAS) are used to highlight the mucin within the cell, confirming its chemical composition. Understanding the density and distribution of these cells is essential for staging the cancer, which directly influences the treatment plan.

Diagnostic Feature Description
Microscopic Appearance Large mucin vacuole, eccentric nucleus
Common Primary Site Stomach (Gastric mucosa)
Biological Behavior Typically aggressive; infiltrative growth
Standard Testing Histopathology with mucin staining (e.g., PAS, Alcian Blue)

Treatment Strategies and Management

Because carcinomas containing these cells tend to be more invasive and less responsive to certain standard therapies, management strategies must be carefully tailored. Treatment is usually personalized based on the primary site of the tumor, the stage of the disease, and the patient’s overall health. Common therapeutic avenues include:

  • Surgical Resection: If the tumor is localized, surgery to remove the affected tissue or the entire organ may be the primary treatment.
  • Chemotherapy: Systemic chemotherapy is often utilized, especially in cases where the cancer is metastatic or advanced, to kill rapidly dividing cells.
  • Targeted Therapy: Recent advancements have allowed doctors to use drugs that specifically target genetic mutations found in certain types of Signet Ring Cell Carcinomas.
  • Radiation Therapy: While less common as a primary treatment for these specific carcinomas, it may be used to control symptoms or shrink tumors in specific locations.

💡 Note: Patients are encouraged to consult with an oncologist who specializes in the specific type of cancer associated with the Signet Ring Cells, as clinical trials or specialized systemic therapies may be available.

Prognosis and Outlook

The prognosis for a patient diagnosed with cancer containing Signet Ring Cells depends heavily on the stage of the disease at the time of discovery. Because these cells are known for their ability to spread through the lining of organs—a process called diffuse infiltration—they are often diagnosed at a later stage. However, early detection significantly improves the likelihood of successful outcomes. Medical research continues to focus on early screening methods, particularly for high-risk populations, and the development of targeted drugs that can specifically address the molecular drivers of these aggressive cells.

Gaining a deep understanding of cellular morphology, such as the unique structure of Signet Ring Cells, is fundamental in modern pathology. While these cells are indicators of potentially complex clinical scenarios, the integration of advanced diagnostic tools and personalized medical interventions continues to evolve, providing better pathways for patient care. It is essential for those affected to remain informed about their specific diagnosis and to engage closely with their healthcare team to navigate the complexities of treatment options. Through consistent monitoring and ongoing scientific advancements, the medical community remains dedicated to improving outcomes for those encountering these diagnostic findings.

Related Terms:

  • signet ring cell carcinoma causes
  • signet ring cell body fluid
  • signet ring cell cancer definition
  • signet ring cells gastric cancer
  • signet ring in body fluid
  • adenocarcinoma with signet ring cells