Signet Ring Cell

Signet Ring Cell

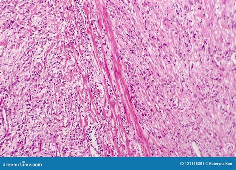
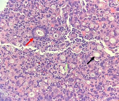
When reviewing pathology reports, patients and medical professionals may encounter the term Signet Ring Cell. Understanding what this means is crucial, as it refers to a specific appearance of cancer cells under a microscope. Named for their resemblance to a signet ring—a style of ring traditionally used to seal documents with wax—these cells possess a distinct morphology where the nucleus is pushed to one side by a large accumulation of mucin, a type of mucus. While the term describes a cellular shape rather than a specific disease, identifying these cells is a vital step in diagnosing certain types of aggressive cancers.

Understanding the Signet Ring Cell Morphology

The hallmark of a Signet Ring Cell is its unique structure. In a healthy cell, the nucleus is typically centered. However, in these specific cells, the cell produces an excessive amount of mucin. As this mucin builds up within the cytoplasm, it exerts pressure, displacing the nucleus toward the periphery of the cell membrane. This creates the classic look of a ring where the mucin-filled cytoplasm acts as the ring's body and the flattened, compressed nucleus acts as the jewel.

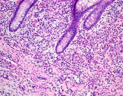
Pathologists identify these cells during histological examination, often using special stains like Periodic Acid-Schiff (PAS) to highlight the mucin content. Their presence is frequently associated with adenocarcinomas, a type of cancer that originates in glandular tissue.

Common Sites for Signet Ring Cell Carcinoma

While these cells can technically arise in various parts of the body, they are most frequently identified in specific organs. The clinical behavior and prognosis often depend heavily on the location of the primary tumor.

  • Stomach (Gastric): This is the most common site. Gastric signet ring cell carcinoma is known for being aggressive and is sometimes linked to hereditary diffuse gastric cancer.
  • Colon and Rectum: These cancers can occur in the gastrointestinal tract and often present with a more advanced stage at the time of diagnosis.
  • Breast: While rare, invasive lobular carcinoma of the breast can exhibit signet ring features.
  • Bladder and Lung: Although less common, these sites can also host tumors containing these cells.

Early detection remains the most significant factor in patient outcomes. Because these tumors can be diffuse—meaning they spread through the walls of an organ rather than forming a single, solid mass—they are often difficult to detect in the early stages using traditional imaging like CT scans or endoscopies.

Clinical Significance and Diagnostic Process

The detection of Signet Ring Cell carcinoma typically initiates a comprehensive diagnostic workup. Because these cells often grow in a scattered pattern rather than a cohesive mass, they can be elusive during biopsies. Medical teams utilize a combination of diagnostic modalities to confirm the diagnosis and determine the extent of the disease.

Diagnostic Method Purpose
Endoscopy / Colonoscopy Direct visualization and tissue biopsy of suspicious areas.
Immunohistochemistry (IHC) Using specific markers to identify the origin of the cancer cells.
CT / PET Scans Assessing the stage of the cancer and checking for metastasis.
Genetic Testing Checking for mutations like CDH1, especially in familial cases.

💡 Note: Always consult with an oncologist or pathologist to interpret these findings in the context of your specific medical history, as every case is unique.

Treatment Approaches and Management

Treating cancers characterized by Signet Ring Cell morphology requires a multidisciplinary approach. Because these cancers are often more resistant to standard chemotherapy compared to other subtypes, treatment plans are highly individualized.

Therapeutic strategies generally include:

  • Surgical Resection: When the cancer is localized, surgery to remove the affected organ or a portion of it is often the primary goal.
  • Systemic Chemotherapy: Used to shrink tumors before surgery or to control the spread of cells throughout the body.
  • Targeted Therapy: Depending on the genetic profile of the tumor, doctors may use medications designed to attack specific molecular markers.
  • Radiation Therapy: Occasionally used for symptom management or to treat localized areas of recurrence.

The field of oncology is rapidly evolving. Researchers are currently exploring how immunotherapy and advanced genomic profiling can offer better management options for patients with this specific cellular profile.

The Importance of Specialized Care

Given the aggressive nature often associated with Signet Ring Cell tumors, seeking care at a specialized cancer center is highly recommended. These institutions often have pathologists who specialize in gastrointestinal or rare cancers, ensuring the most accurate identification of the cells. Accurate staging is imperative, as treatment paths diverge significantly based on whether the disease is contained or has spread to the lymph nodes or distant organs.

💡 Note: Patients are encouraged to bring a family member or advocate to appointments to help manage the flow of information during complex treatment discussions.

Outlook and Future Research

Research into the molecular biology of Signet Ring Cell carcinomas is ongoing. Scientists are focusing on the cell adhesion molecules, specifically E-cadherin, which is frequently lost or mutated in these types of tumors. This loss of adhesion is precisely why these cells can migrate and spread through the tissue layers so effectively. By understanding this mechanism, researchers hope to develop new drugs that can restore cell adhesion or selectively target the metabolic pathways that these cells rely on for survival.

While the diagnosis of a malignancy involving these cells carries a serious prognosis, advances in personalized medicine are continuously improving how these conditions are managed. Ongoing clinical trials are evaluating new combinations of systemic treatments, providing hope for better long-term results. Patients should discuss available clinical trials with their healthcare providers, as these may offer access to cutting-edge therapies not yet available as a standard of care.

Recognizing the presence of a Signet Ring Cell in a pathology report serves as a critical indicator for medical teams to pursue a targeted, aggressive treatment strategy. By understanding the underlying biology—how these cells arise from mucus-producing glands and their tendency to infiltrate tissues in a diffuse manner—patients and providers can better navigate the diagnostic and therapeutic journey. While the path ahead can be challenging, the integration of genomic testing, multidisciplinary surgery, and evolving systemic therapies continues to shift the landscape of care. Staying informed, advocating for specialized consultation, and maintaining close communication with your oncology team remain the most effective ways to approach this diagnosis, ensuring that every aspect of the care plan is tailored to the specific needs of the individual.

Related Terms:

  • signet ring cell carcinoma survival
  • signet ring cell gastric adenocarcinoma
  • signet ring cell cancer pictures
  • signet ring cells gastric cancer
  • signet ring cell breast cancer
  • signet ring cell adenocarcinoma colon