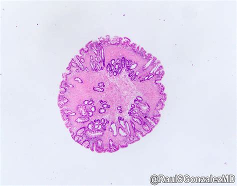
Sessile Serrated Adenoma

Sessile Serrated Adenoma

When undergoing a routine colonoscopy, receiving a diagnosis of a Sessile Serrated Adenoma—now more commonly referred to as a sessile serrated lesion (SSL)—can understandably cause alarm. However, understanding what these growths are and why they are identified is a critical component of proactive digestive health. These polyps are considered precursor lesions, meaning that if left undetected and unremoved, they have the potential to develop into colorectal cancer over time. Because they often possess a subtle, flat appearance that can be difficult to detect during standard screening, identifying and removing them promptly is a cornerstone of modern preventative medicine.

What is a Sessile Serrated Adenoma?

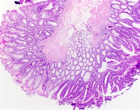
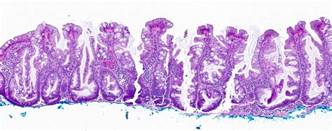
To understand a Sessile Serrated Adenoma, it helps to break down the medical terminology. "Sessile" indicates that the growth is flat or broad-based, rather than having a stalk like a mushroom. "Serrated" refers to the saw-toothed appearance of the cells when viewed under a microscope. Finally, an "adenoma" is a type of tumor, though in the context of colon polyps, it refers to a non-cancerous growth that, if left alone, may undergo genetic changes leading to malignancy.

These polyps are distinct from the more traditional "conventional adenomas." While conventional adenomas typically follow a well-documented pathway toward cancer, Sessile Serrated Adenomas follow what clinicians call the "serrated pathway." This pathway is significant because these lesions can progress to cancer more rapidly than other types, particularly if they are located in the right side of the colon.

The Importance of Early Detection and Screening

The primary goal of colorectal cancer screening is to find and remove polyps before they have the chance to transform into cancer. Because Sessile Serrated Adenomas are notoriously difficult to see, high-quality colonoscopy—performed by an experienced gastroenterologist—is vital. They often appear pale, are covered by a layer of mucus, or have a subtle change in the texture of the colon lining, which can make them camouflage against the surrounding healthy tissue.

Regular screening schedules are designed to account for these risks. Depending on your personal risk factors, family history, and the number or size of polyps found during a previous procedure, your doctor may recommend more frequent surveillance. Adhering to these intervals is essential for catching any new Sessile Serrated Adenoma formations before they pose a significant health risk.

Comparing Colon Polyp Types

It is helpful to understand how different types of polyps compare in terms of their risk profile. The table below outlines the primary differences to help clarify why your physician may prioritize the removal of a Sessile Serrated Adenoma.

Polyp Type Appearance Cancer Risk
Hyperplastic Polyp Small, often in the rectum Generally low
Sessile Serrated Adenoma Flat, subtle, often on the right side Higher (Precursor)
Conventional Adenoma Can be stalked or flat Moderate to High

Symptoms and Diagnosis

In the vast majority of cases, a Sessile Serrated Adenoma causes absolutely no symptoms. They do not typically bleed, cause pain, or interfere with bowel movements. This is precisely why screening colonoscopies are recommended even for individuals who feel perfectly healthy. When symptoms do appear—such as rectal bleeding, changes in stool consistency, or unexplained abdominal pain—it is often a sign that a polyp has already grown to a significant size or has progressed to a more advanced stage.

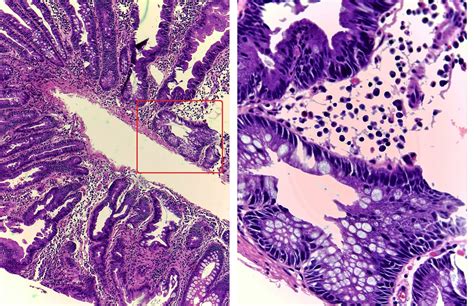
The diagnosis is made definitively during a colonoscopy. If your doctor spots a lesion, they will perform a polypectomy (the removal of the polyp) using specialized instruments passed through the colonoscope. The removed tissue is then sent to a pathology lab where a pathologist examines the cells under a microscope to confirm the diagnosis and ensure the margins are clear.

💡 Note: If a pathologist confirms a Sessile Serrated Adenoma, your gastroenterologist will likely shorten your recommended interval for your next colonoscopy to ensure any future lesions are managed early.

Risk Factors for Developing Polyps

While the exact cause of why some individuals develop more polyps than others is not always clear, several factors are known to increase the likelihood of developing these lesions:

  • Age: The risk increases significantly for individuals over the age of 45 to 50.
  • Family History: Having a first-degree relative who has had polyps or colorectal cancer increases your risk.
  • Lifestyle Factors: Diets high in red and processed meats, smoking, excessive alcohol consumption, and physical inactivity are linked to higher polyp formation.
  • Genetics: Certain inherited syndromes can predispose individuals to develop multiple polyps at a younger age.

The Procedure: Removal and Recovery

The removal of a Sessile Serrated Adenoma during a colonoscopy is a standard, safe, and highly effective procedure. Because the colon lining does not have pain receptors, the process itself is painless. Most patients are sedated, meaning they do not remember the procedure and feel no discomfort.

Once removed, the recovery is usually immediate. Because the polyp is taken out while you are already under the care of the medical team, there is no "post-surgery" recovery period at home other than recovering from the anesthesia used for the sedation. You are usually able to return to your normal diet and activities by the next day, though you will need someone to drive you home after the procedure due to the sedative medications.

💡 Note: Always follow your doctor's specific discharge instructions regarding activity levels and diet in the 24 hours immediately following your colonoscopy.

Prevention and Long-term Management

While you cannot necessarily prevent the development of a Sessile Serrated Adenoma through lifestyle changes alone, you can significantly reduce your risk of colorectal cancer through a combination of regular screenings and healthy habits. Maintaining a diet rich in fruits, vegetables, and fiber, staying physically active, and maintaining a healthy body weight are widely recommended strategies for overall digestive health. Furthermore, avoiding smoking and limiting alcohol intake can have protective effects on the lining of the digestive tract.

Managing the "serrated pathway" effectively comes down to the quality of the colonoscopy. Ensure that your doctor is using modern equipment, such as high-definition scopes, and that they take sufficient time to thoroughly inspect the entire lining of the colon. Proper bowel preparation is equally critical; if the colon is not completely clean, it is much easier for a flat Sessile Serrated Adenoma to remain hidden from view.

Understanding the nature of these lesions transforms them from a source of anxiety into a manageable health matter. By staying consistent with your doctor’s recommended screening schedule and prioritizing high-quality, comprehensive colonoscopies, you play an active role in preventing the progression of these polyps. Remember that detection is the single most effective tool available to prevent colorectal cancer, and staying informed is the first step in protecting your long-term health and wellbeing.

Related Terms:

  • sessile serrated adenoma polyp
  • adenomatous polyp
  • sessile serrated adenoma cancer risk
  • transverse polyp
  • sessile serrated lesion polyp
  • sessile serrated adenoma histology