Salter Harris Type Ii

Salter Harris Type Ii

Understanding pediatric bone injuries is essential for parents, coaches, and healthcare professionals alike. Among the various types of growth plate fractures, the Salter Harris Type II fracture stands out as the most common variety. When a child or adolescent experiences an injury near a joint, there is a distinct possibility that the growth plate, or physis, has been compromised. Because these areas are the engines of bone growth, improper diagnosis or delayed treatment can have long-term consequences on limb development. Recognizing the specific characteristics, symptoms, and treatment pathways for this injury is the first step in ensuring a healthy recovery for young patients.

What is a Salter Harris Type II Fracture?

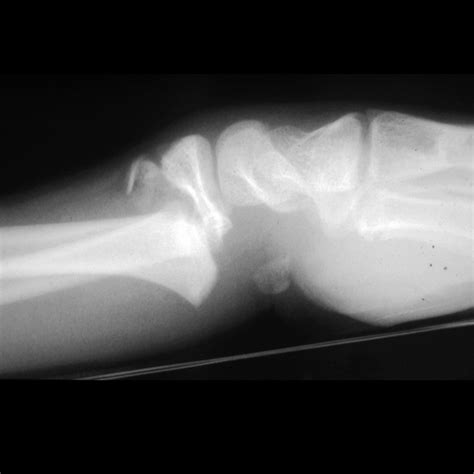
The Salter-Harris classification system is the gold standard for describing fractures involving the growth plate in children. A Salter Harris Type II fracture specifically describes a break that travels through the growth plate (physis) and exits through the metaphysis—the portion of the bone directly adjacent to the growth plate. This creates a characteristic triangular-shaped fragment of the metaphysis, often referred to as the Thurston Holland sign on an X-ray.

Because the fracture line moves through the physis and then splits the bone shaft, it essentially separates the growth plate from the main shaft of the bone while leaving the plate attached to the epiphysis (the end of the bone). This specific configuration is generally considered more stable than other types, such as Type III or IV, which cross into the joint space.

Key Characteristics and Common Causes

These fractures typically occur in adolescents whose growth plates are still active but nearing closure. The most frequent areas for a Salter Harris Type II injury include the distal radius (the wrist) and the distal tibia (the ankle). The injuries are usually caused by:

  • High-impact sports: Sudden twists, falls, or collisions during contact sports.
  • Falls: Landing awkwardly on an outstretched hand or rolling an ankle.
  • Accidents: Bicycle or playground mishaps that involve forceful shearing or bending movements.

Unlike adult fractures, where the bone is the weakest point, in children, the growth plate is often the most susceptible area to stress. When a sudden force is applied, the bone doesn't just snap; it shears through this weaker cartilaginous layer.

Diagnostic Procedures

Diagnosing a Salter Harris Type II fracture requires a clinical evaluation followed by medical imaging. Physicians will look for tenderness specifically localized to the growth plate area, accompanied by swelling and a potential deformity if the bone is significantly displaced. The following table highlights key diagnostic comparisons within the Salter-Harris system.

Classification Fracture Line Path Prognosis
Type I Through the growth plate only Generally excellent
Type II Through physis and metaphysis Good, rarely affects growth
Type III Through physis and epiphysis Variable, may affect joint
Type IV Through physis, metaphysis, and epiphysis Guarded, risk of growth arrest

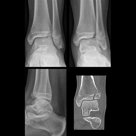
Radiographic evidence is crucial. While a standard X-ray will usually reveal the Salter Harris Type II fracture, subtle cases might require comparing the injured limb with the uninjured side. In some instances, the fracture may be nondisplaced, making it look like a simple soft tissue injury; however, if there is persistent pain, follow-up imaging is mandatory.

⚠️ Note: If a child has a persistent limp or limited range of motion after a fall, do not assume it is just a sprain. Even if the X-ray appears clear initially, swelling and pain over the growth plate warrant further investigation by an orthopedic specialist.

Treatment and Recovery Pathways

The primary goal in treating a Salter Harris Type II fracture is to restore the bone to its anatomical position and allow it to heal without complications. Because these fractures are usually stable, the treatment plan is often straightforward:

  • Closed Reduction: If the bone fragments are displaced, a doctor may manually manipulate the bone back into the correct alignment, usually under sedation or local anesthesia.
  • Immobilization: Use of a cast or splint is necessary to keep the bone stable during the initial healing process, typically lasting 4 to 6 weeks.
  • Monitoring: Periodic X-rays are taken to ensure the bone remains aligned and to monitor for any signs of premature growth plate closure.
  • Physical Therapy: Once the cast is removed, guided exercises help restore full range of motion and muscle strength.

In rare cases where the bone is severely displaced or cannot be aligned manually, surgical intervention with pins or screws may be required to hold the growth plate in the correct position until healing occurs.

Long-term Prognosis and Growth Considerations

The prognosis for a Salter Harris Type II injury is typically very positive. Because the blood supply to the growth plate is generally preserved during this type of fracture, the risk of "growth arrest" or stunted limb development is significantly lower than in other classifications. Most children return to full athletic participation within a few months, provided the rehabilitation process is followed diligently.

However, parents should be aware of "red flag" symptoms during the recovery period. If the child reports increasing pain, numbness, or if the limb appears to be growing at a different rate than the non-injured side over the following months, a follow-up consultation with a pediatric orthopedic surgeon is essential.

⚠️ Note: Always follow the specific immobilization timeline provided by the medical team. Removing a cast or splint early—even if the child feels "fine"—can cause the healing bone to shift, leading to permanent misalignment.

Final Thoughts

Managing a Salter Harris Type II fracture is a routine part of pediatric orthopedic care. By recognizing the symptoms early and seeking professional medical guidance, parents can ensure that these common injuries do not become long-term concerns. With proper immobilization and adherence to follow-up care, the majority of young patients achieve a full recovery with no impact on their physical development. Vigilance in the immediate aftermath of an injury and patience during the healing phase remain the most effective strategies for long-term bone health.

Related Terms:

  • displaced salter harris 2 fracture
  • salter harris 2 wikem
  • distal radius salter harris 2
  • salter harris 2 fracture toe
  • salter 2 harris fracture
  • salter harris classification type 2