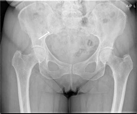
Sacral Insufficiency Fracture

Sacral Insufficiency Fracture

Experiencing persistent, deep-seated lower back or pelvic pain can be alarming, especially when it seems to appear without a clear history of major trauma. For many individuals, particularly older adults or those with weakened bone density, the culprit may be a Sacral Insufficiency Fracture (SIF). This condition occurs when the sacrum—the triangular bone at the base of the spine—develops tiny cracks due to normal stress applied to bones that have lost their structural integrity. Unlike acute fractures caused by high-impact injuries, a sacral insufficiency fracture is a fragility fracture, meaning the bone simply gives way under the weight of everyday activities.

Understanding the Causes and Risk Factors

The primary mechanism behind a Sacral Insufficiency Fracture is bone fragility, most commonly driven by conditions that weaken the skeletal structure. When the bone’s internal architecture is compromised, the natural forces of gravity and movement are enough to cause micro-fractures, which eventually coalesce into a full fracture.

Several key factors increase the risk of developing these fractures:

  • Osteoporosis: The most significant risk factor, as it drastically reduces bone mineral density.
  • Advanced Age: Bone density naturally declines with age, making the sacrum more susceptible.
  • Long-term Corticosteroid Use: Medications like prednisone can interfere with bone metabolism.
  • Prior Radiation Therapy: Pelvic radiation for cancer treatment can weaken the bone tissue over time.
  • Rheumatoid Arthritis: Chronic inflammatory conditions can accelerate bone loss.
  • Female Gender: Women, particularly post-menopausal women, have a higher statistical prevalence of these fractures.

💡 Note: A Sacral Insufficiency Fracture is often misdiagnosed as simple sciatica or muscle strain because the pain patterns are very similar, delaying proper diagnosis and treatment.

Recognizing the Symptoms of a Sacral Insufficiency Fracture

Recognizing the symptoms early is critical for effective management. Because the sacrum is deep within the pelvis, the pain associated with a Sacral Insufficiency Fracture is often diffuse and difficult to pinpoint. Patients frequently describe the discomfort as a dull ache in the lower back, buttocks, or groin.

Common symptoms include:

  • Localized pain: Tenderness directly over the sacral region or deep in the gluteal area.
  • Pain with movement: Difficulty transitioning from sitting to standing or significant pain while walking.
  • Radicular symptoms: Occasionally, the pain may radiate down the legs, mimicking nerve impingement.
  • Night pain: Disturbed sleep due to the inability to find a comfortable position.

Diagnostic Approaches

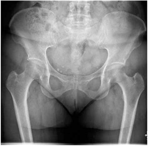
Diagnosing an SIF requires a high index of suspicion from healthcare providers, as standard X-rays often miss these fractures, especially in the early stages. More advanced imaging is typically necessary to confirm the diagnosis.

Imaging Modality Effectiveness for SIF
X-Ray Low sensitivity; often shows normal results even when a fracture exists.
MRI Gold standard; highly sensitive in detecting bone marrow edema and fracture lines.
CT Scan Good for visualizing the fracture line, but less sensitive than MRI for early stages.
Bone Scan Sensitive, but provides less anatomical detail than MRI or CT.

Treatment and Management Strategies

The management of a Sacral Insufficiency Fracture is primarily conservative, focusing on pain management and mobilization to prevent secondary complications associated with prolonged bed rest. Because these fractures are usually a result of underlying bone fragility, addressing the root cause is just as important as healing the fracture itself.

Conservative Management Steps

  1. Pain Control: Utilization of non-narcotic analgesics or physical therapy-guided pain management.
  2. Mobilization: Using assistive devices like walkers or canes to offload the sacrum during the initial healing phase.
  3. Physical Therapy: Gentle, structured strengthening exercises once the acute pain subsides to stabilize the pelvis and spine.
  4. Bone Health Optimization: Evaluation for osteoporosis, which often includes initiating treatments like bisphosphonates or calcium/vitamin D supplementation.

💡 Note: In cases where conservative measures fail, or if the pain is debilitating, specialized procedures like sacroplasty—where bone cement is injected into the sacrum—may be considered by a qualified specialist.

Prevention and Long-term Bone Health

Preventing a recurrence of a Sacral Insufficiency Fracture involves a holistic approach to maintaining bone strength. Since these fractures are often a sentinel event—a warning sign that the skeleton is weak—it is vital to work closely with an endocrinologist or rheumatologist to manage bone density.

Preventative strategies should include:

  • Regular Bone Density Scans (DEXA): Monitoring the progression of osteoporosis.
  • Nutrition: Ensuring adequate intake of calcium and vitamin D through diet or supplementation.
  • Weight-bearing Exercise: Engaging in safe, low-impact exercise to stimulate bone remodeling.
  • Fall Prevention: Assessing the home environment to reduce the risk of accidental falls.

Understanding Sacral Insufficiency Fracture is the first step toward effective treatment and recovery. While the diagnosis can be daunting due to the nature of the pain and the limitations it imposes, most patients experience significant improvement with a focused, multidisciplinary approach. By prioritizing pain management, stabilizing the sacrum through conservative measures, and actively treating underlying bone density issues, individuals can regain mobility and improve their quality of life. Consistent follow-ups and a commitment to long-term skeletal health are essential to prevent future fragility fractures and ensure sustained mobility as one ages.

Related Terms:

  • sacral insufficiency fracture icd
  • sacral insufficiency fracture radiopaedia
  • sacral insufficiency fracture orthobullets
  • sacral insufficiency fracture management
  • sacral ala fracture
  • sacral insufficiency fracture wikem