Rupture Of The Gallbladder

Rupture Of The Gallbladder

The rupture of the gallbladder, clinically referred to as gallbladder perforation, is a severe and life-threatening medical emergency that demands immediate surgical intervention. While the gallbladder is a relatively small organ responsible for storing bile produced by the liver, its walls can become compromised due to prolonged inflammation, infection, or the presence of gallstones. When the wall of the gallbladder breaches, it allows bile, infected material, and sometimes gallstones to spill into the abdominal cavity, leading to widespread inflammation of the peritoneum, known as peritonitis. Recognizing the symptoms and understanding the risk factors is crucial, as this condition carries a high mortality rate if left untreated.

Understanding the Causes of Gallbladder Perforation

A rupture of the gallbladder rarely occurs spontaneously in a healthy individual. It is almost always a complication of acute cholecystitis, which is the inflammation of the gallbladder, typically caused by gallstones blocking the cystic duct. Over time, the pressure within the gallbladder increases as bile becomes trapped, leading to ischemia (lack of blood flow) and necrosis (tissue death) of the gallbladder wall. Once the wall becomes necrotic, it can perforate.

Several factors increase the likelihood of this severe complication, including:

  • Prolonged untreated cholecystitis: Delaying medical care for gallstone symptoms significantly increases the risk of wall perforation.
  • Advanced age: Elderly patients may present with atypical or milder symptoms, causing a delay in diagnosis.
  • Diabetes mellitus: Diabetic patients often experience more severe complications and faster progression of gallbladder disease.
  • Vascular disease: Conditions that impair blood flow can accelerate tissue necrosis in the gallbladder wall.
  • Immune suppression: Compromised immune systems can lead to more aggressive infections within the gallbladder.

Signs and Symptoms to Watch For

The clinical presentation of a rupture of the gallbladder can be deceptive. While some patients experience a sudden, dramatic onset of agonizing abdominal pain, others—particularly the elderly or those with diabetes—may have more subtle symptoms. This makes early detection challenging for medical professionals.

Common clinical features include:

  • Severe, persistent abdominal pain: Usually located in the upper right quadrant, but it may become generalized as the perforation causes peritonitis.
  • High fever and chills: Indicative of an active infection or sepsis.
  • Nausea and vomiting: Often severe and persistent.
  • Abdominal rigidity: A classic sign of peritonitis where the abdominal muscles become stiff and tender to the touch.
  • Jaundice: Yellowing of the skin and eyes, which may indicate a blocked bile duct.
  • Signs of sepsis: Including rapid heart rate (tachycardia), low blood pressure (hypotension), and confusion.

⚠️ Note: If you or someone you know experiences sudden, intense abdominal pain accompanied by a high fever or signs of shock, seek emergency medical care immediately. Do not wait for symptoms to subside, as a rupture requires urgent surgical intervention.

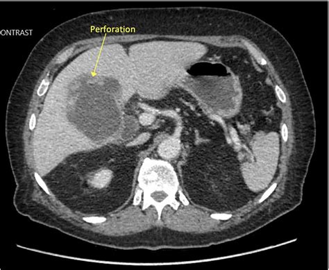
Diagnostic Procedures and Imaging

Diagnosing a rupture of the gallbladder is complex because symptoms can mimic other abdominal emergencies like a perforated ulcer or pancreatitis. Doctors rely on a combination of physical examination, laboratory tests, and advanced imaging techniques to reach a diagnosis.

The primary diagnostic tools include:

Diagnostic Tool Purpose in Diagnosis
Blood Tests Checks for elevated white blood cell counts (infection) and abnormal liver function tests.
Ultrasound The initial imaging choice to detect gallstones, thickened gallbladder walls, and pericholecystic fluid.
CT Scan Provides more detailed images; often used to identify free fluid or air in the abdominal cavity indicating perforation.
HIDA Scan Used in complex cases to assess the functionality of the gallbladder and the presence of leaks.

Surgical Treatment and Management

The standard treatment for a rupture of the gallbladder is an emergency cholecystectomy, which is the surgical removal of the gallbladder. In many cases, this is performed via laparoscopic surgery (minimally invasive), though an open surgical approach may be necessary if the infection is severe, if there is significant scarring, or if the patient is unstable.

During the procedure, the surgeon will:

  • Remove the damaged and perforated gallbladder.
  • Thoroughly irrigate and clean the abdominal cavity to remove infected bile and debris.
  • Drain the area if necessary to prevent the formation of abscesses.

Post-operative care is equally critical and involves the administration of intravenous broad-spectrum antibiotics to combat the infection, fluid resuscitation to manage blood pressure, and pain management. Patients are closely monitored for signs of ongoing infection or systemic complications like sepsis.

💡 Note: While surgery is essential, recovery time varies based on the patient's overall health and the extent of the infection at the time of the operation. Full recovery typically involves a period of rest and specific dietary adjustments post-surgery.

Prevention and Risk Reduction

The most effective strategy to prevent a rupture of the gallbladder is the timely management of gallstones and cholecystitis. If you are diagnosed with symptomatic gallstones, it is crucial to follow the treatment plan recommended by your physician, which often includes elective gallbladder removal before complications arise.

Adopting a healthy lifestyle may also help reduce the risk of developing gallstones in the first place:

  • Maintain a healthy weight: Obesity is a major risk factor for gallstone formation.
  • Eat a balanced diet: Incorporate high-fiber foods and healthy fats while limiting excessive refined carbohydrates and unhealthy fats.
  • Avoid rapid weight loss: Losing weight too quickly can increase the risk of gallstone formation.
  • Regular physical activity: Helps maintain a healthy metabolism and body weight.

Ultimately, a rupture of the gallbladder is a critical medical event that underscores the importance of not ignoring persistent abdominal discomfort. Because the condition can progress rapidly from simple inflammation to a life-threatening rupture, prompt medical attention is the single most important factor in ensuring a positive outcome. Early recognition of warning signs—such as severe, unrelenting pain in the upper right abdomen, accompanied by high fever or systemic illness—should prompt immediate evaluation in an emergency department. By addressing underlying gallstone disease before it progresses to complications, patients can avoid the risks associated with this severe condition. Through advanced imaging and prompt surgical intervention, medical teams can effectively treat a ruptured gallbladder, but prioritizing preventative care and listening to your body’s signals remains the best approach to maintaining long-term health.

Related Terms:

  • gallbladder infection symptoms
  • gallbladder rupture symptoms
  • gallbladder rupture ultrasound
  • life expectancy after gallbladder rupture
  • gallbladder rupture treatment
  • gallbladder rupture causes