Rotator Cuff Interval

Rotator Cuff Interval

The shoulder joint is a masterpiece of biological engineering, relying on a complex arrangement of muscles, tendons, and ligaments to provide an incredible range of motion. At the heart of this stability lies the rotator cuff interval, a critical, yet often overlooked, anatomical landmark. Understanding this specific region is essential for orthopedic surgeons, physical therapists, and patients dealing with shoulder pain, as it serves as a common site for pathology and a frequent target for surgical intervention. By exploring the anatomy, clinical significance, and treatment approaches related to this area, we can gain a deeper appreciation for how such a small space impacts overall shoulder function.

Anatomy of the Rotator Cuff Interval

The rotator cuff interval is a triangular space located in the anterior-superior aspect of the shoulder joint. It is bordered by the superior margin of the subscapularis tendon and the anterior margin of the supraspinatus tendon. The base of this triangle is formed by the coracoid process, while the apex extends toward the intertubercular groove of the humerus. Several vital structures traverse this interval, playing a pivotal role in shoulder stability:

  • Coracohumeral Ligament (CHL): A primary stabilizer that prevents inferior translation of the humeral head.
  • Superior Glenohumeral Ligament (SGHL): Provides resistance to external rotation and helps secure the humeral head.
  • Long Head of the Biceps Tendon (LHBT): Travels through the interval before entering the joint space, acting as a dynamic stabilizer.

Because this area lacks the thick, muscular coverage found in other parts of the cuff, it is inherently weaker. This anatomical vulnerability makes it a frequent site for injury, particularly in patients who perform repetitive overhead movements or suffer from chronic shoulder instability.

Clinical Significance and Pathology

Pathology within the rotator cuff interval can lead to a variety of debilitating shoulder conditions. When the delicate balance of the ligaments and tendons within this space is disrupted, patients often experience significant pain and functional impairment. Common issues associated with this region include:

  • Adhesive Capsulitis (Frozen Shoulder): Fibrosis and thickening of the ligaments within the interval are hallmarks of this condition, leading to severe restriction in external rotation.
  • Biceps Tendinitis: Inflammation of the biceps tendon as it passes through the interval can cause sharp, localized pain in the anterior shoulder.
  • Rotator Cuff Tears: Tears extending into the interval area can compromise the structural integrity of the shoulder, often requiring surgical repair.
  • Shoulder Instability: Laxity of the coracohumeral and superior glenohumeral ligaments can result in abnormal humeral head translation, leading to a feeling of the shoulder "popping" or slipping.

⚠️ Note: Chronic pain in the anterior shoulder that does not improve with rest should be evaluated by a medical professional to rule out tears or adhesive capsulitis in the interval region.

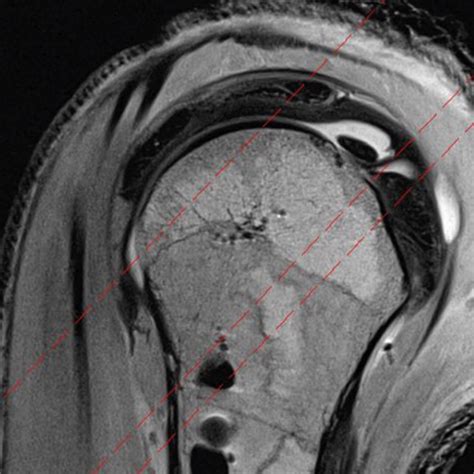
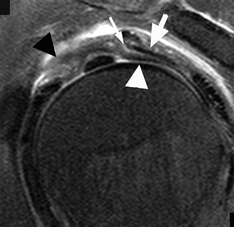
Diagnostic Imaging and Evaluation

Accurately diagnosing conditions affecting the rotator cuff interval requires a combination of physical examination and advanced imaging. Physicians typically begin with clinical tests to isolate the function of the biceps tendon and the rotator cuff muscles. However, because the interval is deep, imaging is vital for a definitive diagnosis.

Imaging Modality Clinical Utility
Magnetic Resonance Imaging (MRI) The gold standard for visualizing soft tissue, ligamentous thickening, and interval tears.
Ultrasound Useful for dynamic assessment of the biceps tendon and real-time visualization of cuff movements.
Magnetic Resonance Arthrography (MRA) Provides enhanced detail by injecting contrast into the joint, ideal for detecting minor labral or interval ligament tears.

Treatment Modalities

Treatment for rotator cuff interval pathology is typically conservative at first. For conditions like adhesive capsulitis, the focus is on restoring range of motion and reducing inflammation. Surgical intervention is usually reserved for cases where conservative measures have failed or where there is a significant structural tear.

Conservative Management:

  • Physical Therapy: Focused stretching to address tightness in the interval and strengthening of the periscapular muscles to improve overall shoulder biomechanics.
  • Anti-inflammatory Medication: NSAIDs are often used to reduce pain and swelling associated with biceps tendinitis.
  • Corticosteroid Injections: May be used cautiously to reduce severe inflammation, though they are rarely a long-term solution.

Surgical Management:

When surgery is required, arthroscopic techniques are preferred. Surgeons may perform a rotator cuff interval release in cases of severe frozen shoulder to release the tightened coracohumeral ligament. Conversely, in cases of instability or large tears, the interval may be closed or reinforced to restore stability to the humeral head.

💡 Note: Post-operative rehabilitation is crucial for success. Following a surgeon's specific protocol regarding immobilization and the gradual reintroduction of movement is essential to prevent stiffness or failure of the repair.

Preventing Shoulder Complications

Maintaining shoulder health involves regular, balanced strengthening exercises that do not overload the shoulder joint. Athletes, particularly swimmers, tennis players, and weightlifters, are at higher risk of developing rotator cuff interval issues due to the repetitive nature of their activities. Incorporating shoulder stabilization exercises, such as external rotation drills and scapular retraction, can help maintain the integrity of the ligaments within the interval. Additionally, ensuring proper form during overhead lifting is vital to minimizing stress on the anterior-superior structures of the shoulder.

The rotator cuff interval represents a fascinating intersection of anatomy and pathology. While it is a relatively small anatomical space, its role in stabilizing the shoulder and facilitating smooth joint motion is profound. Recognizing the signs of dysfunction in this area—ranging from localized anterior pain to restricted external rotation—is the first step toward effective management. Through a combination of precise diagnostic imaging, targeted physical therapy, and, when necessary, advanced surgical techniques, individuals suffering from shoulder dysfunction can often return to pain-free activity. Ultimately, respecting the complexity of this region through proactive care and informed medical treatment is the best strategy for preserving shoulder health for the long term.

Related Terms:

  • rotator interval diagram
  • rotator interval anatomy diagram
  • rotator cuff shoulder interval
  • why rotator interval is important
  • normal rotator cuff interval mri
  • rotator cuff interval anatomy