Rocker Bottom Feet

Rocker Bottom Feet

If you have ever noticed that your feet appear curved, similar to the underside of a rocking chair, you might be dealing with a condition known as Rocker Bottom Feet. While the term sounds like a specialized footwear trend, it is actually a significant medical diagnosis that describes a specific structural deformity of the foot. This condition, often characterized by a convex shape where the arch should be, can lead to various biomechanical issues, discomfort, and difficulty with daily mobility. Understanding the mechanics, causes, and treatment options for this deformity is essential for anyone experiencing foot-related pain or gait abnormalities.

Understanding the Mechanics of Rocker Bottom Feet

Foot anatomy overview

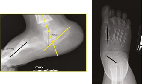
The term Rocker Bottom Feet, or congenital vertical talus in medical terminology, refers to a foot deformity where the talus bone (the main bone in the ankle joint) is locked in a fixed position. Because the bone is pushed into an abnormal angle, the foot cannot flatten or bend normally. Instead of a natural arch, the middle part of the foot curves downward, touching the ground when the individual stands.

This condition creates a rigid foot structure that lacks the typical flexibility needed for walking. As a result, the foot cannot properly absorb shock during the gait cycle. Instead of a smooth "heel-to-toe" transition, individuals with this condition experience an altered gait that can strain the ankles, knees, and even the lower back over time.

Causes and Diagnostic Criteria

In many cases, this condition is congenital, meaning it is present at birth. However, in adults, the appearance of a rocker bottom shape can sometimes develop due to secondary factors such as severe flatfoot (pes planus), neurological conditions, or long-term complications from diabetes. Diagnosing the deformity usually involves a combination of physical examinations and imaging studies:

  • Clinical Examination: A podiatrist or orthopedic surgeon will observe how the foot bears weight and check for joint rigidity.
  • X-ray Imaging: This is the gold standard for diagnosis. Lateral (side-view) X-rays are typically used to measure the alignment of the talus and calcaneus bones.
  • Gait Analysis: Observing how the foot moves while walking helps professionals determine the impact of the deformity on the patient’s overall mechanics.

⚠️ Note: If you notice sudden changes in the shape of your feet, especially if you have underlying conditions like diabetes or Charcot neuroarthropathy, seek professional medical advice immediately to prevent permanent tissue damage.

Comparing Foot Structures

To better understand the severity of this condition, it helps to compare it against other common foot shapes. The following table highlights the primary differences in structure and clinical implications.

Foot Type Structural Characteristic Primary Impact
Normal Arch Balanced curve Efficient shock absorption
Flat Foot (Pes Planus) Collapse of the medial arch Overpronation
Rocker Bottom Convex shape/Vertical talus Rigidity and gait imbalance

Treatment Options and Management Strategies

The approach to treating Rocker Bottom Feet depends heavily on the patient’s age and the severity of the deformity. For infants, early intervention is crucial, while adults usually focus on pain management and improving mobility through orthopedic support.

Non-Surgical Interventions

For individuals who have mild symptoms or those for whom surgery is not an immediate option, conservative management is the first line of defense. This includes:

  • Custom Orthotics: Specially designed shoe inserts that help redistribute pressure away from the peak of the rocker deformity.
  • Specialized Footwear: Shoes with a wider base and extra depth can accommodate the abnormal curvature of the foot.
  • Physical Therapy: Targeted exercises designed to strengthen the stabilizing muscles in the lower leg and ankle.
  • Bracing: In some instances, wearing an ankle-foot orthosis (AFO) can provide the necessary stability to prevent further structural degradation.

Surgical Approaches

When conservative treatments fail to provide relief or if the deformity is severe, surgical intervention may be required. The goal of surgery is to realign the bones in the foot and restore a more natural arch. This often involves procedures such as:

  • Soft Tissue Release: Loosening tight tendons that are pulling the bones into the incorrect position.
  • Bone Realignment (Osteotomy): Cutting and repositioning bones to fix the structural angle.
  • Arthrodesis: Fusing specific joints to provide long-term stability in cases of severe arthritis or chronic instability.

Long-term Outlook and Mobility

Living with Rocker Bottom Feet requires consistent management, but it does not mean an end to physical activity. With the right support, many individuals maintain a good quality of life. The key is to reduce the mechanical stress placed on the midfoot. Avoiding high-impact activities on hard surfaces, choosing supportive footwear, and staying consistent with physical therapy can significantly reduce the risk of secondary complications such as chronic foot ulcers or joint pain in the knees and hips.

Always prioritize your foot health by wearing supportive shoes that provide adequate cushioning. If you find yourself experiencing persistent pain or noticing that your shoes are wearing down unevenly, it is a sign that your foot mechanics require professional assessment. Early identification of structural issues allows for more effective, less invasive treatment options, ensuring you can stay active and comfortable for years to come.

Managing this condition is essentially about providing your body with the foundation it lacks. By utilizing orthotics, appropriate physical therapy, and consistent check-ups with a specialist, the challenges associated with this deformity can be mitigated. Remember that foot health is integral to overall wellness, as the way you stand and walk affects every other joint in your body. Taking proactive steps today will help preserve your mobility and prevent the progression of structural issues, allowing you to move through life with greater stability and less pain.

Related Terms:

  • rocker bottom feet ultrasound
  • rocker bottom feet edwards syndrome
  • rocker bottom feet definition
  • rocker bottom feet orthobullets
  • rocker bottom feet charcot
  • what causes rocker bottom feet