Retenedores De Dientes

Retenedores De Dientes

El proceso de ortodoncia es un viaje transformador que requiere paciencia y compromiso, pero el trabajo no termina cuando te retiran los brackets. Una vez que tus dientes han sido alineados, entramos en la fase más crítica para garantizar que los resultados duren toda la vida: el uso de retenedores de dientes. Muchas personas cometen el error de pensar que, al quitarse la aparatología fija, sus dientes se mantendrán en esa posición perfecta de manera automática, sin embargo, la memoria biológica de los tejidos periodontales tiende a empujar las piezas dentales de regreso a su ubicación original. Comprender el papel vital de estos dispositivos es fundamental para proteger la inversión de tiempo y dinero que has realizado en tu sonrisa.

¿Qué son exactamente los retenedores de dientes?

Los retenedores de dientes son aparatos ortodónticos, ya sean fijos o removibles, diseñados específicamente para mantener las piezas dentales en su nueva posición después de haber finalizado un tratamiento de ortodoncia. Durante los meses que llevas brackets o alineadores transparentes, el hueso y los ligamentos que sostienen tus dientes se han remodelado. Al retirar la presión constante, estos tejidos necesitan tiempo para estabilizarse en su nueva estructura. Los retenedores actúan como una "red de seguridad", impidiendo que los dientes se muevan involuntariamente mientras el hueso termina de endurecerse a su alrededor.

Tipos principales de retenedores

Existen varias opciones disponibles, y la elección dependerá de las recomendaciones de tu ortodoncista, quien evaluará tu caso clínico particular. A continuación, presentamos los tipos más comunes:

  • Retenedores Hawley: Son los clásicos, fabricados con una base de acrílico que se ajusta al paladar y un arco metálico que rodea los dientes frontales. Son altamente duraderos y permiten un ligero asentamiento de la mordida.
  • Retenedores transparentes (tipo Essix): Parecidos a los alineadores invisibles, están hechos de un plástico transparente moldeado a medida. Son estéticos y muy discretos, lo que los hace los favoritos entre los adultos.
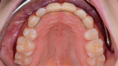
  • Retenedores fijos: Consisten en un alambre delgado adherido permanentemente en la cara interna de los dientes anteriores (generalmente de canino a canino). Son excelentes porque trabajan las 24 horas del día sin riesgo de olvido.

Tabla comparativa de opciones de retención

Tipo de retenedor Ventajas Desventajas
Hawley Muy duradero y ajustable Visible al sonreír
Transparente Estético y discreto Puede desgastarse con el bruxismo
Fijo Eficaz y siempre activo Requiere higiene dental rigurosa

⚠️ Note: Independientemente del tipo de retenedor que elijas, la constancia es el factor determinante del éxito. No usar los retenedores según las indicaciones del especialista es la causa principal de las recidivas post-ortodoncia.

La importancia de la higiene y el mantenimiento

Mantener tus retenedores de dientes limpios es tan importante como mantener tu boca sana. Dado que estos dispositivos pasan muchas horas en contacto con tu esmalte y encías, pueden acumular bacterias y placa si no se cuidan adecuadamente. Para los retenedores removibles, se recomienda cepillarlos con un cepillo de cerdas suaves y agua templada —evitando agua hirviendo que podría deformar el plástico— después de cada comida.

En el caso de los retenedores fijos, el alambre interno puede dificultar el paso del hilo dental convencional. Por ello, el uso de superfloss o cepillos interproximales es esencial para evitar la acumulación de sarro en la cara interna de los incisivos. Un descuido en la higiene podría derivar en gingivitis o caries, complicando la estabilidad de tu tratamiento.

Also read: Male Plastic Surgery Face

¿Cuánto tiempo deberás usarlos?

La pregunta más frecuente es: "¿Durante cuánto tiempo tendré que llevar estos aparatos?". La respuesta corta es que el periodo de retención es un compromiso a largo plazo. En los primeros meses tras retirar los brackets, la mayoría de los ortodoncistas recomiendan el uso nocturno y diurno, para luego pasar a un uso exclusivamente nocturno conforme los tejidos se estabilizan. Muchos especialistas sugieren mantener el uso de los retenedores durante las noches de forma indefinida para garantizar que, incluso después de años, tus dientes permanezcan perfectamente alineados.

Señales de que tus retenedores necesitan atención

Es vital revisar el estado de tus retenedores periódicamente. Si notas alguno de los siguientes problemas, debes acudir a tu clínica dental de inmediato:

  • Ajuste deficiente: Si sientes que el retenedor queda "apretado" o ya no encaja cómodamente, significa que tus dientes han comenzado a moverse.
  • Daños físicos: Cualquier grieta en el plástico o rotura en el alambre del retenedor Hawley compromete su función y debe ser reemplazado rápidamente.
  • Desprendimiento del retenedor fijo: Si sientes que un extremo del alambre se ha despegado, no intentes pegarlo tú mismo; el adhesivo especial debe ser colocado por un profesional para evitar lesiones en el esmalte.

💡 Note: Si pierdes tu retenedor o se rompe durante un viaje, contacta a tu ortodoncista para solicitar un duplicado basado en tus moldes anteriores lo antes posible. Los dientes pueden desplazarse significativamente en tan solo un par de semanas sin contención.

En definitiva, la fase de retención es el eslabón final que asegura que la armonía dental lograda tras meses de esfuerzo no se pierda con el paso del tiempo. Los retenedores de dientes no deben verse como una molestia, sino como la garantía de tu inversión en salud y estética. Adoptar una rutina estricta de uso y mantenimiento es un hábito sencillo que protege la alineación de tu sonrisa para toda la vida. Recuerda que la supervisión profesional es clave, así que no dudes en acudir a tus revisiones programadas para ajustar tus aparatos si es necesario y asegurar que cada pieza se mantenga exactamente donde debe estar. Al final, tu constancia será recompensada con una sonrisa duradera, funcional y estéticamente impecable que te acompañará en todos los momentos importantes de tu vida.

Related Terms:

  • retenedores dentales beneficios
  • tipos de retenedores dentales
  • retenedores fijos
  • retenedores dentales 2025
  • retenedores de ortodoncia
  • retenedores dentales tipos