Psoriasis In Ears Canal

Psoriasis In Ears Canal

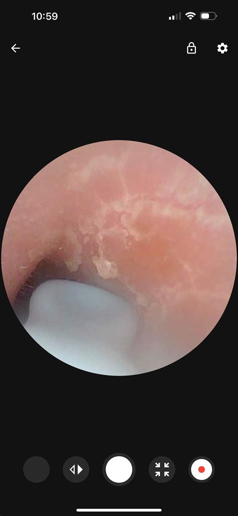
Dealing with psoriasis in ears canal can be an incredibly frustrating and uncomfortable experience. Unlike psoriasis on visible areas of the body, such as the elbows or knees, ear psoriasis is hidden deep within a sensitive, hard-to-reach area, making it difficult to treat and manage. This chronic autoimmune condition occurs when skin cells regenerate too quickly, leading to the buildup of silvery-white scales and itchy, red patches. When this occurs inside or around the ear canal, it often results in persistent itching, localized pain, and sometimes even temporary hearing issues due to the accumulation of skin debris.

Understanding Ear Psoriasis: Causes and Symptoms

Doctor examining ears

Psoriasis is fundamentally an immune system disorder, but the exact trigger for its onset in the ear canal can vary from person to person. Genetics play a significant role, as many individuals with ear psoriasis have a family history of the condition. Environmental factors, stress, skin injuries, and even infections can trigger a flare-up. Recognizing the symptoms early is crucial to prevent the condition from escalating and causing complications like hearing obstruction or secondary infections.

Common symptoms associated with psoriasis in ears canal include:

  • Persistent Itching: Often the first sign, which can become intense.
  • Scaling and Flaking: Dry, silvery-white skin shedding inside the ear.
  • Redness and Inflammation: Affected areas of the ear canal may appear angry and inflamed.
  • Sensation of Blockage: Excess skin buildup can physically block the canal, causing muffled hearing.
  • Mild Pain or Discomfort: Especially when the ear is touched or cleaned.

How to Differentiate Ear Psoriasis from Other Conditions

Because the ear canal is a dark, warm, and moist environment, it is easy to confuse psoriasis with other conditions like seborrheic dermatitis, eczema, or fungal infections. An accurate diagnosis is vital because treatments for these conditions differ significantly. For instance, applying a potent steroid meant for psoriasis to a fungal infection could actually worsen the problem.

Condition Primary Characteristics Differentiation
Psoriasis Silvery-white scales, red plaques Often appears on other body parts simultaneously.
Seborrheic Dermatitis Greasy, yellowish scales Typically affects oily areas like the scalp and T-zone.
Eczema Intense itching, weeping/crusting Often related to allergies; skin is generally dry but not thick/plaque-like.

⚠️ Note: Always consult with a dermatologist or an ear, nose, and throat (ENT) specialist to receive an accurate diagnosis before starting any treatment regimen for ear canal symptoms.

Management and Treatment Strategies

Medical treatment for psoriasis

Treating psoriasis in ears canal requires a gentle touch. The skin inside the ear is extremely delicate and prone to damage, so harsh scrubbing is strictly off-limits. The goal is to reduce inflammation, remove excess scales, and soothe the itching without damaging the delicate anatomy of the ear.

Topical Treatments

Doctors often prescribe specialized topicals to manage symptoms in the ear. These are formulated to be safe for the canal, provided they are used exactly as directed.

  • Low-potency Corticosteroids: These help reduce inflammation and itching.
  • Topical Vitamin D Analogues: Sometimes prescribed to help normalize skin cell growth.
  • Salicylic Acid Solutions: Used cautiously to help soften and remove the thick scales.

Gentle Hygiene Practices

Proper ear hygiene is essential to prevent secondary infections. When dealing with psoriasis in ears canal, you must be extra careful.

  • Avoid Cotton Swabs: Never insert Q-tips or other objects into the ear canal. This pushes scales deeper, causes trauma, and increases the risk of infection.
  • Use Mineral Oil or Glycerin: A few drops of sterile mineral oil can help soften stubborn flakes, allowing them to wash away naturally during a shower.
  • Pat Dry: Always gently pat the outer ear dry after bathing; do not let moisture sit in the ear canal.

💡 Note: If you experience sudden hearing loss, severe pain, or drainage from the ear, seek medical attention immediately, as these may be signs of a secondary bacterial or fungal infection that requires specific antibiotic or antifungal treatment.

Lifestyle Adjustments for Better Control

Managing the condition is not just about medical treatment; it is also about lifestyle modification. Because stress is a well-known trigger for psoriasis, finding ways to manage your stress levels can significantly reduce the frequency and severity of your ear canal flares. Additionally, identifying and avoiding personal triggers—such as certain cold climates or food sensitivities—can play a big role in long-term management.

Maintaining a balanced diet, keeping well-hydrated, and ensuring you get enough rest can also support your immune system and help keep your skin healthy. Some patients find that using a humidifier in their home during dry winter months helps prevent the skin in the ears from becoming excessively dry and irritated, which in turn reduces the itching cycle.

When to Seek Professional Help

While mild cases can sometimes be managed at home with doctor-approved ointments, there are times when self-treatment is not enough. If your psoriasis in ears canal is severely affecting your daily life, causing significant pain, or if you feel that your hearing is being constantly impacted, you must see a specialist. Chronic inflammation in the ear canal can lead to complications such as chronic otitis externa (swimmer’s ear), which can be much harder to treat than the psoriasis itself.

Your doctor might recommend systemic treatments or light therapy if topicals fail. Modern medicine offers various options for moderate to severe psoriasis that go beyond simple creams, and a dermatologist can help determine the best path forward for your specific situation.

Managing this condition effectively revolves around a combination of gentle daily care and following the specific advice of your medical provider. While it can be a persistent issue, avoiding harsh products and refraining from mechanical irritation of the ear canal are fundamental to keeping symptoms under control. By working closely with a dermatologist or an ENT specialist, you can develop a personalized plan that minimizes discomfort and prevents complications, ultimately improving your quality of life. Consistency in your treatment routine, combined with stress management and mindful hygiene, will provide the best chance at keeping your ear health stable and comfortable in the long term.

Related Terms:

  • psoriasis in the ears treatment
  • psoriasis in ears pictures
  • ear psoriasis vs eczema
  • can psoriasis affect hearing
  • flaky skin inside ear
  • why is my ear flaky