Proliferative Verrucous Leukoplakia

Proliferative Verrucous Leukoplakia

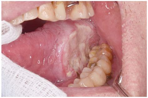
Understanding oral health involves more than just routine dental checkups; it requires vigilance regarding mucosal changes that could signal underlying conditions. Among the more serious and complex oral disorders is Proliferative Verrucous Leukoplakia (PVL). Unlike typical oral patches that may remain static or resolve over time, PVL is a rare, progressive, and persistent form of leukoplakia characterized by multifocal, wart-like lesions. It represents a significant clinical challenge due to its exceptionally high rate of transformation into oral squamous cell carcinoma (OSCC).

What is Proliferative Verrucous Leukoplakia?

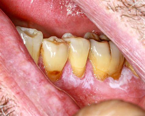
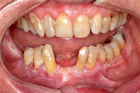
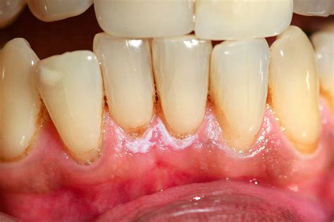
Proliferative Verrucous Leukoplakia is a distinct clinical entity within the spectrum of oral potentially malignant disorders (OPMD). While standard leukoplakia may appear as a white patch in the mouth, PVL evolves. It often begins as a simple white patch, but over time, it becomes increasingly thick, exophytic (growing outward), and verrucous (wart-like or cauliflower-like) in appearance. One of its most defining characteristics is that it spreads over time to cover wider areas of the oral mucosa, often appearing in multiple, distinct sites simultaneously.

Because of its unpredictable nature and relentless growth, early identification is vital. Medical professionals categorize it as a high-risk condition because, unlike other forms of leukoplakia that might be linked to specific habits like tobacco use, PVL often persists and progresses regardless of lifestyle changes.

Clinical Presentation and Common Sites

The appearance of PVL can change over time. What starts as a thin, white, homogeneous patch eventually transitions into a thicker, multicentric, and papillary growth. Clinicians look for several specific patterns to distinguish this from other oral lesions:

  • Multifocality: The lesions appear in several different locations within the mouth, such as the buccal mucosa, gingiva, and tongue.
  • Persistence: The lesions are chronic, showing no signs of spontaneous regression.
  • Progression: The lesions expand in size and increase in surface complexity (becoming more "warty").
  • High Malignant Transformation: A significant percentage of cases eventually develop into oral cancer.

The following table outlines how PVL compares to standard benign white patches:

Feature Standard Leukoplakia Proliferative Verrucous Leukoplakia
Growth Pattern Stable or regressive Progressive and expansive
Distribution Usually solitary Multifocal
Malignant Risk Low to Moderate Extremely High
Appearance Smooth/Flat Verrucous/Exophytic

⚠️ Note: If you notice persistent white or red patches in your mouth that spread or change texture over several months, consult an oral pathologist or an oral and maxillofacial surgeon immediately for a biopsy.

Diagnostic Procedures for PVL

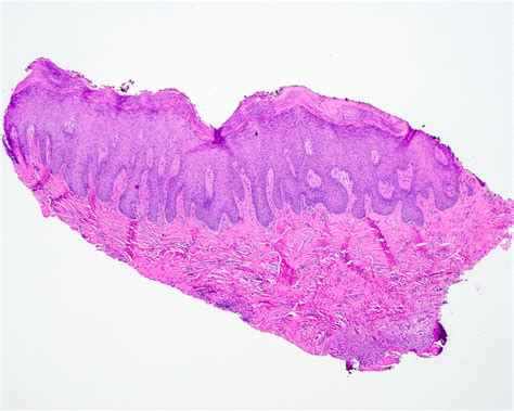
Diagnosing Proliferative Verrucous Leukoplakia is often a process of exclusion and long-term observation. Because there is no single blood test for this condition, clinicians rely on a combination of clinical history and histopathology.

1. Clinical Examination: The dentist or specialist will document the location, size, and texture of the lesions. Photographic records are essential to track the progression over time.

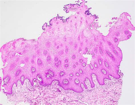
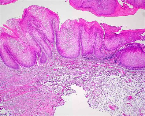
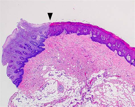
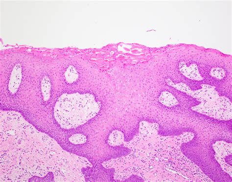
2. Biopsy: A tissue sample is mandatory. Because PVL can be patchy, multiple biopsies may be required to get an accurate representation of the tissue changes.

3. Histopathological Evaluation: Pathologists look for specific markers of cellular instability (dysplasia). However, in early stages, PVL may sometimes appear deceptively benign under a microscope, which is why clinical behavior (the "persistence" factor) carries as much weight as the biopsy results.

Management and Treatment Strategies

Managing this condition is notoriously difficult. Because of the multifocal nature of the lesions, complete surgical removal can be challenging without compromising oral function. Treatment strategies often focus on managing the visible lesions while monitoring the tissue closely for cancerous changes.

  • Surgical Excision: Laser surgery or cold-knife excision remains the gold standard for removing thick, suspicious lesions.
  • Long-term Surveillance: Patients require lifelong, frequent monitoring—often every three to six months—to detect malignant transformation as early as possible.
  • Avoidance of Irritants: While smoking does not cause all cases, quitting tobacco and alcohol is strongly recommended to reduce the overall inflammatory burden on the oral tissues.
  • Topical Therapies: In some instances, specialized topical medications may be prescribed, though their effectiveness in "curing" the condition is limited.

💡 Note: Surgical removal does not prevent recurrence. Even after successful excision, new lesions can appear in previously unaffected areas of the mouth, necessitating ongoing vigilance.

Risk Factors and Causality

The exact cause of Proliferative Verrucous Leukoplakia remains a subject of intense research. Unlike common white patches that are clearly linked to smoking or chewing tobacco, PVL can occur in non-smokers and has no definitive "trigger."

Some studies have investigated the potential role of the Human Papillomavirus (HPV) and chronic inflammation as contributors to the disease process, but no singular cause has been identified. The fact that it occurs more frequently in middle-aged women suggests potential hormonal or systemic factors, but these are still considered hypotheses rather than established facts. The absence of a clear lifestyle-based cause underscores the importance of periodic oral cancer screenings for everyone, regardless of their dental habits.

The Importance of Early Intervention

Related Terms:

  • proliferative verrucous leukoplakia icd 10
  • multifocal leukoplakia
  • proliferative verrucous leukoplakia treatment guidelines
  • proliferative verrucous leukoplakia path outlines
  • proliferative verrucous leukoplakia histology
  • proliferative verrucous leukoplakia pathology