Portal Venous Gas

Portal Venous Gas

Portal venous gas, also known as hepatic portal venous gas (HPVG), is a rare and often alarming radiological finding. It refers to the presence of air or gas within the portal venous system, which carries blood from the gastrointestinal tract to the liver. Historically, the detection of this condition was associated with a very high mortality rate, often signaling an underlying life-threatening abdominal pathology. However, with the advent of advanced diagnostic imaging, particularly computed tomography (CT) scans, it is now recognized that this finding can occur in a variety of clinical scenarios, ranging from benign, transient causes to severe, surgical emergencies. Understanding the nuances of portal venous gas is critical for clinicians to ensure timely and appropriate patient management.

Understanding the Pathophysiology of Portal Venous Gas

To grasp why portal venous gas occurs, one must look at the mechanics of gas movement within the abdominal cavity. The entry of gas into the portal venous system typically requires a combination of two major factors: mucosal damage to the gastrointestinal tract and an increase in intraluminal pressure. When these conditions are met, air is forced through the damaged mucosal barrier and into the venous circulation, eventually traveling to the liver.

The causes of this condition are traditionally classified into two broad categories: catastrophic (requiring surgery) and non-catastrophic (potentially manageable with conservative care). Because the outcome is highly dependent on the underlying etiology, it is vital to approach every case with a high index of suspicion while avoiding automatic assumptions about the severity of the patient's condition.

Common Causes and Associated Conditions

The etiology of portal venous gas is incredibly diverse. While it is frequently associated with bowel ischemia—a condition where blood flow to the intestine is restricted, leading to tissue death—it is not pathognomonic for this disease. Below are the primary conditions linked to this finding:

  • Mesenteric Ischemia: The most feared cause, where bowel necrosis leads to the release of gas into the portal system.
  • Inflammatory Bowel Disease (IBD): Conditions like Crohn’s disease or ulcerative colitis can create ulcerations that allow gas to enter the circulation.
  • Diverticulitis and Appendicitis: Severe local inflammation can compromise the integrity of the bowel wall.
  • Bowel Obstruction: Distension of the bowel loops increases pressure, forcing gas through the mucosal lining.
  • Gastric Ulcers: Significant perforations or erosions in the stomach can lead to gas tracking into the portal veins.
  • Infections: Intra-abdominal abscesses or gas-forming organisms can produce enough localized gas to enter the bloodstream.
  • Iatrogenic Factors: Procedures such as endoscopy, stenting, or even recent abdominal surgery can introduce air into the venous system.

⚠️ Note: Always correlate the presence of portal venous gas with clinical findings, such as peritoneal signs, lactic acidosis, and patient stability, rather than relying solely on imaging results.

Diagnostic Approach and Imaging Features

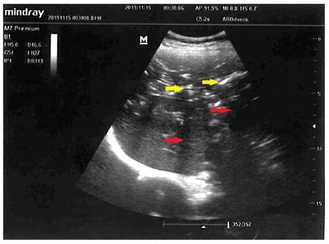
The gold standard for detecting portal venous gas is a CT scan of the abdomen, usually with intravenous contrast. On a scan, gas appears as low-attenuation, branching, linear lucencies that extend into the periphery of the liver. This pattern is distinct from pneumobilia (gas in the bile ducts), which typically resides in the central portion of the liver and follows the path of the biliary tree.

When healthcare providers identify this sign, they must differentiate it from other forms of abdominal air. The following table highlights key differences:

Feature Portal Venous Gas Pneumobilia
Distribution Extends to the liver periphery Central, follows biliary tree
Clinical Correlation Severe abdominal pathology Common after biliary surgery
Morphology Branching, thin lucencies More rounded, central

Clinical Management Strategies

Management of a patient with portal venous gas is dictated by the patient's clinical status. If a patient presents with clear signs of peritonitis, hemodynamic instability, or significant metabolic acidosis, immediate surgical exploration is typically warranted. The primary goal in these acute cases is to identify the site of bowel infarction and perform a resection of the necrotic tissue.

Conversely, in stable patients without signs of acute surgical abdomen, a more conservative approach may be taken. This includes:

  • Aggressive fluid resuscitation to maintain organ perfusion.
  • Broad-spectrum intravenous antibiotics to cover potential translocation of bacteria.
  • Serial clinical examinations and repeat imaging to monitor for progression or resolution of the finding.
  • Close monitoring of lactic acid levels, as rising levels often indicate worsening ischemia.

Risk Stratification and Outcomes

The mortality associated with portal venous gas has historically been reported as high as 75%. However, current data suggests that the mortality rate is heavily dependent on the underlying cause. When the gas is a result of mesenteric ischemia, the prognosis remains guarded. However, when the finding is identified in the setting of non-ischemic causes, such as iatrogenic introduction or localized infection, outcomes are significantly better. The shift in mortality rates is largely attributed to earlier recognition via high-resolution CT imaging, allowing for timely intervention before the onset of irreversible shock.

Ultimately, the detection of portal venous gas serves as a crucial clinical warning rather than a death sentence. While it is undeniably associated with serious pathology, the modern diagnostic approach allows for a more personalized treatment strategy. The clinical team must synthesize radiological data with the patient’s physical symptoms and biochemical markers to determine the necessity of emergent surgery versus conservative management. As diagnostic technologies continue to evolve, the ability to rapidly identify the source of the gas will remain the cornerstone of patient care, directly influencing survival and recovery outcomes in patients exhibiting this complex radiological sign.

Related Terms:

  • aerobilia vs portal venous gas
  • portal venous gas peripheral
  • portal venous vs pneumobilia
  • portal venous gas on kub
  • portal venous gas liver
  • cause of portal venous gas