Pneumatosis Cystoides Intestinalis

Pneumatosis Cystoides Intestinalis

Pneumatosis Cystoides Intestinalis (PCI) is a rare clinical finding characterized by the presence of gas-filled cysts within the submucosa or subserosa of the gastrointestinal tract. While it may sound alarming upon first diagnosis, this condition is often benign and frequently discovered incidentally during routine imaging, such as abdominal CT scans or colonoscopies. Understanding the nature of this condition is vital for patients and clinicians alike, as distinguishing between benign, asymptomatic cases and those requiring urgent surgical intervention is the cornerstone of effective management.

What Causes Pneumatosis Cystoides Intestinalis?

The exact pathophysiology of Pneumatosis Cystoides Intestinalis remains a subject of ongoing research, but several theories have been proposed to explain how gas enters the intestinal wall. The condition is generally categorized into primary (idiopathic) and secondary forms.

  • Mechanical Theory: This suggests that mucosal breaches—caused by trauma, endoscopy, or chronic constipation—allow intraluminal gas to be forced into the bowel wall.
  • Bacterial Theory: Anaerobic bacteria may produce gas (hydrogen) that permeates the bowel wall through mucosal lesions, particularly in patients with impaired intestinal motility.
  • Pulmonary Theory: Chronic obstructive pulmonary disease (COPD) or other lung conditions can lead to alveolar rupture, allowing gas to track through the mediastinum and into the retroperitoneum, eventually reaching the bowel wall.

Secondary PCI is frequently associated with underlying conditions such as inflammatory bowel disease, chronic obstructive pulmonary disease, connective tissue disorders, or medication use, such as immunosuppressants.

Common Symptoms and Clinical Presentation

In many patients, Pneumatosis Cystoides Intestinalis is entirely asymptomatic and presents no immediate threat to health. However, when symptoms do occur, they are typically non-specific and mimic other gastrointestinal disorders. Being aware of these symptoms is important, especially when they are persistent:

  • Chronic abdominal pain or discomfort
  • Abdominal distension or bloating
  • Changes in bowel habits, such as diarrhea or constipation
  • Occasional hematochezia (blood in the stool)
  • In severe cases, signs of peritonitis or intestinal obstruction

⚠️ Note: If you experience sudden, severe abdominal pain, high fever, or vomiting, seek immediate emergency medical evaluation, as these may indicate bowel ischemia or perforation rather than simple PCI.

Diagnostic Approach

Diagnosis is usually established through imaging rather than clinical examination alone. Because the symptoms are often vague, the condition is frequently identified during workups for other gastrointestinal complaints.

Diagnostic Method Utility in PCI
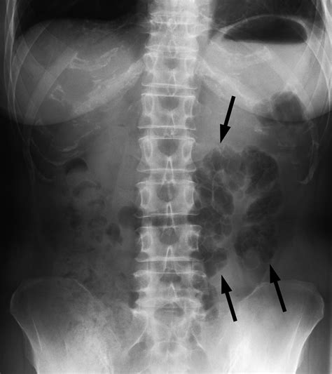
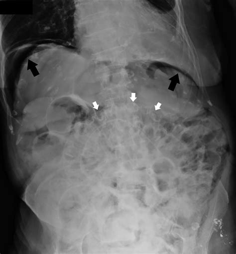
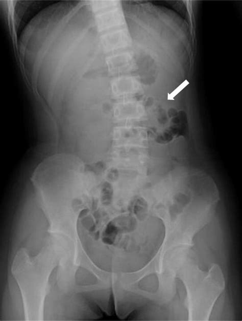
Abdominal X-ray Can show radiolucent areas along the bowel wall, but lacks sensitivity.
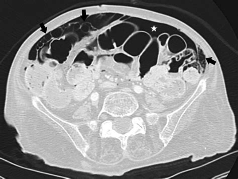
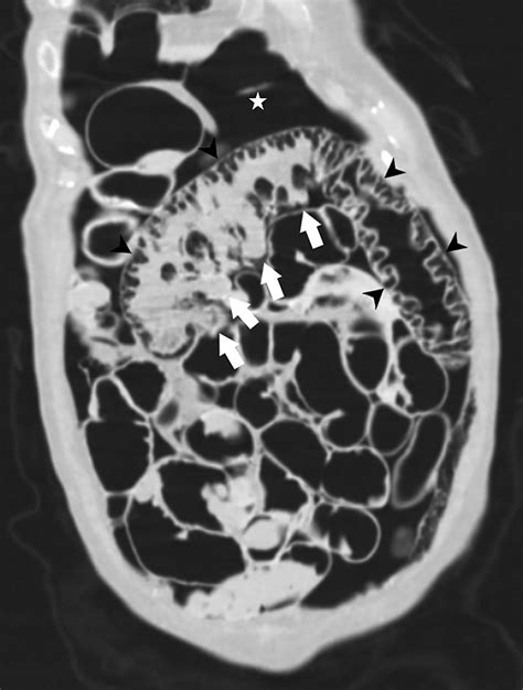
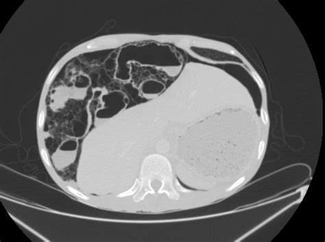
CT Scan The gold standard; provides detailed visualization of gas cysts.
Colonoscopy Useful for direct visualization, showing subepithelial, grape-like clusters.
Laboratory Tests Help identify inflammatory markers or signs of underlying infection.

When reviewing imaging, radiologists look for the specific appearance of "bubbly" gas collections along the serosal or submucosal surfaces. Differentiating these cysts from free air (pneumoperitoneum) is the most critical step for the radiologist to ensure the patient is not facing a surgical emergency.

Treatment and Management Strategies

The management of Pneumatosis Cystoides Intestinalis is entirely dependent on the clinical status of the patient and the presence of underlying pathology. For the vast majority of patients with benign, asymptomatic, or primary PCI, conservative management is the preferred route.

Conservative Management

Most patients require nothing more than observation. For those with mild symptoms, the following approaches are often recommended:

  • Oxygen Therapy: High-flow supplemental oxygen can be highly effective. The increased partial pressure of oxygen in the blood creates a gradient that forces nitrogen out of the cysts, effectively shrinking them.
  • Antibiotics: If bacterial overgrowth is suspected as the causative agent, a course of antibiotics (such as metronidazole) may be prescribed to reduce gas-producing bacteria.
  • Dietary Adjustments: Reducing intake of fermentable carbohydrates may help decrease gas production in the intestines.

Surgical Intervention

Surgery is reserved for rare, life-threatening complications. If the Pneumatosis Cystoides Intestinalis results in bowel perforation, obstruction, or persistent ischemia, surgical resection of the affected bowel segment may be required. This is rarely the outcome for the typical patient but remains a necessary consideration in complex clinical scenarios.

Prognosis and Long-Term Outlook

The long-term prognosis for individuals diagnosed with this condition is generally excellent, provided there is no severe underlying disease. Since many cases are incidental findings, the primary focus is often on managing the primary condition that may be driving the cysts, such as optimizing pulmonary health in COPD patients or stabilizing inflammatory bowel disease.

Patients should be encouraged to maintain a healthy lifestyle, stay hydrated, and follow up with their gastroenterologist if there is a change in their clinical picture. Because the condition can recur, repeat imaging may be performed if symptoms return, but regular, indefinite surveillance is not usually necessary for asymptomatic patients.

By understanding that Pneumatosis Cystoides Intestinalis is often a benign signpost rather than a primary disease, patients can work with their healthcare teams to avoid unnecessary interventions. If you have been diagnosed with this condition, prioritize clear communication with your physician regarding your symptoms. The goal is always to treat the patient, not just the image on the screen, and in most cases, this leads to a stable and manageable health outcome. Through appropriate monitoring, dietary considerations, and, when necessary, targeted medical therapy, the impacts of this condition can be successfully minimized, allowing for a high quality of life.

Related Terms:

  • pneumatosis cystoides intestinalis pathology outlines
  • pneumatosis cystoides intestinalis icd 10
  • pneumatosis radiology
  • pneumatosis cystoides intestinalis treatment
  • pneumatosis coli pathology outlines
  • pneumatosis cystoides intestinalis histology