Perivascular Virchow Robin Space

Perivascular Virchow Robin Space

When reviewing the results of a brain MRI, you may encounter technical medical terminology that sounds alarming but is often completely benign. One such term is the Perivascular Virchow Robin space. These structures, named after the researchers Rudolf Virchow and Charles-Philippe Robin, are essentially tiny, fluid-filled channels that surround blood vessels as they penetrate the brain tissue. While they may appear as mysterious lesions on imaging, they are a normal anatomical feature present in almost every human brain. Understanding what these spaces are, why they appear on scans, and when—if ever—they warrant concern is essential for demystifying neurological imaging reports.

What Exactly Is a Perivascular Virchow Robin Space?

To understand the Perivascular Virchow Robin space, it helps to visualize how blood vessels enter the brain. The brain is wrapped in a protective layer called the pia mater. As small arteries and veins dive from the surface of the brain into the deeper cerebral tissue, they don't move through the brain matter in isolation. Instead, they carry a "sleeve" or extension of the pia mater with them.

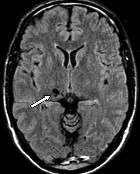
This creates a small, fluid-filled gap between the vessel wall and the brain parenchyma (the functional tissue of the brain). This gap is the perivascular space. The fluid inside these spaces is cerebrospinal fluid (CSF), which is the same clear fluid that cushions the brain and spinal cord. Because they are filled with CSF, they appear dark on T1-weighted MRI images and bright on T2-weighted images, mirroring the signal intensity of the CSF in the rest of the brain's ventricles.

Why Do They Appear on MRI Scans?

Most individuals have perivascular spaces that are too small to be detected by standard imaging equipment. However, as people age, or under certain physiological conditions, these spaces can dilate or become more prominent. When they reach a size that is visible on an MRI, they are often referred to as prominent perivascular spaces.

Radiologists look for these spaces frequently. They are most commonly found in the basal ganglia, the deep white matter, and the area surrounding the brainstem. Their visibility is not necessarily an indication of pathology; rather, it is often simply a characteristic of the brain's unique anatomy. Several factors can influence their visibility:

  • Aging: As the brain tissue undergoes normal structural changes with age, these spaces can become more visible.
  • Hypertension: Chronic high blood pressure can sometimes be associated with more prominent spaces.
  • Inflammation or Infection: In rare cases, changes in the size or distribution of these spaces can be linked to underlying medical conditions.
  • Normal Variations: Some people simply have anatomically larger perivascular spaces as a baseline, which remains stable throughout their life.

Distinguishing Normal Spaces from Other Findings

One of the primary goals of a radiologist when interpreting an MRI is to differentiate a Perivascular Virchow Robin space from other, more concerning lesions, such as lacunar infarcts (small strokes) or multiple sclerosis plaques. While they might look similar to the untrained eye, there are clear diagnostic markers.

Feature Perivascular Space Lacunar Infarct
Signal Intensity Matches CSF Varies, often higher signal
Surrounding Tissue Usually no change Often shows "gliosis" (scarring)
Location Predictable anatomical paths Scattered or random
Clinical Concern Typically none (benign) Requires clinical follow-up

💡 Note: While perivascular spaces are benign, always discuss your imaging reports with your neurologist or primary care physician. They provide context based on your personal health history, which is critical for an accurate assessment.

When Do These Spaces Require Medical Attention?

In the vast majority of cases, the presence of a Perivascular Virchow Robin space is considered an incidental finding, meaning it was discovered while checking for something else and is likely unrelated to any symptoms. They do not cause headaches, memory loss, or neurological deficits on their own.

However, medical professionals may investigate further if they observe "enlarged" perivascular spaces that occur in patterns associated with rare systemic diseases. In these instances, the spaces are not the disease itself, but rather a radiological marker that helps doctors identify broader issues. Clinical evaluation remains the gold standard; if a patient is asymptomatic, these spaces are almost always ignored by clinicians.

The Role of Imaging Technology

Advancements in MRI technology, such as 3 Tesla and 7 Tesla scanners, provide much higher resolution than older models. As our ability to see the brain in detail improves, we are "finding" more of these normal structures than we used to. This is often called the "discovery effect." What might have been invisible on a low-quality scan twenty years ago is now perfectly clear on modern equipment. Consequently, finding these spaces is not necessarily a sign that your brain is changing, but rather a sign that your imaging is highly detailed.

Final Thoughts on These Anatomical Structures

The Perivascular Virchow Robin space is a fundamental component of the brain’s complex plumbing system. By facilitating the drainage of interstitial fluid and the clearance of waste products from the brain, these spaces perform a vital function in maintaining cerebral health. When they appear as bright or dark spots on your MRI report, there is rarely a cause for alarm. They are natural, anatomical passages that highlight the intricate design of the human central nervous system. As long as these findings are not accompanied by clinical symptoms or other markers of disease, they are generally classified as normal variants of brain anatomy. If you have concerns about your specific results, viewing them as a neutral, routine observation rather than a medical complication is the most constructive approach.

Related Terms:

  • prominent perivascular spaces
  • prominent virchow robin spaces
  • enlarged perivascular spaces mri
  • prominent perivascular spaces brain
  • what is a perivascular space
  • mildly prominent perivascular spaces