Peritonsillar Abscess Picture Image

Peritonsillar Abscess Picture Image

If you are suffering from an intense sore throat, difficulty opening your mouth, or a sensation of fullness in the back of your throat, you might be concerned about a condition known as a peritonsillar abscess (PTA). Often referred to as "quinsy," this is a serious medical complication where a collection of pus forms near one of the tonsils. Many individuals search for a Peritonsillar Abscess Picture Image to understand what the infection looks like and determine if their symptoms align with this condition. Understanding the visual markers and the physiology behind this infection is crucial for recognizing when it is time to seek emergency medical care.

What is a Peritonsillar Abscess?

A peritonsillar abscess is a bacterial infection that typically develops as a complication of untreated or inadequately treated tonsillitis or pharyngitis. When bacteria from the tonsils invade the surrounding soft tissue, the body’s immune system attempts to fight it off, creating a pocket of pus. This pocket can grow rapidly, pushing the tonsil toward the middle of the throat and causing significant swelling.

While looking at a Peritonsillar Abscess Picture Image can be educational, it is vital to remember that these images often depict advanced stages of the infection. In a clinical setting, a physician uses a tongue depressor and a light source to examine the back of the throat for specific indicators such as a deviated uvula or asymmetrical swelling.

Key Symptoms and Indicators

Identifying the symptoms early can prevent the infection from spreading deeper into the neck. Patients often describe a feeling that the "throat is closing up." Common symptoms include:

  • Severe, one-sided throat pain that radiates toward the ear.
  • Difficulty swallowing (dysphagia) or extreme pain when swallowing (odynophagia).
  • Trismus, which is the inability to open the mouth fully due to muscle spasms.
  • Fever, chills, and general malaise.
  • A muffled, "hot potato" voice.
  • Drooling due to the inability to manage saliva comfortably.
  • Swelling of the neck and facial tissues on the affected side.

⚠️ Note: If you experience difficulty breathing, stridor (a high-pitched wheezing sound), or are completely unable to swallow your own saliva, seek emergency medical assistance immediately, as these are signs of an airway obstruction.

Comparing Tonsillitis vs. Peritonsillar Abscess

It can be difficult for the average person to distinguish between standard tonsillitis and a peritonsillar abscess. The table below outlines the primary differences in presentation.

Feature Tonsillitis Peritonsillar Abscess
Pain Location Usually bilateral (both sides) Usually unilateral (one side)
Uvula Position Midline Deviated away from the abscess
Opening Mouth Usually normal Severely restricted (trismus)
Urgency Manageable at home Requires immediate medical intervention

How Physicians Diagnose the Condition

While you might try to self-diagnose by searching for a Peritonsillar Abscess Picture Image, only a healthcare professional can provide a definitive diagnosis. The process usually involves a physical exam, and in some cases, imaging to rule out other complications. Methods include:

  • Physical Examination: The doctor checks for the classic signs of swelling, redness, and the shift of the uvula.
  • Needle Aspiration: A fine needle is used to drain the area; if pus is extracted, it confirms the presence of an abscess.
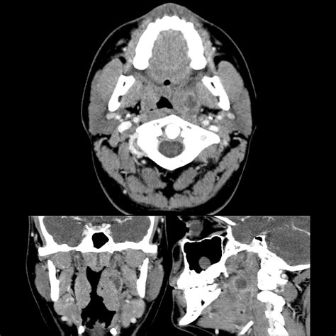
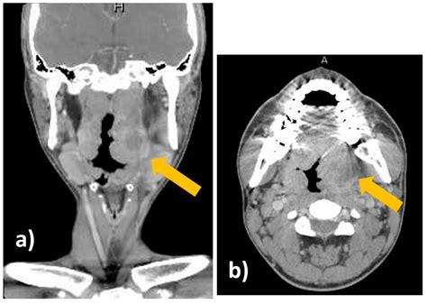
  • Imaging (CT Scan): If the doctor suspects the infection has spread deeper into the neck tissues (deep neck space infection), a CT scan with contrast is often ordered to map the extent of the abscess.

Treatment Pathways and Recovery

Once a peritonsillar abscess is confirmed, prompt treatment is mandatory. You cannot treat a full-blown abscess with over-the-counter medication alone. Standard treatments include:

  1. Needle Aspiration or Incision and Drainage (I&D): This is the primary method for relief. A doctor punctures or makes a small cut in the abscess to drain the pus, which provides near-immediate relief from pressure.
  2. Intravenous (IV) Antibiotics: High-dose antibiotics are administered to kill the bacteria and prevent systemic spread.
  3. Steroid Therapy: Doctors often prescribe steroids to reduce the inflammation and swelling in the throat, which helps improve the patient's ability to swallow.
  4. Hydration and Pain Management: Because swallowing is so painful, patients often become dehydrated. IV fluids are frequently necessary until the patient can swallow liquids comfortably.

💡 Note: Do not attempt to pop, press, or manipulate an abscess yourself. Doing so can cause the infection to rupture into your airway, leading to aspiration pneumonia or more severe spreading of the bacterial infection.

Preventing Future Recurrence

For some individuals, peritonsillar abscesses become a recurring issue. If you have had one, your risk of developing another is significantly higher. In cases of recurrent infections, an Ear, Nose, and Throat (ENT) specialist may recommend a tonsillectomy. This surgical removal of the tonsils is the only way to permanently eliminate the source of the recurring infection. Maintaining good oral hygiene and treating minor throat infections promptly are also essential habits for reducing the risk of bacterial accumulation in the tonsillar tissue.

When you feel your throat health is declining, recognize that the line between a routine sore throat and a medical emergency can be thin. Relying on your own visual assessment by comparing your throat to a Peritonsillar Abscess Picture Image is not a substitute for clinical care. The presence of severe, one-sided pain coupled with an inability to open your mouth is a clear signal that you require professional examination. Acting quickly ensures that you receive the necessary drainage and antibiotic therapy to avoid complications such as airway obstruction or the spread of infection to the chest cavity. Always prioritize your safety by consulting with a medical provider if your throat symptoms persist, worsen, or affect your ability to breathe and swallow normally.

Related Terms:

  • peri tonsillar lymph nodes
  • photos of peritonsilar abcess
  • peritonsillar cellulitis right
  • signs of peritonsillar abscess
  • peritonsillar abscess uvular deviation
  • pictures of tonsillar abscess