Perirenal Fascia Of Gerota

Perirenal Fascia Of Gerota

The human body is an intricate network of anatomical structures, each serving a distinct purpose in maintaining homeostasis and protecting our internal organs. Among these critical yet often overlooked structures is the perirenal fascia of Gerota. Often referred to simply as Gerota’s fascia, this fibrous sheath plays a vital role in encapsulating the kidneys and the associated adrenal glands. By providing a structural boundary, it dictates the spread of pathological processes, influences surgical approaches, and acts as a mechanical anchor within the retroperitoneal space. Understanding this anatomical landmark is essential for radiologists, urologists, and medical students who seek to master the complexities of abdominal imaging and surgical intervention.

Anatomy and Composition of Gerota’s Fascia

Anatomical overview of the renal region

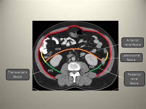
The perirenal fascia of Gerota is a dense layer of connective tissue that encloses the perirenal fat, the kidney, and the suprarenal (adrenal) gland. It is not merely a single sheet but rather a complex arrangement of anterior and posterior lamellae. Anatomically, these two layers fuse at different borders to create a contained space known as the perirenal space.

The structural characteristics include:

  • Anterior Layer: Also known as the fascia of Toldt, this layer passes anterior to the kidney, renal vessels, and the great vessels (aorta and inferior vena cava).
  • Posterior Layer: Also known as the fascia of Zuckerkandl, this layer attaches firmly to the fascia covering the psoas major and quadratus lumborum muscles.
  • Lateral Fusion: The anterior and posterior layers fuse laterally to form the lateroconal fascia, which blends with the pararenal fascia.
  • Medial Configuration: The arrangement is more complex medially, where the layers may remain separate or fuse around the great vessels, creating a barrier that restricts the movement of fluid across the midline.

The Role of the Perirenal Space

The perirenal fascia of Gerota effectively defines the perirenal space, a distinct anatomical compartment within the retroperitoneum. Because this fascia is relatively tough and fibrous, it dictates the behavior of perirenal collections such as hematomas, urinomas, or abscesses. When a pathology occurs within this space, the fascia acts as a containment unit, often preventing the rapid spread of infection or blood into the surrounding pararenal spaces.

This containment is significant for diagnostic imaging. When viewing a CT scan or MRI, radiologists look for the integrity of this fascia to determine if a disease process is localized to the kidney or if it has breached the confines of the perirenal space. Breach of this fascia indicates a more aggressive or extensive pathological involvement that may require more invasive surgical intervention.

Clinical Significance in Imaging and Pathology

Pathology Impact on Gerota’s Fascia
Perirenal Hematoma Contained within the fascia, causing displacement of the kidney.
Renal Abscess Inflammation may cause thickening of the fascia on imaging studies.
Neoplasm Spread Invasion through the fascia suggests higher tumor staging.
Urinoma Leakage restricted by the fascia’s fibrous structure.

In clinical practice, identifying the perirenal fascia of Gerota is a cornerstone of interpreting abdominal cross-sectional images. Thickening of the fascia, for instance, is a non-specific but highly sensitive indicator of retroperitoneal inflammation. Whether caused by acute pyelonephritis, pancreatitis, or trauma, the fascia’s response to these conditions is a diagnostic roadmap for the clinician.

⚠️ Note: Always correlate imaging findings of the perirenal fascia with clinical history, as fascial thickening can occur in both benign and malignant conditions.

Surgical Considerations

For surgeons performing nephrectomies or adrenalectomies, the perirenal fascia of Gerota is a vital landmark. The integrity of this fascia allows for the dissection of the kidney away from the surrounding retroperitoneal fat. However, in cases of chronic inflammation or complex renal tumors, the fascia can become adherent to surrounding tissues, increasing the difficulty of the procedure and the risk of collateral injury to major vessels or the colon.

During a radical nephrectomy, the surgeon typically aims to remove the kidney along with the surrounding perirenal fat and the intact Gerota’s fascia. This practice is rooted in the oncological principle of ensuring wide margins to reduce the risk of residual tumor cells, especially when renal cell carcinoma is suspected.

Diagnostic Challenges and Future Perspectives

While the role of the perirenal fascia of Gerota is well-established in traditional anatomy, modern diagnostic tools are allowing us to visualize the micro-anatomy of this region with unprecedented clarity. High-resolution ultrasound and advanced CT protocols allow clinicians to assess fascial integrity in real-time. This is particularly important in patients presenting with undiagnosed abdominal pain, where early detection of perirenal fascial abnormalities can lead to a quicker diagnosis of conditions like retroperitoneal hemorrhage or systemic inflammatory conditions.

Despite its importance, there is still debate regarding the precise microscopic structure of the fascia in specific patient populations, such as those with morbid obesity. In such cases, the fat distribution can make the visualization of the fascia difficult, complicating the assessment of localized disease.

💡 Note: When analyzing CT scans, utilize contrast-enhanced phases to better distinguish the boundaries of the Gerota’s fascia from surrounding fat and vessels.

Summary of Key Findings

The perirenal fascia of Gerota remains a foundational element of retroperitoneal anatomy. By serving as a durable, fibrous envelope, it provides structural support to the kidneys and adrenal glands while simultaneously acting as a critical barrier in the spread of retroperitoneal diseases. Its clinical utility extends from basic diagnostics in medical imaging to complex oncological surgeries, where its management directly impacts patient outcomes. Recognizing the layers of this fascia—the anterior fascia of Toldt and the posterior fascia of Zuckerkandl—allows for a deeper understanding of how abdominal infections and malignancies progress. As we continue to refine surgical and diagnostic techniques, the appreciation of this fascia as more than just a connective tissue, but as an active anatomical participant in health and disease, remains paramount for medical professionals globally.

Related Terms:

  • gerota's fascia function
  • gerota's fascia location
  • what is the gerota's fascia
  • gerota's fascia vs renal malignancy
  • gerota's fascia muscles
  • gerota's fascia in pelvic kidneys